打开应用

肺癌并脑转移1例

吴医师   南方医科大学第三附属医院
肺转移癌

主诉 病史

主诉:〔左下肢感觉、运动障碍3月〕 病史:患者诉3月前始无明显诱因出现左下肢感觉、运动障碍,致行走不利口无头痛、头晕、恶 心、呕吐、行走不稳、肢体无力、肢体麻木、肢体抽搐、口角抽搐、意识不清、听力下降、视物模糊、视物 重影口2日前不慎摔倒,故来我院就诊,门诊以“神经系统病变”收入院口患者自入院,神志清,精神一 般,饮食及二便正常。

查体 辅查

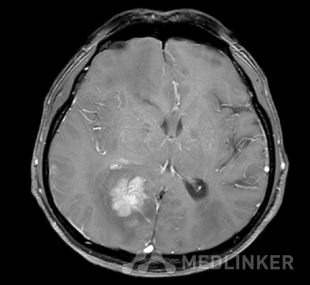
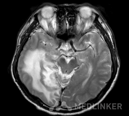
MR:1、双侧额、顶叶、右侧颞叶、枕叶、左侧颞叶岛盖皮层、皮层下区多发异常信号结节,环状或结节状强化,周围见环状、斑片状、指状水肿区,拟多发脑转移瘤。 2、双侧额顶叶皮层下区、右侧基底节、尾状核区、胼胝体区多发腔隙性缺血、部分梗塞、软化灶。 3、两侧筛窦粘膜增厚。鼻中隔稍左偏,两侧下鼻甲肥厚。

诊断 处理

诊断:肺癌并脑转移 诊治经过:入院后完善检查,行CT检查发现脑内多发占位性病变,考虑转移瘤,遂行头颅磁共振、胸、 腹、盆腔CT增强检查,示肺部占位性病变并增强。患者及家属要求出院

随访 讨论

建议继续治疗。

发布于 18-09-19 03:05

0 个评论

暂无评论
发送