打开应用

Ascher综合征合并睑黄瘤一例

翟医师   第三军医大学第一附属医院

主诉 病史

患者男,29岁,主诉双上睑下垂、黄斑伴口唇肿胀10年。患者出生后双眼睑及口唇正常。10年前无明显诱因出现双上睑反复水肿,开始时约2~3天消退,曾多次就诊于当地医院,考虑为“过敏”,给予抗组胺药口服治疗,眼睑水肿仍反复发作。约半年后水肿不能自行消退,双上睑皮肤逐渐变薄,上睑下垂,睑内侧出现界限清楚地黄色斑块,同时口唇轻度肿胀,无明显自觉症状,视力无异常变化,不伴有其他全身症状。未进一步行特殊诊治。随年龄增长,双上睑皮肤明显变薄,其上黄色斑块逐渐增大且高出皮面,口唇明显肿胀,以上唇明显。患者系足月顺产,一般情况良好,智力正常,近年在外地打工,无特殊不良嗜好。父母非近亲结婚,家族中无类似疾病患者,无特殊遗传疾病病史。

查体 辅查

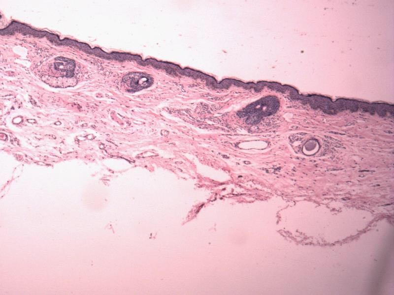
发育正常,体型偏瘦,智力正常。甲状腺无肿大,全身各系统检查无异常。皮肤科情况:双上眼睑松弛下垂,未遮盖瞳孔,皮肤萎缩变薄,呈淡红色,可见明显毛细血管扩张,双上睑边缘皮肤轻度肿胀。双下睑无明显异常,眼球不突出。双上睑内侧对称分布黄豆大小黄色斑块,边界清楚,质地柔软。上唇肥厚肿大呈双唇表现(图1)。实验室检查:血常规、尿常规及大便常规均正常,肝功能、肾功能、血脂全套正常,甲状腺功能五项正常,甲状腺超声检查示双侧甲状腺未见异常。取右上睑外侧皮肤行组织病理检查示:表皮大致正常,真皮明显萎缩变薄,真皮内毛细血管扩张、增生,血管及附属器周围多少不等的炎性细胞浸润(图2)。Verhoff染色示:正常一侧真皮弹性纤维大致正常,病变一侧真皮弹性纤维明显减少或缺失(图3,图4)。

诊断 处理

结合临床诊断为:Ascher综合征(不完全型)伴睑黄瘤。患者未行特殊治疗。

随访 讨论

Ascher综合征以眼睑松弛和上唇进行性增厚为特点,因此也可称为眼睑松弛-上唇肥厚综合征,临床上,约10%患者合并甲状腺肿大,又称为眼-口-甲状腺综合征。若无甲状腺增大者,为不完全型,若三联征均存在的则为完全型。本病临床较少见。其病因不明,认为可能和外伤、内分泌紊乱以及遗传等有关。多于婴儿或儿童期发病,合并甲状腺肿大的,多发生于青春期,临床上类似于单纯性甲状腺肿大,一般无甲亢症状。双唇畸形一般为上唇受累,偶有双唇受累,可以为先天的,也可以是获得性的,获得性的常常由外伤所致,先天性的则为发育异常。眼睑松弛的病因尚不明确,目前认为可能为常染色体显性遗传。本病无特殊治疗方法。对水肿症状可使用皮质类固醇激素对症治疗,眼睑松弛及上唇肥厚引起功能障碍或影响美观的可手术处理。

发布于 17-07-23 11:28

17 个评论

发送