打开应用

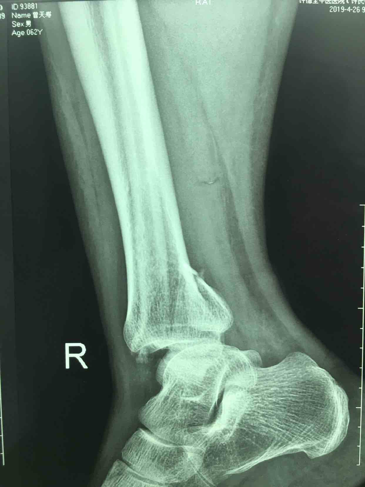
三踝骨折并胫距关节脱位(切复内固定术)

高医师   许德全中医医院
骨折 关节脱位 踝骨折

主诉 病史

摔伤后右踝肿痛,畸形,活动受限1小时入院。既往身体健康,无特殊不良嗜好。

查体 辅查

生命体征平稳,心肺复未见异常。右踝部肿胀,局部皮色发红,皮温高,畸形,压痛及纵叩痛阳性,可及骨擦音或骨擦感,踝关节活动受限,末梢血运感觉正常。

诊断 处理

诊断三踝骨折并胫距关节脱位完善术前检查,待肿胀消退后在腰麻下行切复内固定术,术后石膏托固定,抗炎,消肿等处理。

发布于 19-05-15 09:00

1 个评论

发送