打开应用

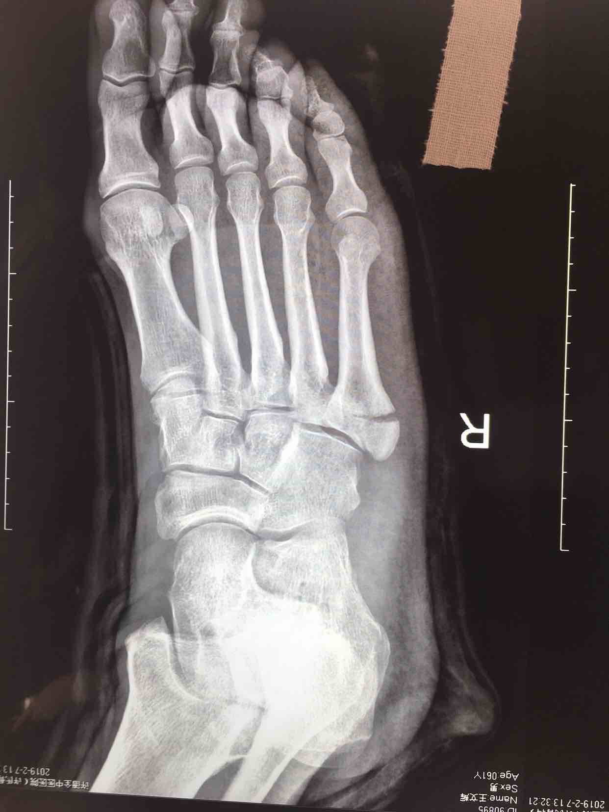
第五跖骨基底部骨折(切开复位内固定术)

高医师   许德全中医医院
骨折

主诉 病史

摔伤后右足肿痛,活动受限16天入院。既往身体健康,无特殊不良嗜好。

查体 辅查

心肺复未见异常,生命体征平稳。右足肿胀基本消退,局部皮色皮温基本正常,压痛及纵叩痛阳性,末梢血运感觉基本正常。

诊断 处理

诊断第五跖骨基底部骨折(右)完善术前检查,在腰麻下行切复内固定术,术后抗炎,消肿等对症处理。

发布于 19-02-23 12:59

0 个评论

暂无评论
发送