打开应用

左下后牙种植修复

陈医师   空军军医大学口腔医学院
牙折

主诉 病史

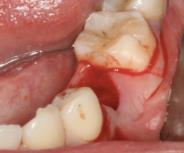
患者,女,36岁,主诉:左下后牙松动,要求治疗。 现病史:患者左侧下颌35牙松动III度,因影响咀嚼来我科就诊,要求种植修复。 既往史:患者自述无高血压、糖尿病、心脏病等,否认患有其他全身系统性疾病;否认各类药物、食物过敏史。

查体 辅查

检查:35牙松动III度。与同名牙对称,邻牙无倾斜或扭转,对合牙无伸长;牙龈无红肿、溃疡;其他牙无龋坏、残根、残冠。 CBCT检查:35牙根尖暗影明显。

诊断 处理

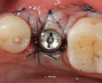
诊断:35牙牙松动。 治疗:拔除患牙,即刻种植。 手术记录:常规消毒铺单,局部浸润麻醉,于35牙牙位行横行切口,骨膜剥离器剥开黏骨膜瓣,显露术野。拔除松动牙,生理盐水冲洗冷却下,球钻定位,植入种植体,旋入愈合帽。 术后拍片,种植体方向好。10天后检查,伤口初步愈合。

随访 讨论

建议:1.口服抗生素;2.10-12日复诊,拆线。3.含漱液漱口,保持口腔卫生。

发布于 18-08-11 23:07

0 个评论

暂无评论
发送