打开应用

气管穿孔后皮下气肿一例

陈医师   南京医科大学附属江宁医院

主诉 病史

女,77岁,既往没有肺病病史,在家中发生呼吸骤停。由于气管插管未成功,遂留置气管食管联合导管。转运到急诊科的途中发生严重的软组织肿胀。

查体 辅查

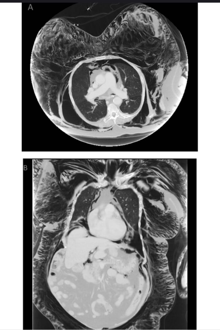
体格检查显示,患者意识不清,面部、颈部、躯干和肢体都有明显的肿胀和捻发音。胸腹及盆腔CT(图A和B)显示弥漫性皮下气肿,纵隔积气和左侧气胸。需行紧急气管切开术,确诊气管后壁裂并进行修补。2天后,尽管患者接受了机械通气,但皮下气肿自行消失。

诊断 处理

诊断:气管穿孔后弥漫性皮下气肿 予紧急气管切开引流气体后,好转

随访 讨论

当需要建立人工气道但不能进行气管插管时,会厌上气道装置如气管食管联合导管或喉罩可以提供暂时性的气道支持。气管食管联合导管是一种会厌上、单腔通气装置,包括两个气囊及一个通气孔。呛咳反射良好、已知食道疾病或吞入腐蚀性物质的患者不应使用联合导管。尽管留置联合导管通常是安全的,但是也可以出现置管错误,包括口咽气囊过度充气导致舌水肿。 留置联合导管后就诊于急诊科的患者中,皮下气肿的发生率为4%。报道的气管并发症还包括声带损伤、食道损伤及气管损伤。含气结构发生破坏后空气进入邻近组织,即可出线弥漫性皮下气肿。其常见原因为创伤,但也可为自发性。当解剖损伤得到纠正后,即使不进行引流,皮下气肿也能吸收。但是,在严重或致命性皮下气肿时(常累及眼睛、面部及气道),往往需要进行皮下引流。

发布于 17-05-14 10:19

5 个评论

发送