打开应用

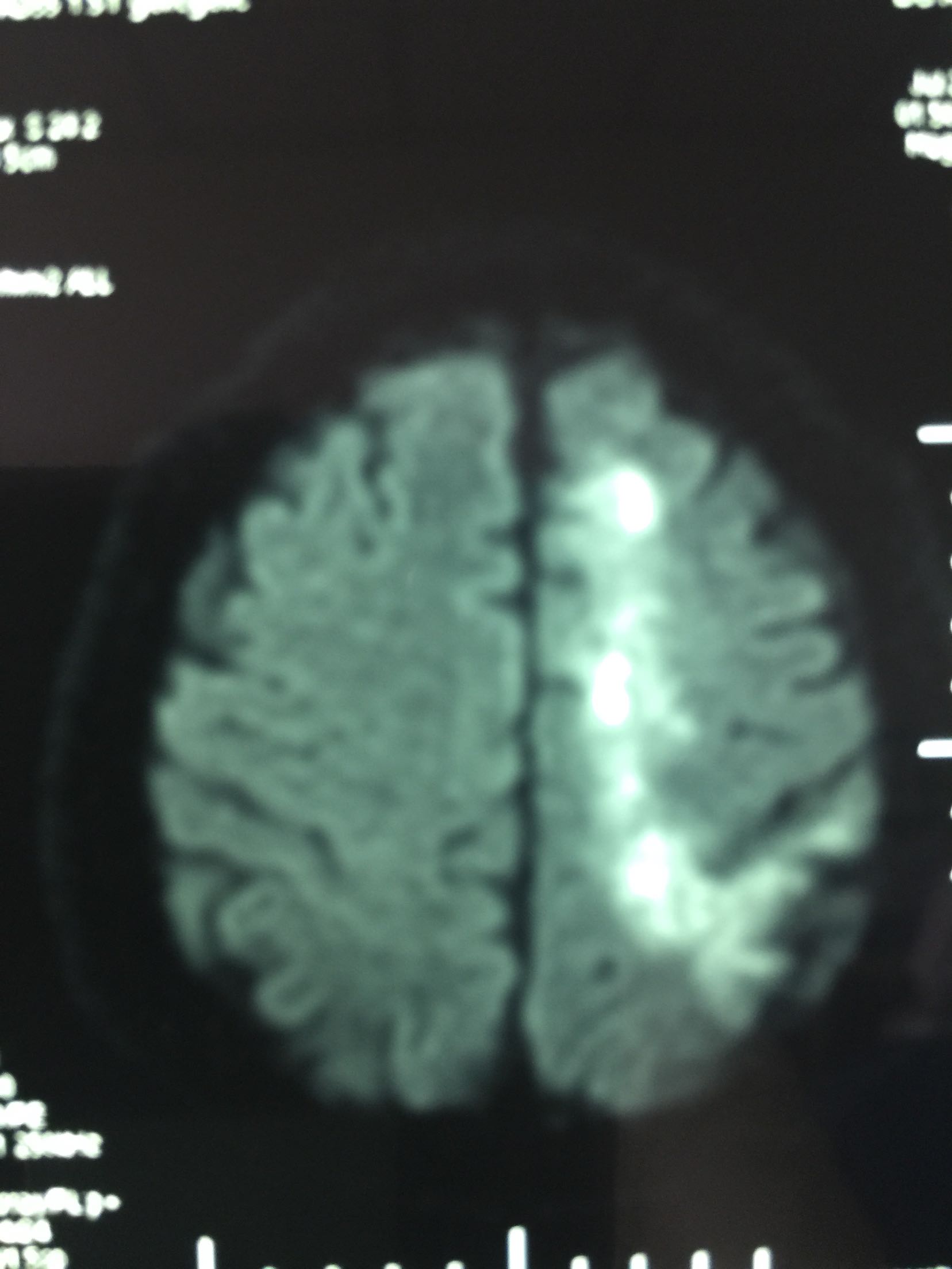
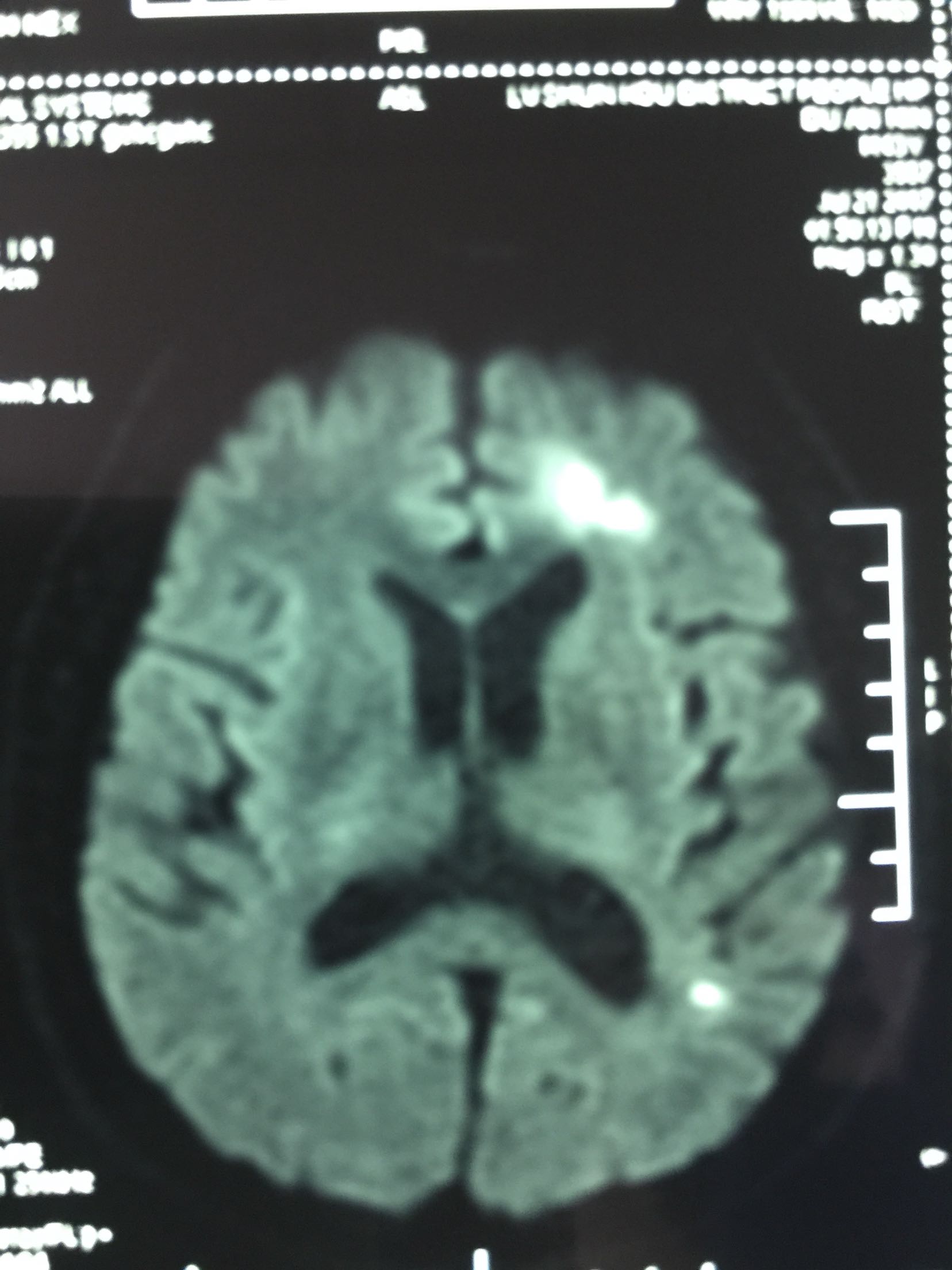
分水岭脑梗死

韩医师   大连市旅顺口区人民医院

主诉 病史

主诉:发作性右侧肢体无力、言语不清7天,加重1天,抽搐1小时 现病史:7天前无诱因右侧肢体无力、言语不清,持续10分钟完全缓解。之后发作2次,未在意。1天前上述症状再发,未缓解,但可以行走。1小时前突发抽搐,表现双眼上串,口吐白沫,四肢强直,20分钟后缓解,急诊来医院,查头CT未见异常,收入病房。病来因天热纳差,夜眠差,二便正常。 既往史:高血压病10年,未规律服药。无饮酒不良嗜好。

查体 辅查

查体:T:36.4℃ P:64次/分 R:18次/分 Bp:176/9mmHg 内科系统:未见异常 神经系统:神志清楚,不完全性运动性失语,右侧鼻唇沟浅,右口角下垂,伸舌右偏,右上下肢肌力3级,右巴士征阳性。 辅助检查:心电图:窦性心律 血尿常规:正常 生化、肝功:正常 LDL-Ch:5.68mmoL/l

诊断 处理

诊断:分水岭脑梗死 高血压病3级 急高危 治疗:吸氧 心电血压血氧监测 依达拉奉清楚自由基 长春西汀改善微循环 丁苯肽建立侧枝循环 阿司匹林 氯比格雷双抗 阿托伐他汀降脂稳斑

随访 讨论

随访及预防:66岁男患,首先TIA发作,之后脑梗死,MRA可见左侧大脑中动脉狭窄,目前双抗血小板,联合大剂量他汀,未再发作。

发布于 17-07-25 14:01

17 个评论

发送