打开应用

宫腔粘连

方医师   黄山市徽州区妇幼保健计划生育服务中心
子宫粘连

主诉 病史

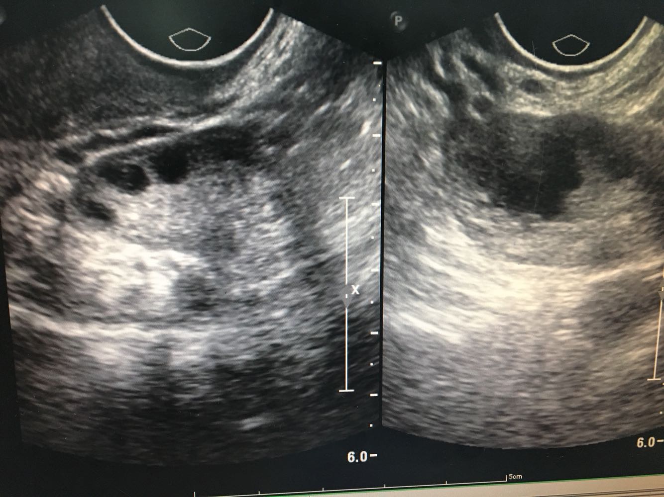
1.患者,女,35岁     2.主诉:人流后经量减少伴痛经7月余 3.现病史:0-0- 2-0,初潮14岁,既往5/25,经量中等,无痛经。患者于2016年12月行人工流产术,术后1月月经正常来潮,2017年1月起出现明显经量减少,经期缩短伴下腹坠痛,自行服用中药调理(具体药物不明),未见明显好转。2017年4月就诊外院,B超诊断为宫颈粘连(报告未见),当时未予特殊处理。患者经量仍有减少,经期缩短至1天,腹痛症状逐渐加重,无腹泻,无恶心呕吐,无畏寒发热等不适。遂就诊我院B超示子宫内膜回声不均匀,宫腔部分粘连可能;小型子宫肌瘤;盆腔积液;右附件系膜囊肿。现患者有生育要求,为寻求进一步治疗,拟“人工流产后宫腔粘连”收治入院。病程中患者无异常阴道流血流液,无经期间出血,无发热,无恶心呕吐。

查体 辅查

妇检:外阴:已婚未产式;阴道:畅;宫颈:光;宫体:后位,正常大小,活动度可,无压痛;双侧附件:未及包块,无压痛。

诊断 处理

诊断: 流产后宫腔粘连(可能);子宫平滑肌瘤(小型) 诊疗方案:患者入院后完善各项检查,麻醉下行宫腔镜下宫腔粘连分解+刮宫术,术中见:宫颈管形态正常,宫腔上1/3宫底处粘连,左右两侧壁膜状轻度粘连,双侧输卵管未见。以剪刀剪开宫底处粘连使宫底处展平,暴露双侧输卵管开口清晰,剪除左右两侧壁膜状粘连带,使宫腔恢复正常形态。刮匙沿宫腔四壁轻柔搔刮,刮出少量内膜送病理。手术顺利,术后给予抗炎治疗,观察阴道出血少,患者生命体征平稳。

随访 讨论

讨论:宫腔粘连的病因 (1)宫腔操作:   ①妊娠期宫腔操作:人工流产刮宫过度或产后、流产后出血刮宫,剖宫产。   ②非妊娠期宫腔操作:诊刮术、子宫肌瘤剔除术、放射性物质照射、宫颈活检或息肉切除术等;   (2)生殖系统感染:流产后感染、产褥感染、子宫内膜结核感染及各种宫腔手术所致的感染。   (3)子宫先天畸形:如纵膈子宫。   (4)其他:体质、免疫、遗传等因素。

发布于 17-12-12 00:51

7 个评论

发送