打开应用

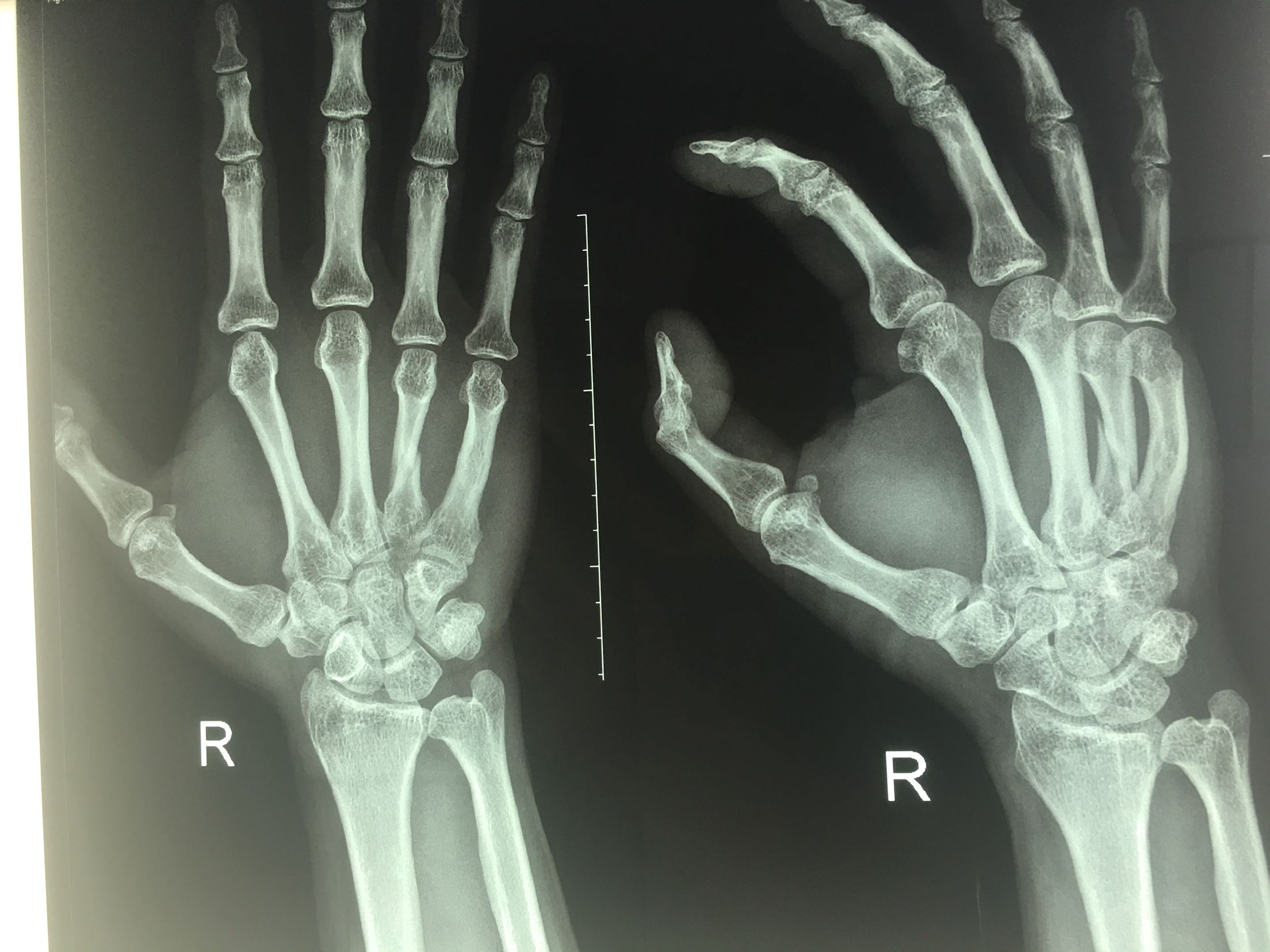
拇指锤状指,掌骨骨折(切复内固定)

高医师   许德全中医医院
骨折 锤状指 掌骨骨折

主诉 病史

患者,男,51岁,电钻挤打伤后右手,肿痛,活动受限1小时入院。既往身体健康,无特殊不良嗜好。

查体 辅查

右手大拇指呈锤状改变,掌背侧肿胀明显,皮色发红,皮温高,局部压痛,第四掌骨纵叩痛阳性,局部活动障碍,末梢血运感觉正常。

诊断 处理

积极术前准备,在臂丛麻醉下行锤状指伸指功能重建术,掌骨骨折切复内固定术,术后抗炎,消肿对症处理。<img src=https://pub-voice-video.medlinker.com/9129333F-3928-47F0-B39A-978756FECFAD><img src=https://pub-voice-video.medlinker.com/945D4FD6-D0B7-41EF-ABB0-C2940D6C2E54><img src=https://pub-voice-video.medlinker.com/2F847276-23A8-4CAF-BF99-1828976F7BAD><img src=https://pub-voice-video.medlinker.com/2996EABA-9281-4CC0-8612-66A515AC6472><img src=https://pub-voice-video.medlinker.com/D3EFB6D4-D26D-4778-B65E-2D52DD5235E7><img src=https://pub-voice-video.medlinker.com/9197F543-FC48-48BB-BA43-DDBEEE8749C0><img src=https://pub-voice-video.medlinker.com/109E9BC2-A473-4E71-B880-027E2D1DF300>

随访 讨论

每一例锤状指都不一样?大拇指伸肌腱相对厚实一些!!!临床经验丰富的提升有很大帮助!!!

发布于 18-09-09 11:54

3 个评论

发送