打开应用

多发性骨髓瘤BCD化疗

李医师   温江区人民医院
骨折 多发性骨髓瘤 肿瘤

主诉 病史

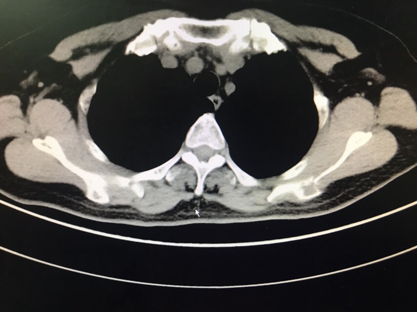
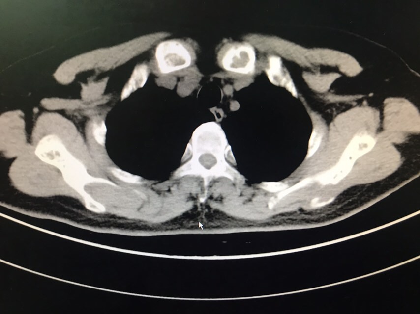
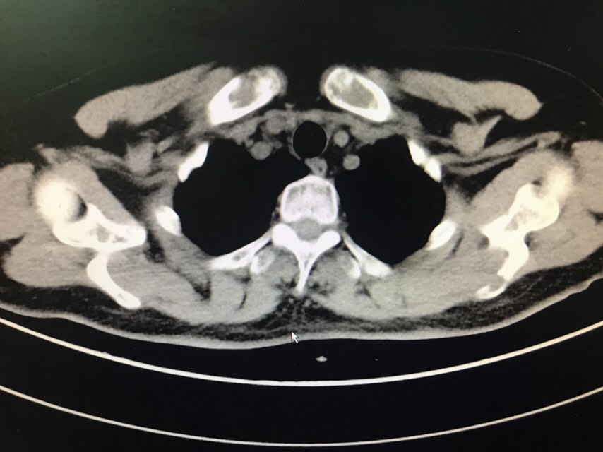
患者女性,53岁。主诉:反复背痛1+年,加重4月。现病史:1+年前患者无明显诱因出现背痛,主要位于双侧肩胛区,呈持续性钝痛,固定姿势时疼痛加重,拍打可缓解,无全身皮肤瘀斑瘀点,无头昏痛、肢体偏瘫,无心累气短、下肢浮肿、尿少等,未予诊治。4+月前患者出现上述症状加重,1+月前出现双侧肋骨疼痛,为呈持续性钝痛,固定姿势时加重,稍活动可缓解,不影响一般活动及睡眠。20+天前患者于当地医院就诊,胸部平扫提示:双侧多根多处肋骨骨皮质不连续,局部骨质密度增高,部分肋骨骨质局部膨大并软组织密度,骨质破环并病理性骨折?扫及胸骨、双侧肩胛骨、锁骨多发骨质破坏,肿瘤性病变待排,多发性骨髓瘤?患者遂于我院门诊就诊,完善相关检查,诊断为“多发性骨髓瘤?”。现患者为求进一步诊治,入我科。既往史:既往诊断高血脂症、高胆固醇症20年,给予口服匹伐他汀钙片治疗。

查体 辅查

查体无特殊。辅助检查:PET-CT:1、部分颅骨、部分颅底骨质、双侧下颌骨、双侧肩胛骨、双侧锁骨、双侧肱骨上段、双侧多肋骨、胸骨、双侧髂骨、骶1棘突、双侧耻骨部分骨质虫蚀样、溶骨样破坏伴部分破坏骨质FDG代谢异常增高;上述改变考虑多发性骨髓瘤可能性大,请结合临床或右侧肋骨病灶活检。2、甲状腺右叶稍低密度结节影,无FDG代谢异常增高,多为良性病变,建议专科检查;3、双侧口咽壁对称性FDG增高,无确切占位征象,考虑为炎性改变;4、右肾错构瘤;5、脊柱部分骨质增生。骨髓涂片:目前BM示原始浆细胞比例增高8%,成熟红细胞呈缗钱状排列。骨髓活检:取材骨髓组织增生较低下,三系细胞增生均较低。骨髓流式:标本中若表达CD28,不表达CD19、CD117、cLambda、CD27、CD81、CD20、CD45,符合浆细胞肿瘤表型,正常浆细胞占有核细胞娥0.16%;流式检测中浆细胞易被破坏,比例可能低于形态学,请结合形态及免疫固定电泳结果。免疫球蛋白定量:IgG 12.6g/L,IgA 2.05g/L,IgM 0.94g/L,IgE 5.0g/L。血清固定电泳:未见IgG、IgA、IgM、KAP轻链、LAM轻链单克隆成分。尿固定电泳:在LAM区可见一条单克隆KAP轻链成分。血清游离轻链:游离KAP轻链 3800mg/L,游离LAM轻链16.00mg/L、游离KAP轻链/LAM轻链 237.5,尿游离轻链:游离LAM轻链 4100mg/L,游离LAM轻链9.13mg/L、游离KAP轻链/LAM轻链 449.069。

诊断 处理

诊断:多发性骨髓瘤。治疗:BCD化疗方案(硼替佐米 2.25mg d1,8,15,22;环磷酰胺 300mg d1,8,15,22;地塞米松 10mg d1-2,8-9,15-16,22-23),口服沙利度胺100mg qn,辅以帕米磷酸治疗,并予保胃等支持治疗。

随访 讨论

治疗后患者一般耐受可,疼痛明显减轻,无相关明显不良反应。你继续当前化疗方案继续治疗,密切关注患者病情变化,若出现化疗相关不良反应,及时对症处理。

发布于 19-12-18 12:14

0 个评论

暂无评论
发送