打开应用

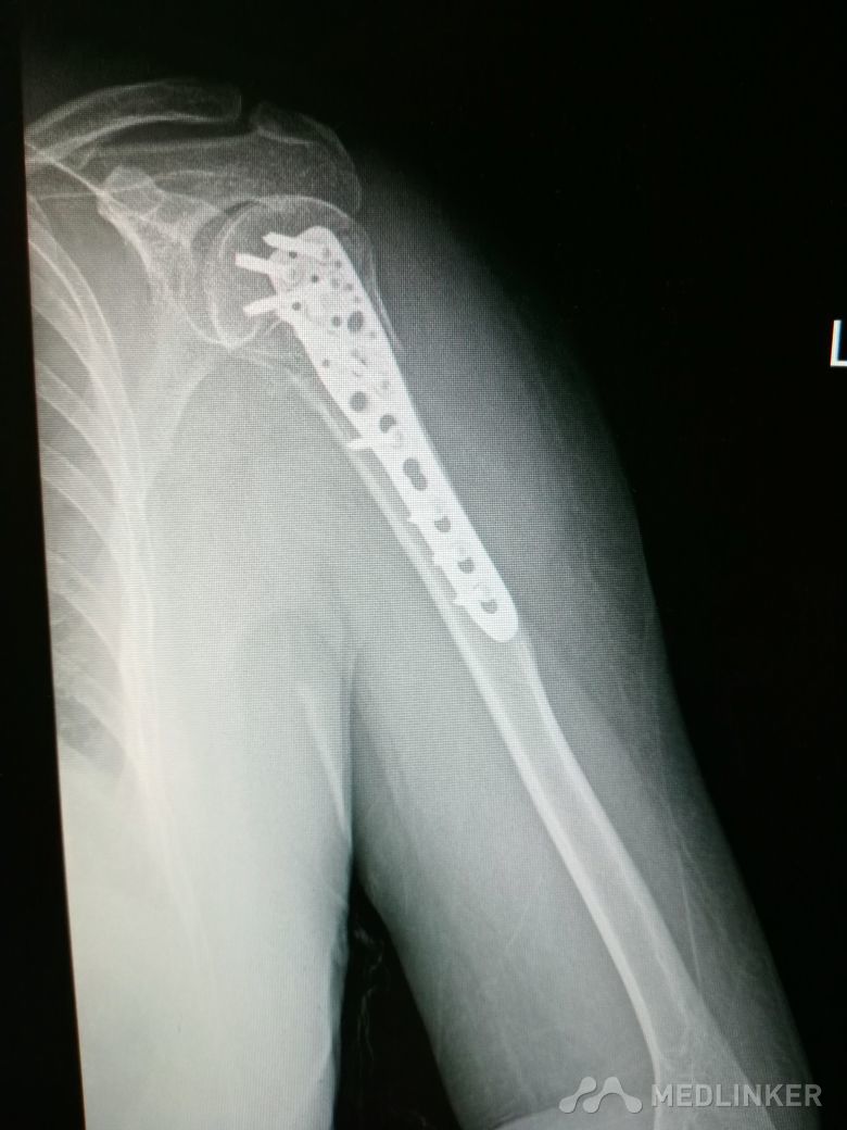
肱骨近端骨折 Neer IV型

张医师   上海市普陀区利群医院
骨科康复

主诉 病史

患者,女性,55岁,因外伤致左肩疼痛六小时入院,既往无其他慢性病史

查体 辅查

查体 右肩肿胀,畸形,活动受限,压痛,皮下淤血,右桡动脉搏动存在

诊断 处理

完善相关检查,在腰麻下行右肱骨近端骨折切开复位内固定术

随访 讨论

肱骨近端骨折占到肱骨骨折的45%,肱骨近端锁定钢板具有低切迹、高弹性、生物力学性能优良等特点,可以起到角度稳定控制旋转的作用。但是对于严重粉碎性肱骨近端骨折而言,单纯的肱骨近端锁定钢板不一定能够提供稳定的固定,手术之后仍有可能出现内翻塌陷、前后成角、螺钉切出、骨折畸形愈合、骨折不愈合等并发症。

发布于 18-08-31 21:41

4 个评论

发送