打开应用

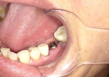
左下后牙缺失

陈医师   空军军医大学口腔医学院
牙缺失

主诉 病史

患者,女,45岁,主诉:牙位缺失,要求种植。 现病史:患者左侧下颌36牙缺失多年,因影响咀嚼来我科就诊,要求种植修复。 既往史:患者自述无高血压、糖尿病、心脏病等,否认患有其他全身系统性疾病;否认各类药物、食物过敏史。

查体 辅查

检查:36牙缺失。与同名牙对称,邻牙无倾斜或扭转,对合牙无伸长;牙龈无红肿、溃疡;其他牙无龋坏、残根、残冠。 CBCT检查:36牙缺失。

诊断 处理

诊断:36牙缺失。 建议:种植修复。 手术记录:常规消毒铺单,局部浸润麻醉,于36牙牙位行横行切口,骨膜剥离器剥开黏骨膜瓣,显露术野。生理盐水冲洗冷却下,球钻定位,植入种植体,旋入愈合帽。 术后拍片,种植体方向好。10天后检查,伤口初步愈合。

随访 讨论

建议:1.口服抗生素;2.10-12日复诊,拆线。3.含漱液漱口,保持口腔卫生。

发布于 18-08-21 11:40

0 个评论

暂无评论
发送