打开应用

分水岭梗塞1例!

李医师   沈阳维康医院

主诉 病史

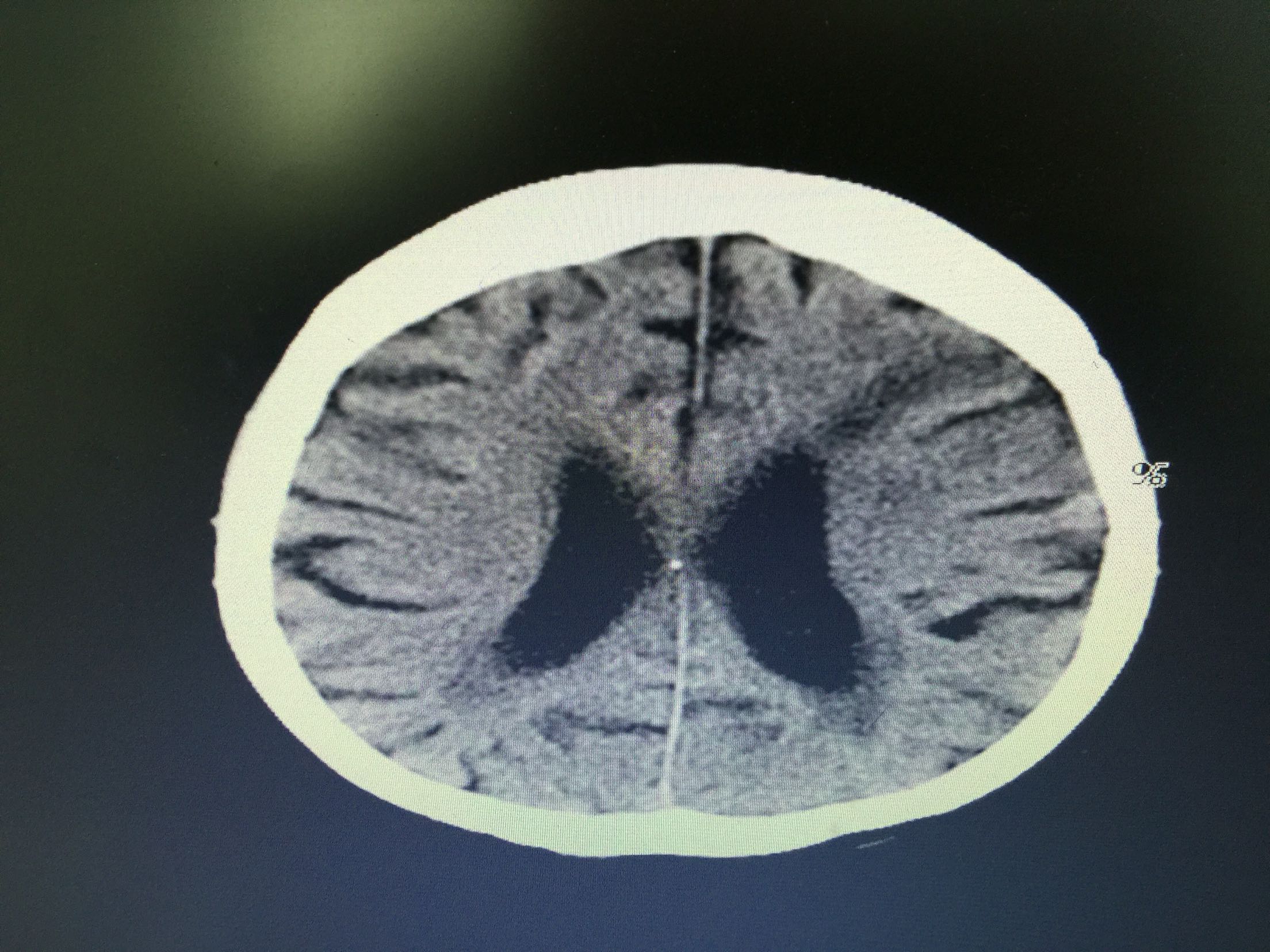
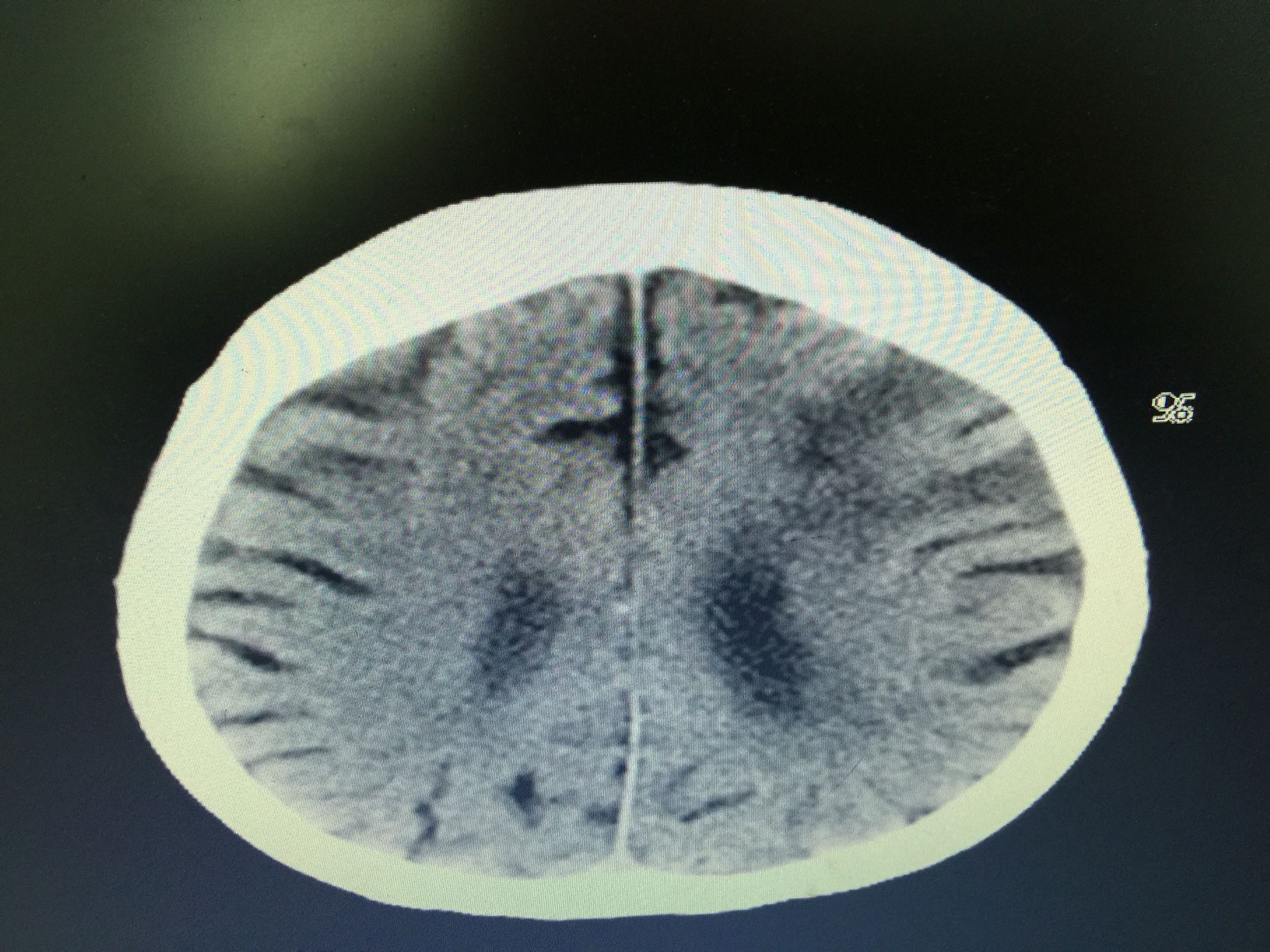
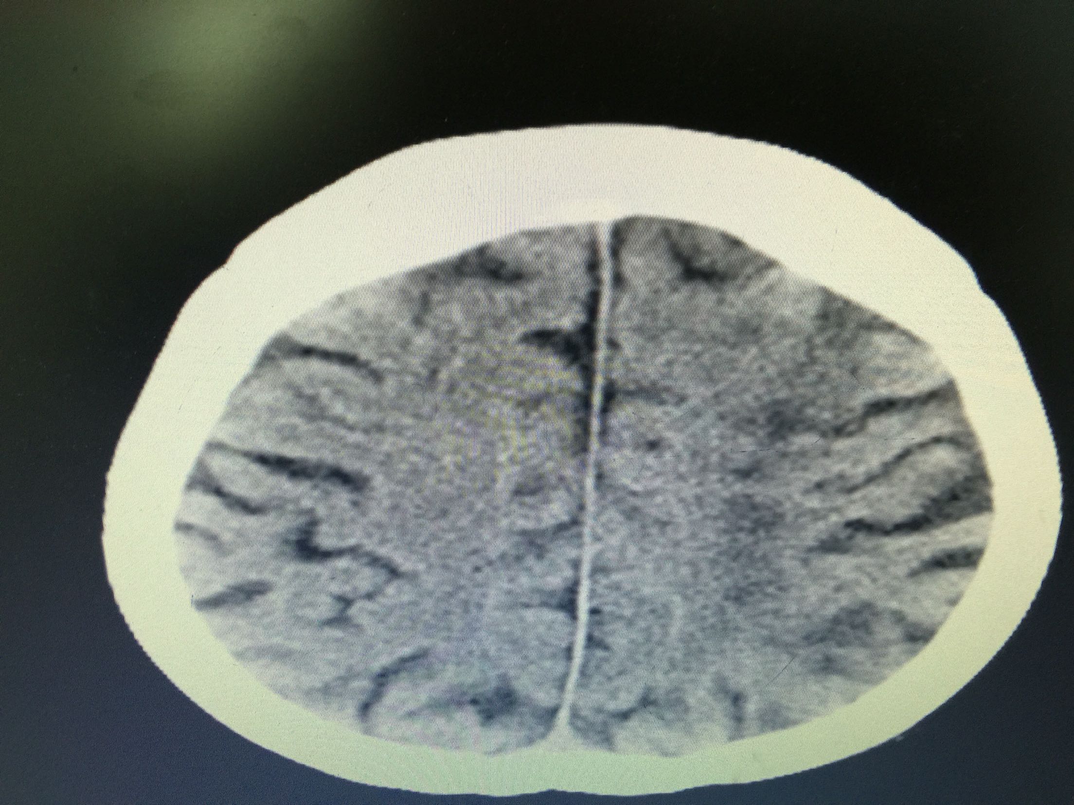
女,86岁,以“嗜睡、右侧肢体无力20小时”入院。 现病史:20小时前无诱因出现嗜睡,可唤醒,问话可答,不理解含义,右侧肢体无力。 既往史:高血压。

查体 辅查

查体:血压:136/80mmHg,意识清,不全运动性失语,右侧中枢性面瘫,右侧肢肌力1级,Babinski征左-右+。

诊断 处理

诊断:分水岭梗塞! 治疗:扩容、抗板、稳定斑块、促进侧枝建立等治疗。

随访 讨论

住院患者,意识障碍较前好转。

发布于 17-04-30 17:32

8 个评论

发送