打开应用

慢性根尖周炎

吴教授   四川大学华西口腔医院
慢性根尖周炎

主诉 病史

主诉:上前牙区咬合痛7天 现病史:患者诉自7天前,前次治疗后上前牙开始出现咬合痛

查体 辅查

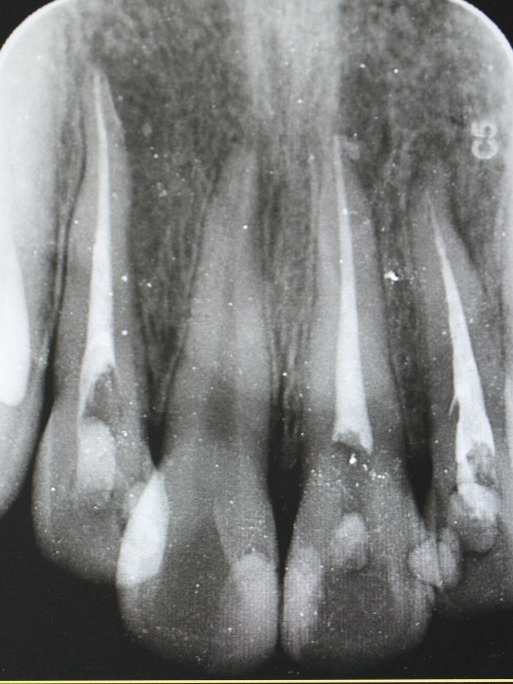
检查:12牙未见明显龋坏,探(-),冷(-),叩(++),无明显松动,牙髓电活力测试无反应,唇侧牙槽粘膜处未见窦道。 X线片:12牙根尖周暗影?

诊断 处理

诊断:12牙牙髓坏死? 治疗方案: 1、12牙根管治疗+充填治疗+冠修复 2、12牙择期治疗 3、12牙显微根尖外科手术 4、12牙拔除 5、12牙观察 治疗计划:与患者交流沟通并详细介绍每种治疗方案、费用、时间、预后等,由于患牙根尖病变范围较大,预后欠佳。患者知情、同意并选择方案2,签署知情同意书。 12牙涡轮机开髓,探查根管口,10#,15#K锉疏通根管,根长测量仪测量根管长度,12牙22.5mm,髓腔和根管内放置根管润滑剂,S3扩锉至2506,拍片试尖,X线片示主尖合适。次氯酸啊冲洗根管,P5荡洗,纸尖干燥根管,置氢氧化钙,Caviton暂封。

处置:12牙去暂封,去棉球,根管及髓腔消毒并再次测量并确定根管长度,干燥后,显微镜下使用根尖孔生物材料加大锥度牙胶尖及热牙胶行根尖屏障封闭成形及根管充填,再拍X线片检查根充效果,X线片示根充良好,窝洞消毒,暂封。 医嘱:不适随诊,勿用患牙进食

随访 讨论

侧切牙是畸形舌侧沟的好发牙位 釉质发生卷曲 一定程度后 可以形成牙中牙 该部位容易形成细菌通道造成根周的感染 治疗效果欠佳 在完善根管治疗后 应长期随访 必要时行外科手术 如果仍不能有效控制感染 则考虑拔牙

发布于 17-11-22 21:09

4 个评论

发送