打开应用

椎基底动脉延长扩张症并巨大血栓形成1例

姚医师   南方医科大学珠江医院
脑血栓形成

主诉 病史

主诉:头晕、右侧肢体乏力1月余. 入院情况:患者干1月前因“突发头晕倒地伴右侧肢体乏力3小时”在当地医院住院治疗,诊断1,椎基底动脉延长扩张症并巨大血栓形成;2、基底动脉供血不足口3、高血压病,予以治疗后(具体不详)症状稍好转,出院后仍有语言欠流利,右侧肢体活动笨拙,无头痛、头晕、恶心、呕吐、行走不稳、肢体麻木、肢体抽搐、口角抽搐、意识不清、听力下降、视物模糊、视物重影。今患者为求进一步诊治而来我院,门诊拟“头晕查因”收入院。起病以来,患者精神状态一般,体力情况一般,食欲食量一般,睡眠情况一般,体重无明显变化,大便正常,小便正常。

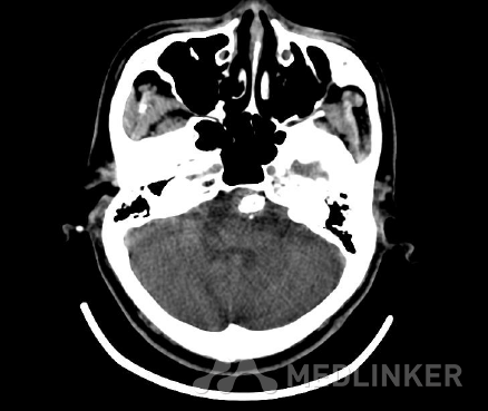
查体 辅查

后颅窝延及鞍上池左侧部见支架影及较重伪影,脑干左前方见血管瘤样较高密度影,请结合 临床、对照以往资料;余部脑实质内未见异常密度灶。

诊断 处理

诊断:1,椎基底动脉延长扩张症并巨大血栓形成;2,基底动脉供血不足。3、高血压病 诊治经过:入院后完善相关检查,于8月20日在静脉全麻下行主动脉弓造影十全脑血管造影+支架植入术。术 后予以抗凝,抗血小板等对症处理。

随访 讨论

1、在家休养,加强营养,加强肢体功能锻炼,2,继续调控血压,继续口服阿司匹林。

发布于 18-09-10 02:42

0 个评论

暂无评论
发送