打开应用

肾癌还是肾盂癌?手术决择

蔡医师   双流区第一人民医院
肾盂癌

主诉 病史

患者男性,81岁。 主诉:血尿伴左侧腰痛一月余 现病史:患者一月前出现血尿,伴左侧腰痛,于当地医院就诊,诊断为左侧肾盂占位。患者为求进一步治疗来我院门诊,门诊以肾盂恶性肿瘤收入院。起病以来,患者睡眠饮食尚可,二便无明显改变,体重未减。 既往史无特殊。

查体 辅查

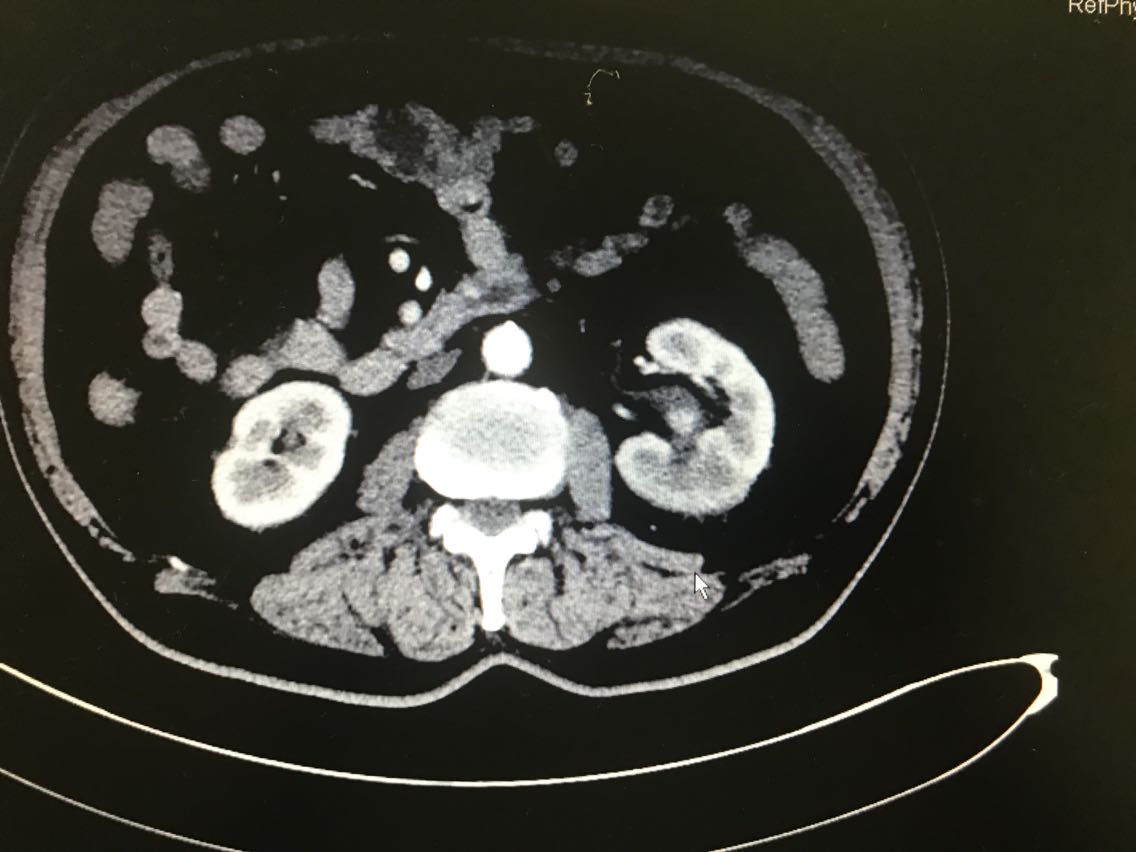
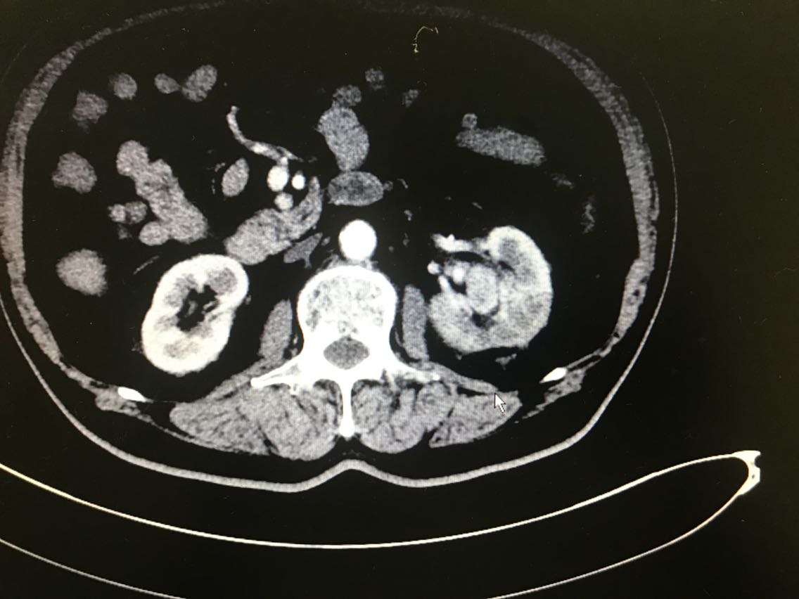
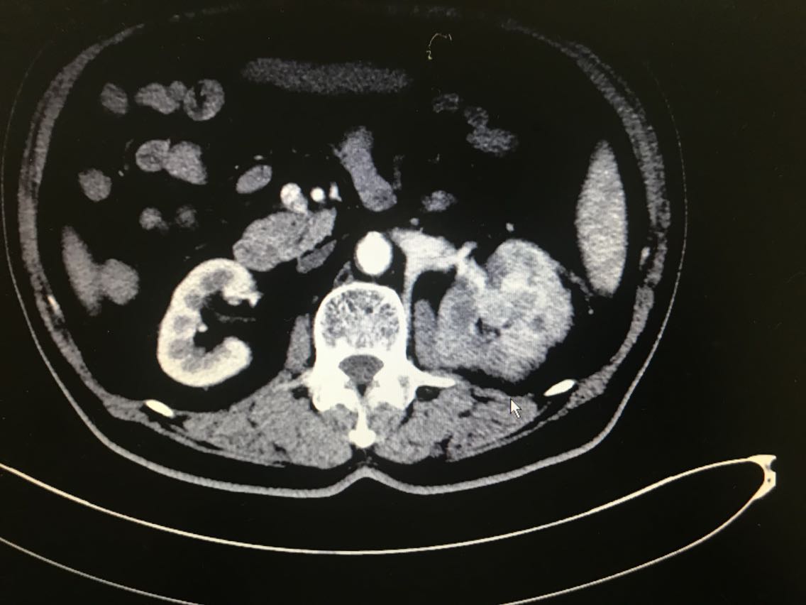
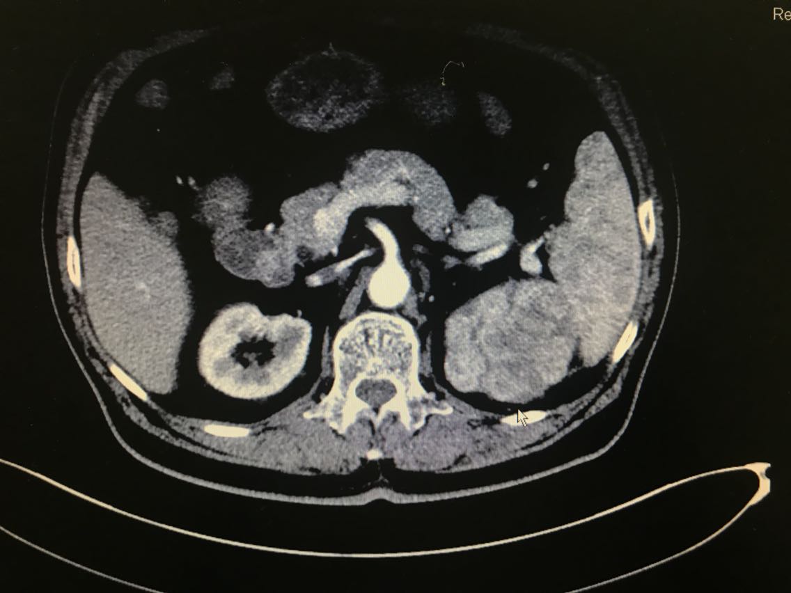
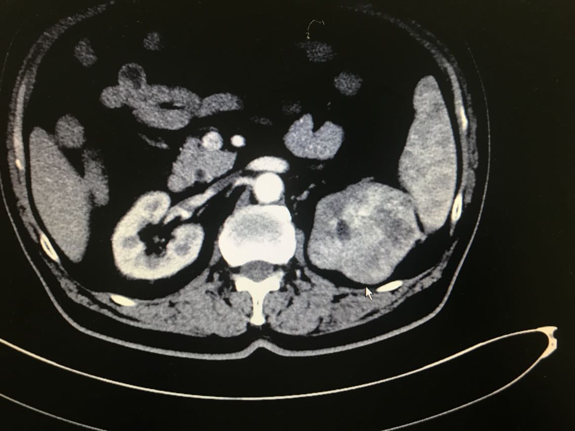
查体无特殊。 辅助检查: 全腹CT示:左肾上极肿块,侵犯左肾上盏并突入左肾盂,性质:左肾细胞癌可能性大,肾盂癌待排,结合临床。

诊断 处理

诊断:左肾占位:肾盂癌? 治疗:腹腔镜左肾盂癌根治术

随访 讨论

患者左肾占位,肾盂癌、肾癌均有可能,然而两种疾病的手术方式并不一样。前者需要切除同侧输尿管以及部分膀胱,而后者却不需要。那么在诊断不明确的情况下,手术方式以前者为宜。

发布于 18-09-07 20:50

0 个评论

暂无评论
发送