打开应用

左心室增大

李医师   中国人民解放军第四军医大学西京医院
心室肥大

主诉 病史

患者,男,68岁,胸闷憋气3月。

查体 辅查

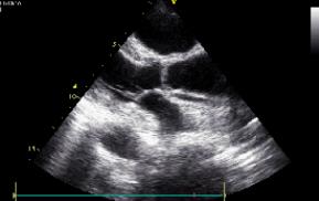
查体:体温37.5°C,呼吸22次/min,血压125/90mmHg,贫血貌,心界左下扩大,心率107次/min,律齐,奔马律,肝脏肋下3cm,脾肋下未及,双下肢无水肿。 辅助检查:血白细胞6.21x10^9/L,中性61.1%,血红蛋白92g/L,24h尿蛋白定量3.42g,肌钙蛋白I0.36μg/L,抗核抗体(-),抗双链DNA抗体(-),超声心动图示左心室增大,室壁运动普遍减低,收缩功能重度减低,左心室射血分数35%。

诊断 处理

诊断:左心室增大 治疗:给以患者抗心力衰竭、抗感染、降血压、华法林抗凝、补铁剂改善贫血等。培哚普利5mg,1次/ d、琥珀酸美托洛尔71.25mg,1次/d、螺内酯20mg,1次/d口服及利尿治疗,单硝酸异山梨酯缓释胶囊50mg,1次/ d松弛血管平滑肌使血管扩张,减少回心血量,心力衰竭症状明显改善后出院。

发布于 18-08-12 20:20

0 个评论

暂无评论
发送