打开应用

股骨髁上骨折

高医师   许德全中医医院

主诉 病史

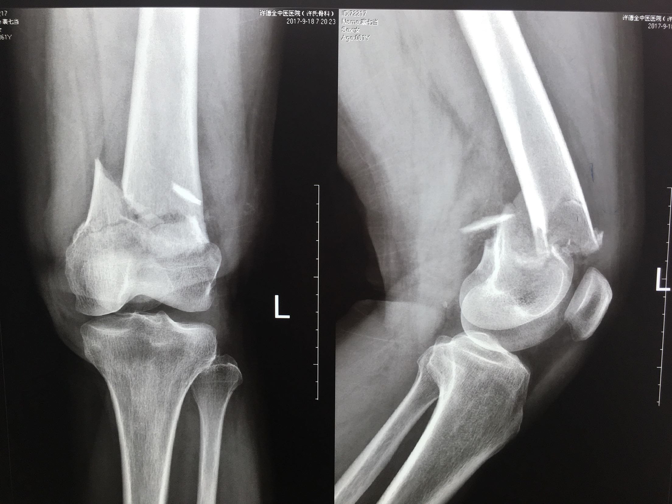
患者,女性,61岁,摔伤后左大腿疼痛,畸形,活动受限1小时。

查体 辅查

左大腿远端局部肿胀,环形压痛,可及骨檫音,异常活动,

远端血运感觉正常。

诊断 处理

完善检查,急诊在局麻下行胫骨结节骨牵引术。术后一周,病情平稳,在腰麻下行切复内固定术,考虑骨折粉碎,骨质疏松,拟行双钢板固定。术后抗炎,对症治疗,嘱咐一周后早期膝关节微动锻炼。

随访 讨论

望各位老师指导学习!谢谢

发布于 17-09-26 09:20

9 个评论

发送