打开应用

右下后牙急性牙髓炎

孙医师   中国人民解放军空军军医大学第二附属医院
急性牙髓炎

主诉 病史

患者,男,58岁,右下后牙疼痛4天。患者4天前开始出现右下后牙冷热刺激痛。否认全身系统性疾病,无药物过敏史。

查体 辅查

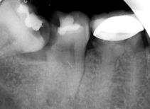
检查:全口卫生差,牙石++,软垢+,牙龈正常,有退缩。47牙远中合面龋坏,冷+,探-,叩+,松-.48牙近中阻生。 X线:47牙合面可见低密度暗影,累及髓腔,未行根管治疗。48牙近中阻生。

诊断 处理

诊断:47牙急性牙髓炎;48牙阻生齿。 治疗计划:拔除阻生齿,并行47牙根管治疗。 治疗:拔除阻生齿后,阿替卡因局部浸润麻醉,47牙去净龋坏,开髓揭髓室顶,探查根管4根,牙髓摘除术,K锉初步预备,根管测长仪测量根管长度,各根管内导入根管润滑剂EDTA,protaper镍钛器械预备根管,冲洗,超声荡洗,水溶性氢氧化钙充填根管,暂封,约复诊。 复诊:一周后,诊间无不适,47

牙暂封完好,冷-,探-,叩-,不松。 试主尖,大锥度牙胶尖+AH-PLUS糊剂充填根管,热压充填牙胶,暂封。

发布于 18-08-10 10:50

1 个评论

发送