打开应用

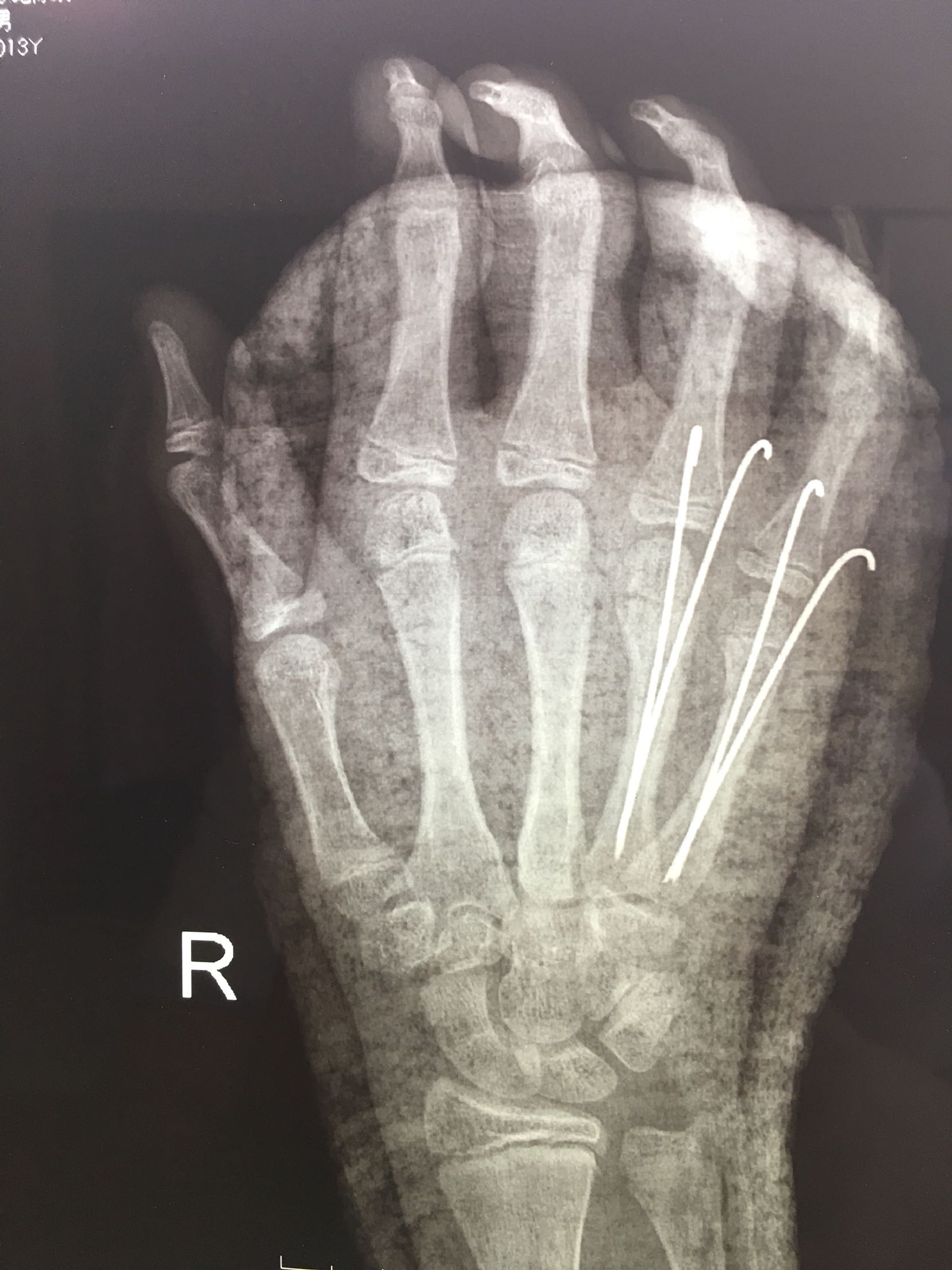
右第四,五掌骨骨折(微创)

高医师   许德全中医医院

主诉 病史

患者,男,13岁,撞伤后右手肿痛,活动受限1天入院。

查体 辅查

右手肿胀明显,局部皮色青紫,皮温稍高,第四,五掌骨头处压痛,纵叩痛阳性,掌指关节活动受限,末梢血运感觉正常。

诊断 处理

完善检查,在臂丛麻醉下行闭合复位内固定术,术后抗炎,消肿止痛等对症处理,右手石膏托制动。

随访 讨论

还有不足之处,望各位老师指正。谢谢

发布于 17-07-14 12:00

21 个评论

发送