打开应用

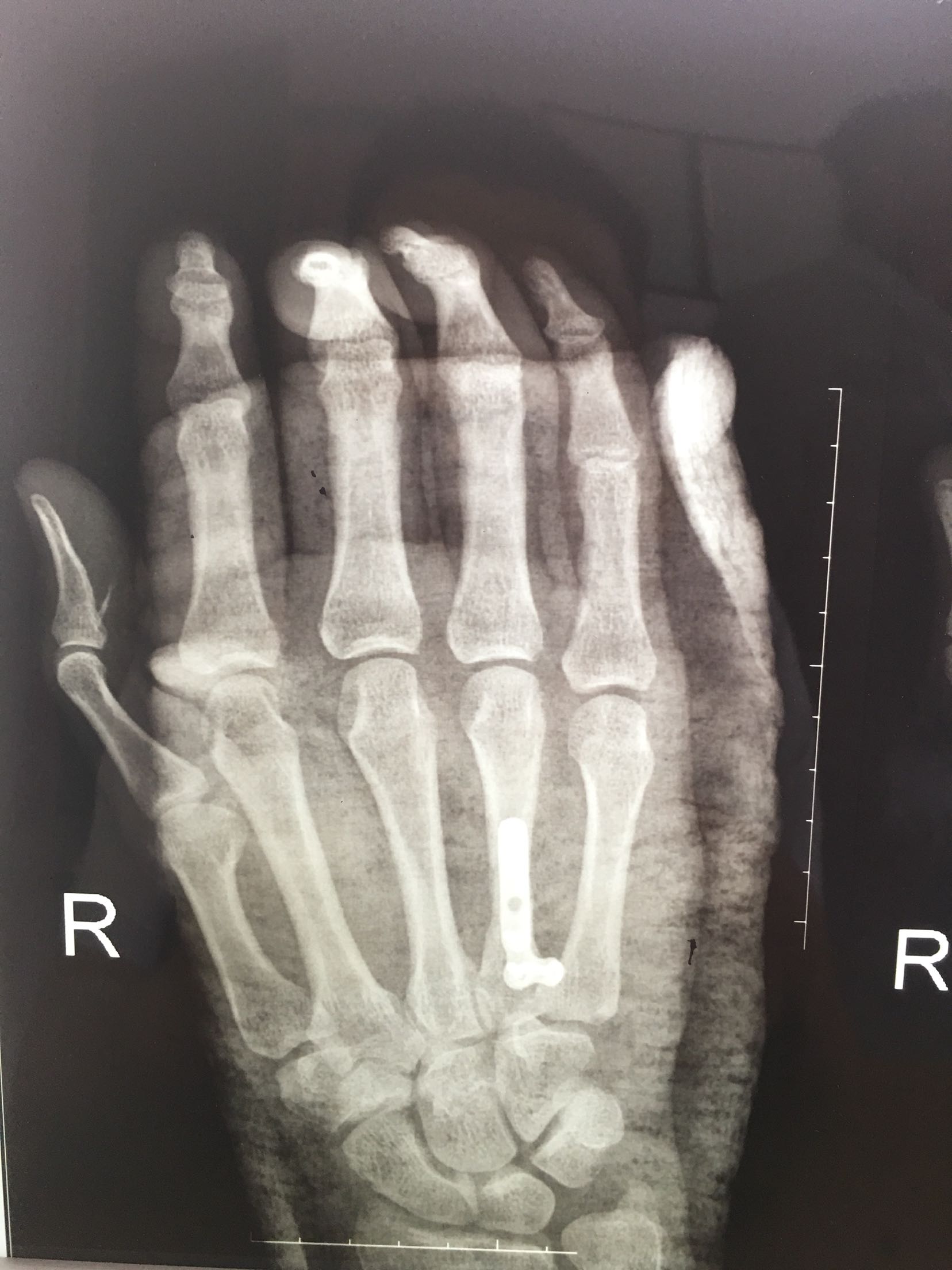
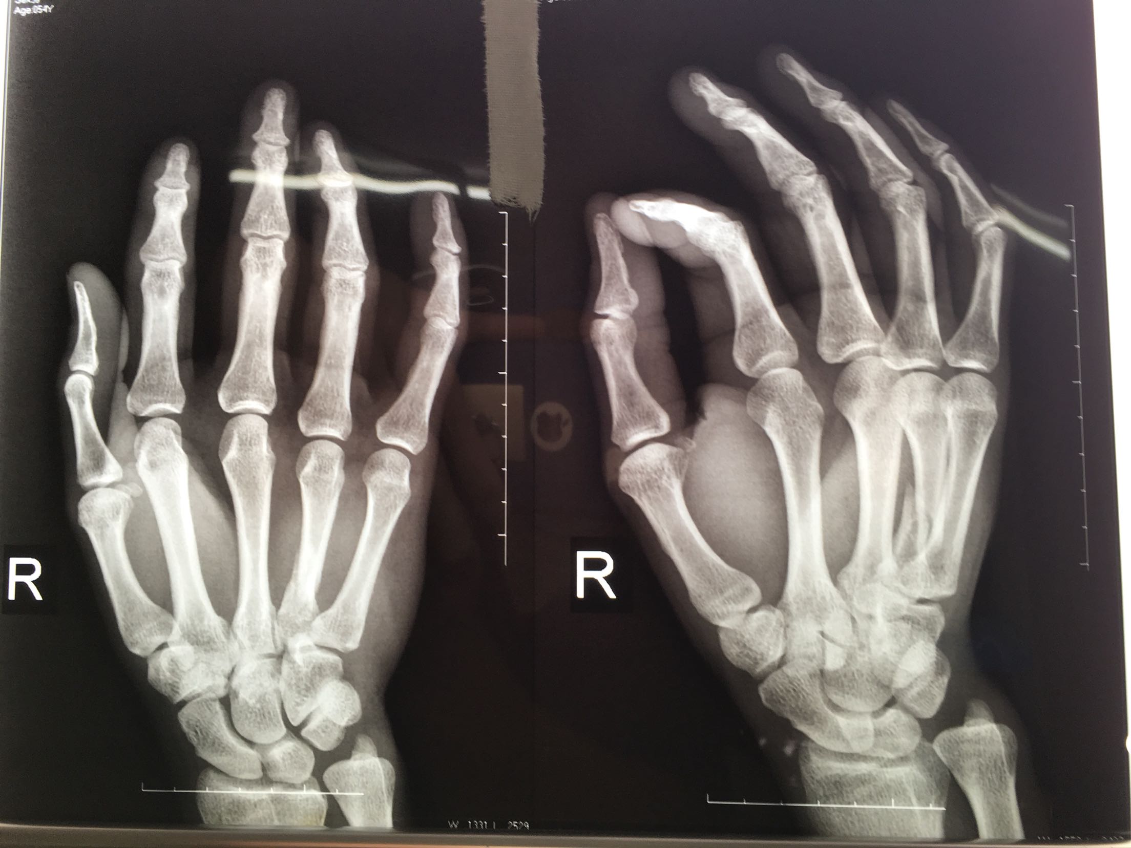
掌骨骨折微钢板固定

高医师   许德全中医医院

主诉 病史

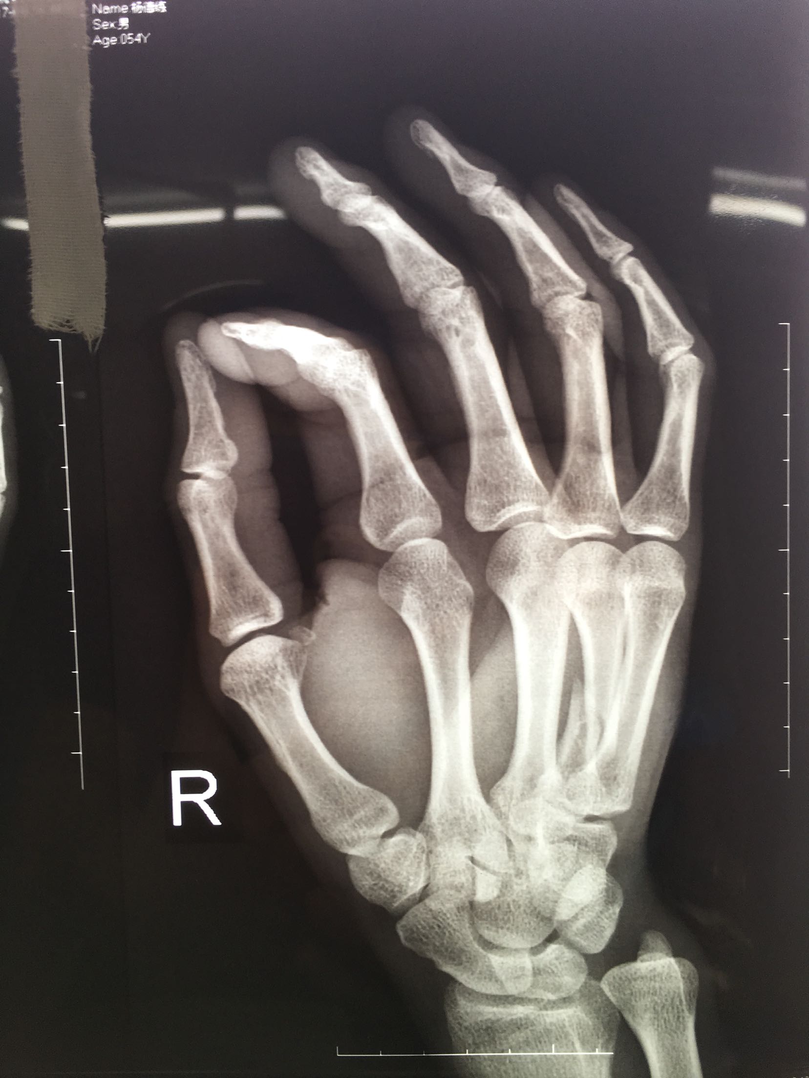
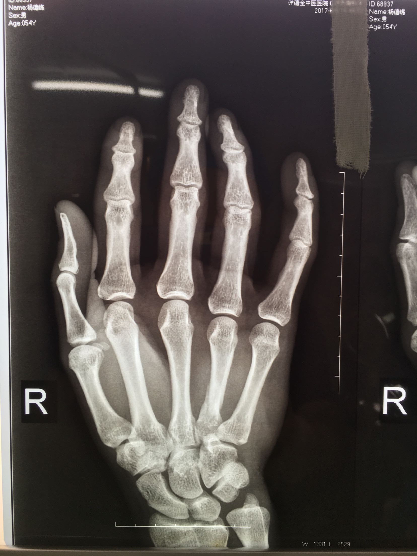
患者,男,52岁,摔伤后右手肿痛,活动受限4小时入院。

查体 辅查

右手掌肿胀明显,皮色皮温正常,局部压痛,纵叩痛阳性,可及骨擦感,第四掌指关节活动受限,末梢血运感觉正常。

诊断 处理

完善检查,在臂丛麻醉下行切复内固定术,术后抗炎,消肿止痛处理。

随访 讨论

钢板固定的手术风险?望各位老师指正?谢谢

发布于 17-06-07 13:28

14 个评论

发送