打开应用

晚期前列腺癌

张医师   费县人民医院
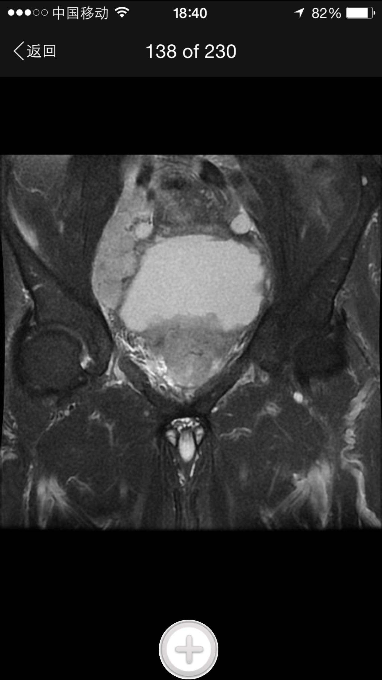
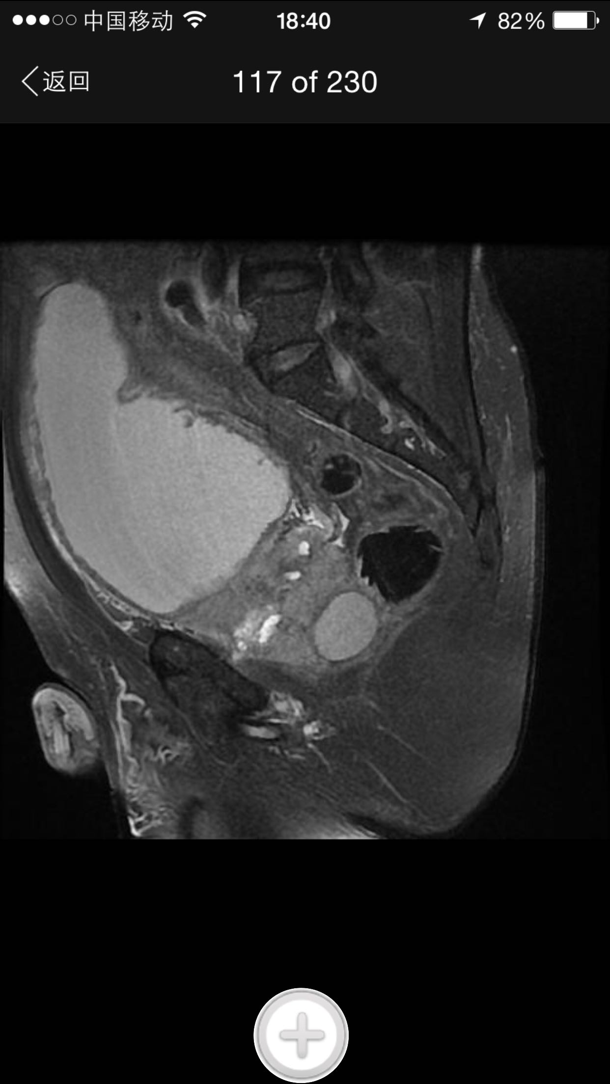
前列腺癌

主诉 病史

尿频,排尿费力1年

查体 辅查

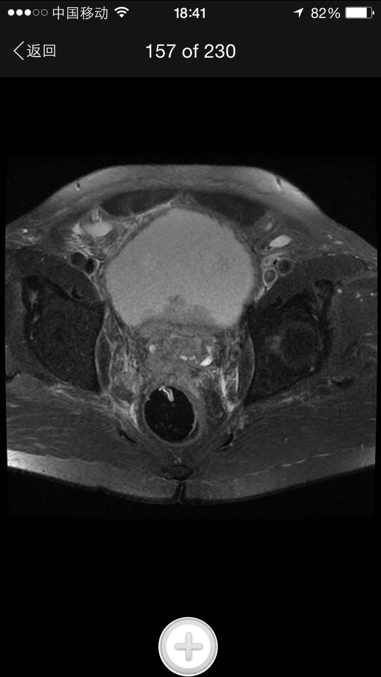
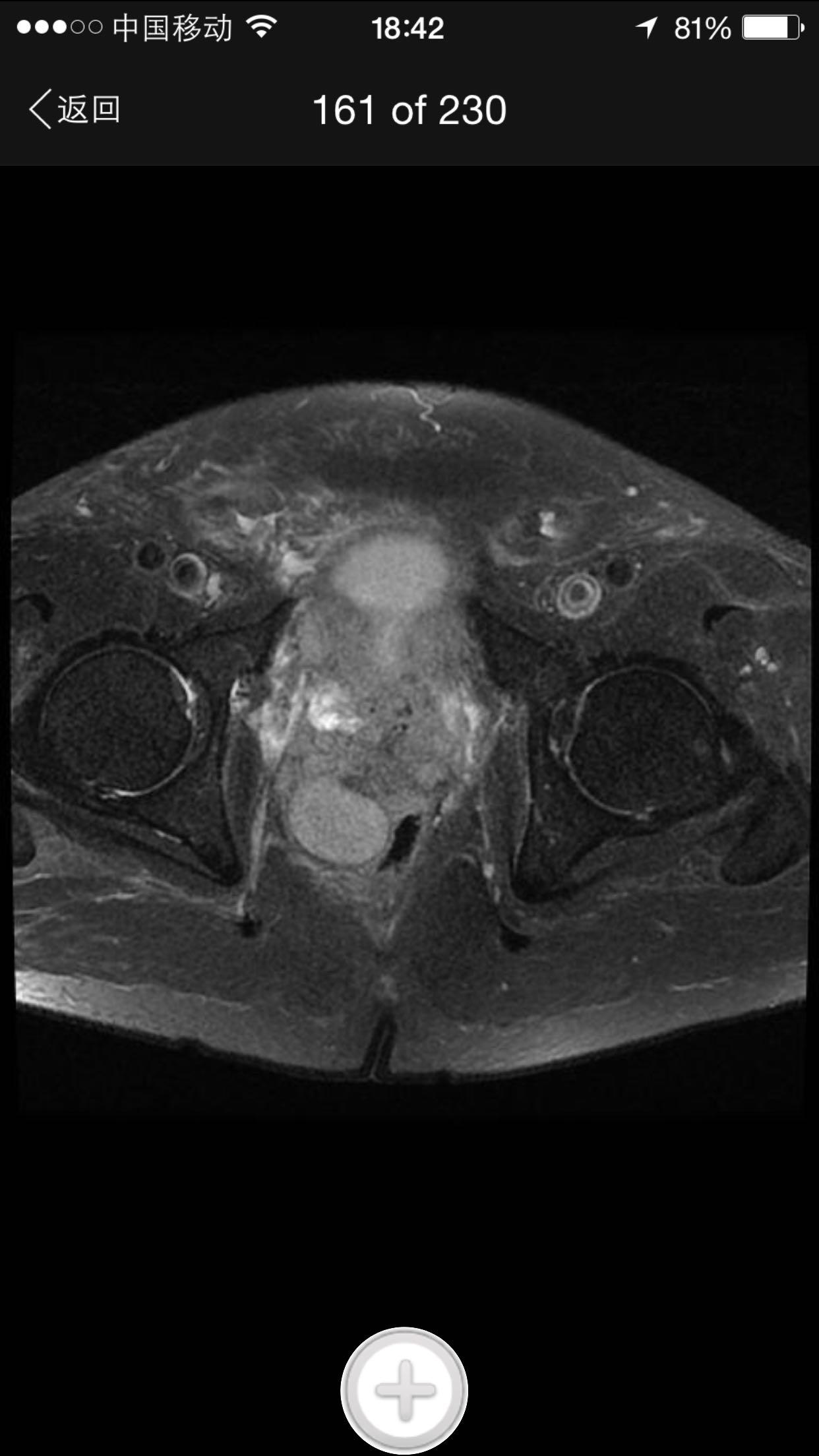
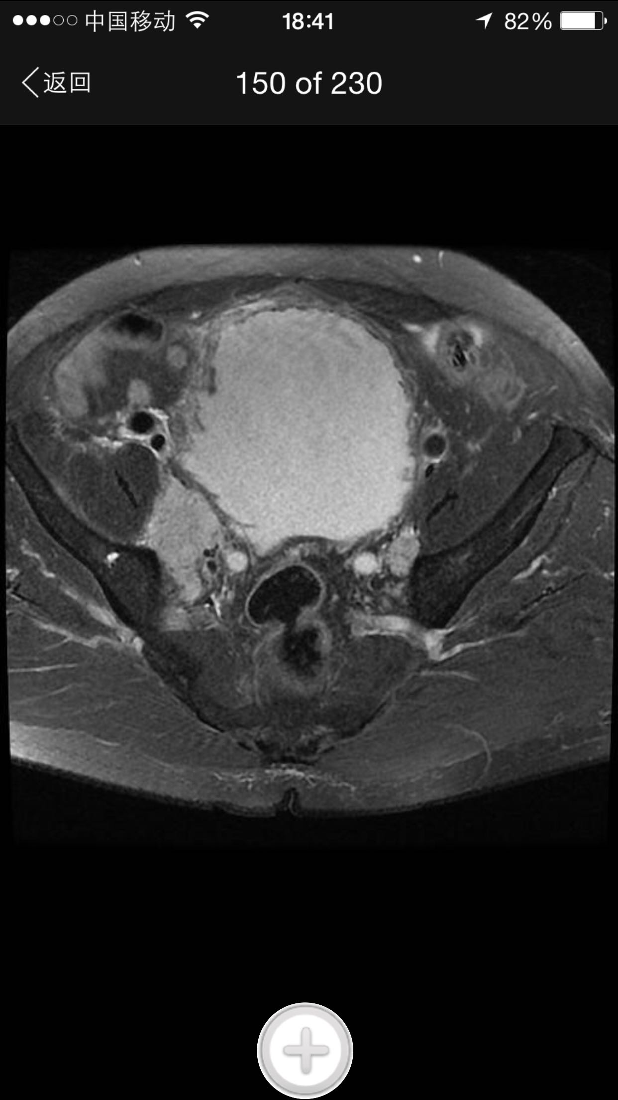
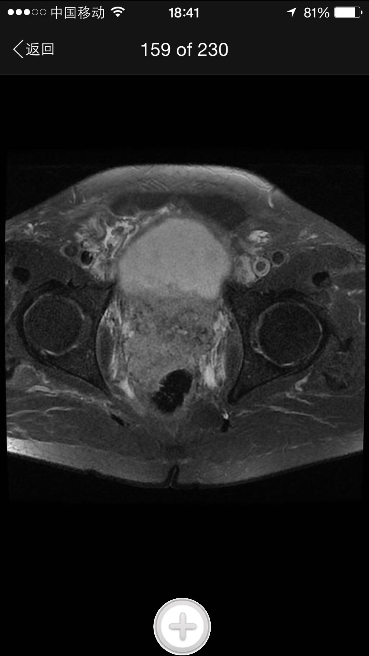
肛诊:前列腺增大,质硬,可扪及多个硬结。 PSA329ng/ml。

诊断 处理

诊断:前列腺癌晚期 尿潴留 治疗:考虑患者临床分期较晚,T4期,且淋巴结转移,合并尿潴留,超声提示肾积水,决定行TURP,解决排尿困难。术中快速,如为前列腺癌,直接行手术去势。术中按上述方案处理。术后病理为前列腺中分化腺癌。

随访 讨论

术后定期检查PSA。 对于晚期前列腺癌合并尿潴留,大家如何处理?

发布于 17-04-14 19:20

19 个评论

发送