打开应用

双足拇外翻一例

王医师   包头云龙骨科医院

主诉 病史

主诉:双足第一趾外翻畸形10余年。 病史:患者F/55,自述双足无明显诱因出现第一趾外翻畸形10余年,长时间行走或工作劳累后出现疼痛,近2年来症状加重。

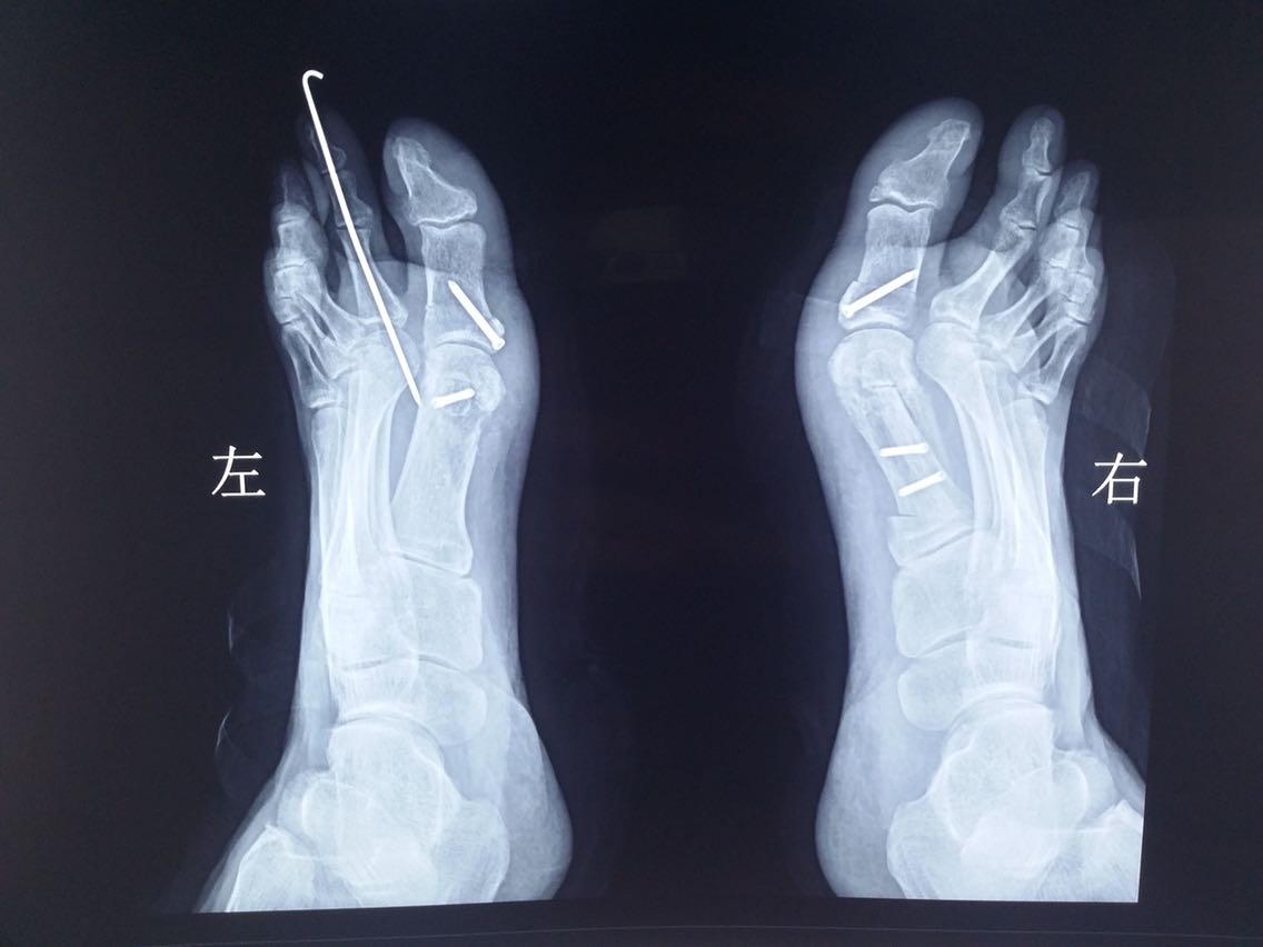
查体 辅查

查体及辅助检查:双足第一趾重度外翻畸形,第一趾长轴与第一跖骨长轴夹角>25°,第一、二跖骨头夹角>9°。

诊断 处理

诊断:双足拇外翻畸形 治疗:截骨矫形修复术

发布于 17-05-06 17:36

16 个评论

发送