打开应用

电锯割伤手指致手指开放性骨折

张医师   费县人民医院
骨折

主诉 病史

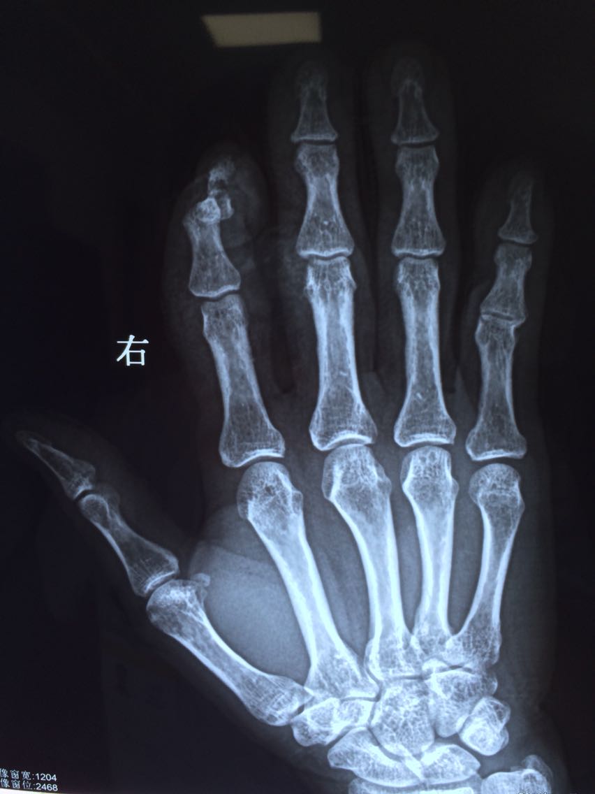
电锯割伤右手示指致流血疼痛活动受限2小时。患者2小时前不慎被电锯割伤右手示指,当即感伤处疼痛,流血不止,院外简单包扎后急来院。

查体 辅查

查体:右手示指屈曲畸形,可见自中节桡侧致远节尺侧长约4cm斜行伤口,中度污染,流血不止,可见骨折断端,末端血运可,感觉麻木,余手指未见异常。

诊断 处理

诊断:开放性指骨骨折 治疗:急诊行创面清创缝合、血管神经探查、指骨骨折复位钢针固定术

随访 讨论

术后给予抗生素预防感染48h,止痛消肿接骨对症支持治疗,嘱适当功能锻炼,患者恢复可

发布于 18-09-09 22:38

1 个评论

发送