下载或打开 医联APP 查看完整评论
立即下载
打开APP
打开应用
上腹痛
陶医师
长沙市精神病医院
腹痛
主诉 病史
男,45岁,上腹痛,据按,无伴随症状,轻度精神分裂症,服药10年
查体 辅查
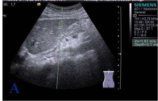
常规彩超腹部超声无明显异常声响,加做弹性成像,如图所示
诊断 处理
腹痛查因
随访 讨论
是神经官能症吗
发布于 18-04-24 08:19
医联推荐你看
上腹痛半年
上腹痛
间断上腹痛1周
共
4
个评论
查看更多评论
发送
0