打开应用

右侧腓骨下段骨折1例

蔡医师   双流区第一人民医院
腓骨骨折

主诉 病史

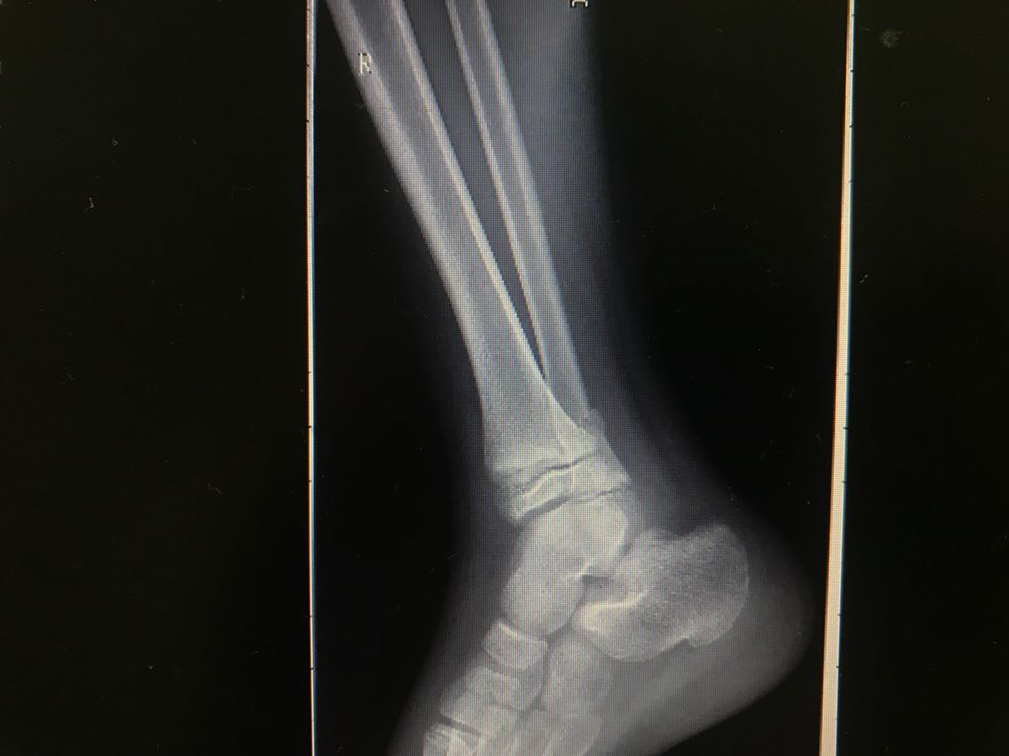
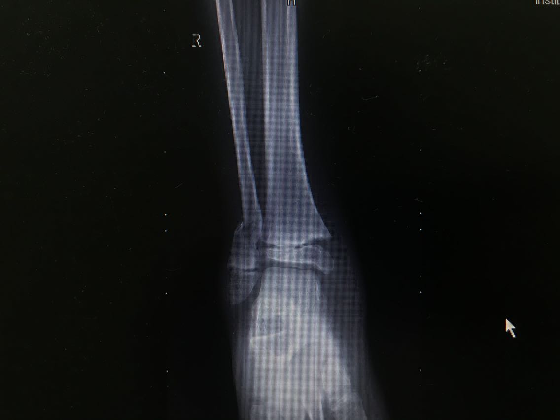
患者男性,10岁。 主诉:摔伤致右小腿疼痛,活动受限3+天 现病史:患者3+天前从高处摔下,高度约6米,摔下后右足着地。患者自述右侧小腿下段疼痛,可以耐受,意识清楚,呼之能应,无呕吐其他不适。右小腿肿胀、疼痛伴活动障碍,局部皮肤有明显青紫,无破损、流血等。遂至当地医院就诊,未予特殊处理,建议上级医院就诊。遂就诊于我院急诊科,行X线检查示:右侧腓骨下段骨折,断端稍成角、迂曲,右外踝关节间隙稍增宽,周围软组织肿胀。CT检查示:右侧腓骨下段骨折,断端稍成角、迂曲,右外踝关节间隙稍增宽,右胫骨干骺端与骺板间隙稍增宽,周围软组织肿胀。经我科医师会诊,以“右腓骨下段骨折”收入我科。患者自受伤以来精神睡眠可,食欲可,大小便正常,体重未见明显变化。 既往史无特殊。

查体 辅查

查体:右小腿远端、足部肿胀明显,局部皮肤可见青紫,未见破损,右小腿远端皮温低,压痛不明显,桡动脉、足背动脉搏动可,右踝节活动受限,右足趾感觉、血运、活动正常,其余肢体未见明显异常。 辅助检查: X线检查,示:右侧腓骨下段骨折,断端稍成角、迂曲,右外踝关节间隙稍增宽,周围软组织肿胀。请结合临床及其它检查。右侧胫骨未见确切错位骨折征象。 CT检查,示:右侧腓骨下段骨折,断端稍成角、迂曲,右外踝关节间隙稍增宽,右胫骨干骺端与骺板间隙稍增宽,周围软组织肿胀。请结合临床及其它检查。

n

诊断 处理

诊断:右侧腓骨下段骨折 治疗:右侧腓骨下段骨折切开复位内固定术+石膏外固定术

随访 讨论

手术顺利,术后患者安放病房,给予复方曲肽注射液等对症支持治疗后,患者术后恢复良好。术后1周出院继续功能锻炼。术后复查X片见骨折对位对线良好。

发布于 18-08-26 20:15

1 个评论

发送