打开应用

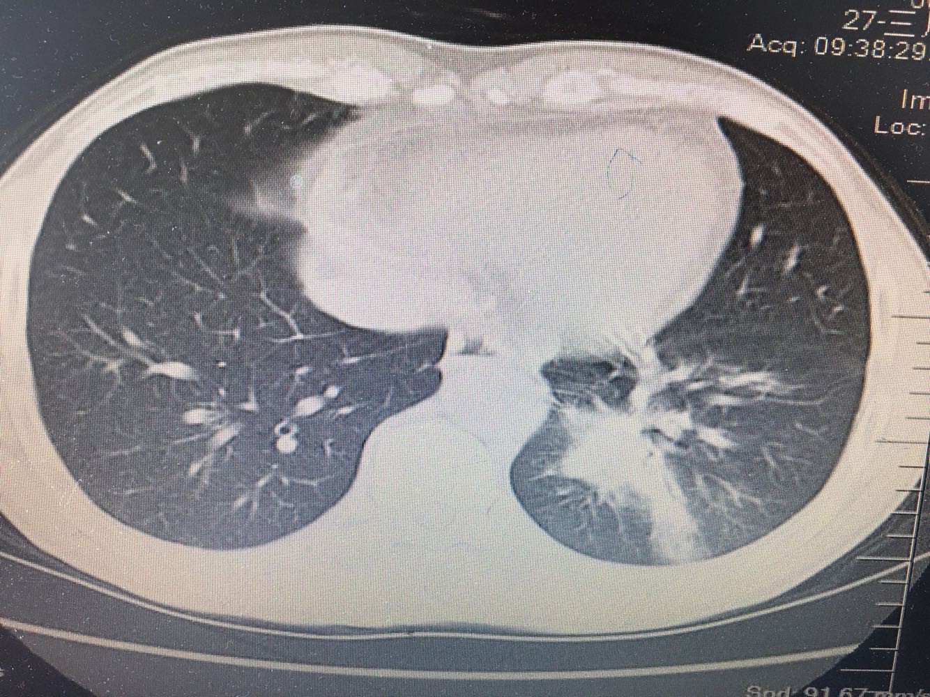
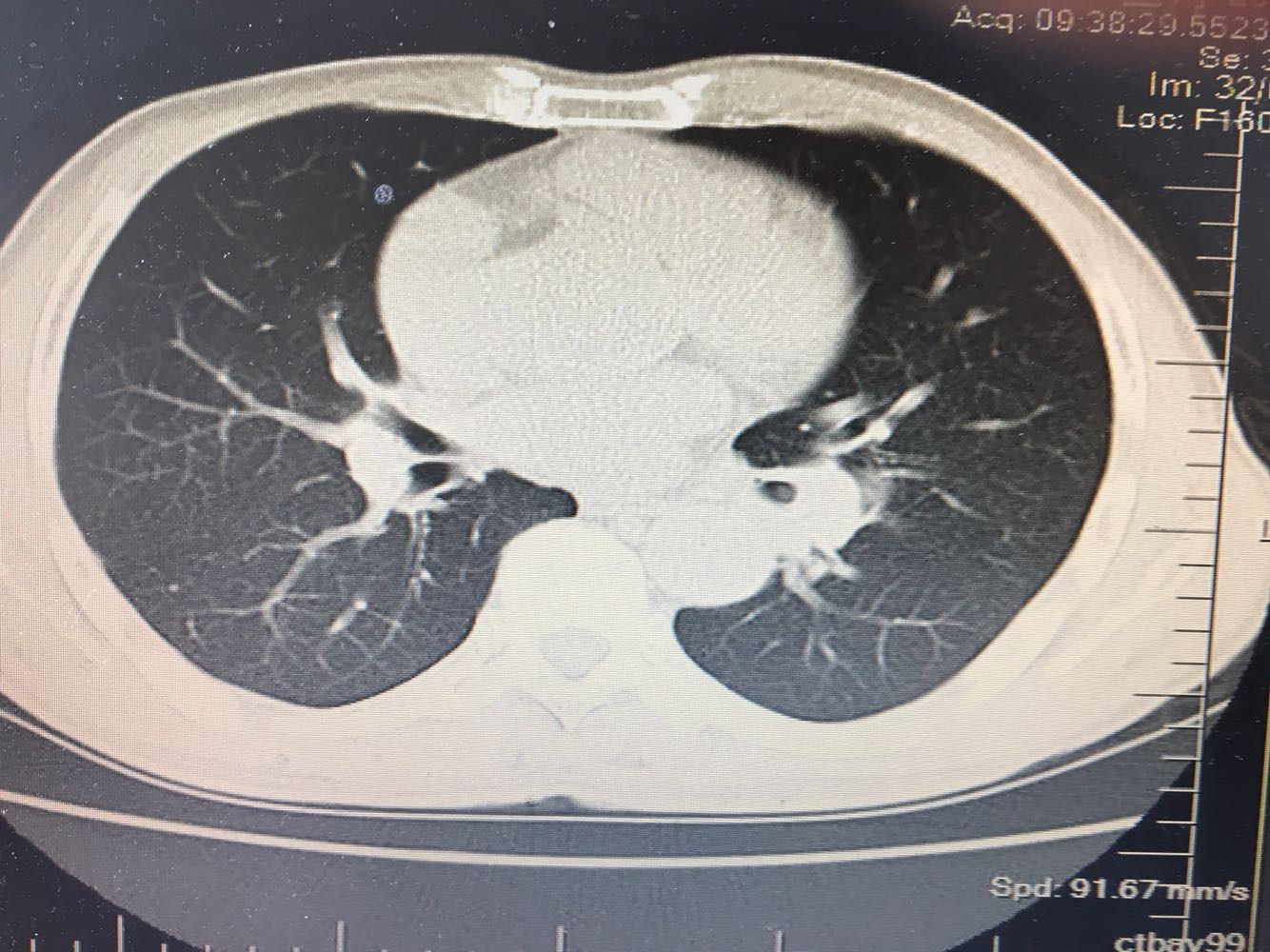
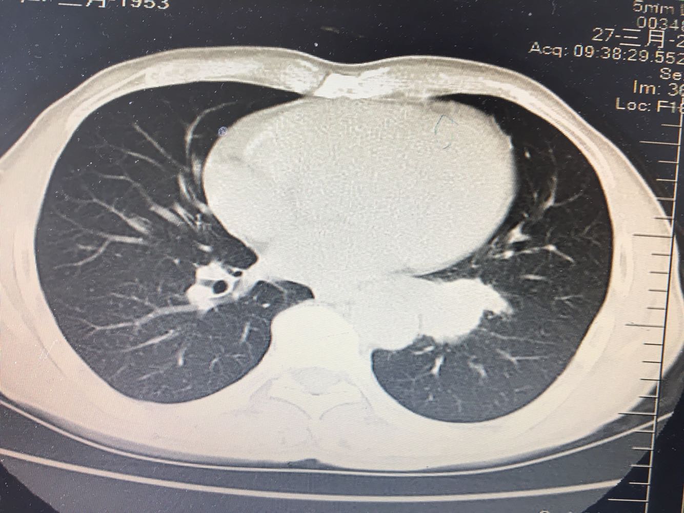
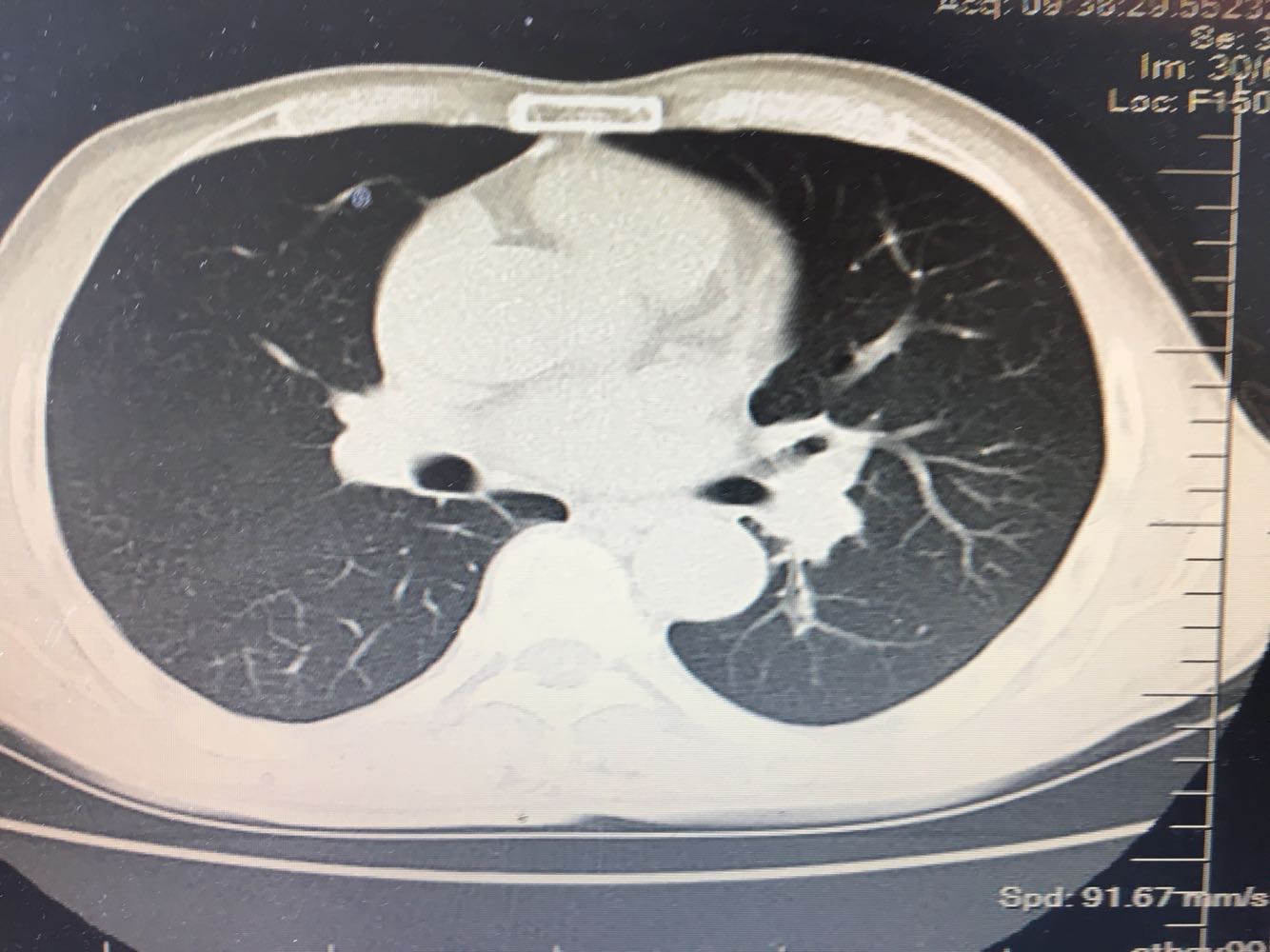
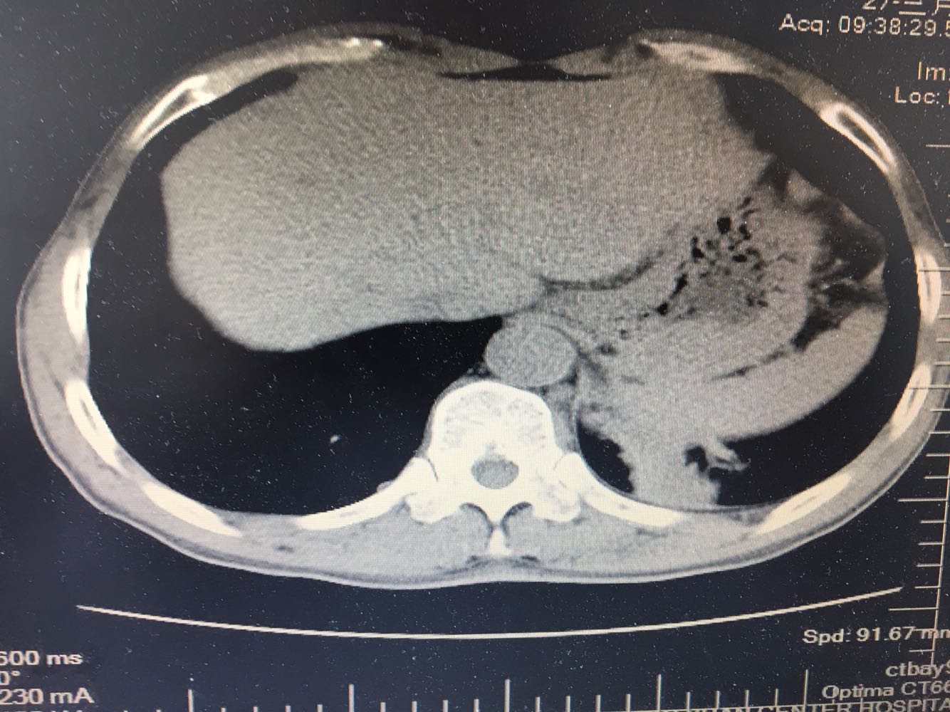
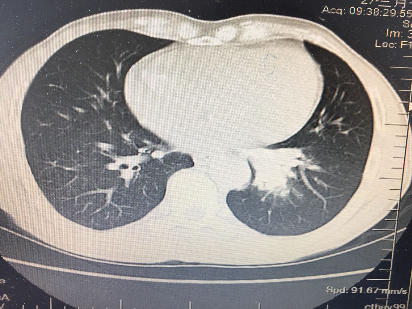
左肺下叶鳞癌

刘医师   凌源市中心医院

主诉 病史

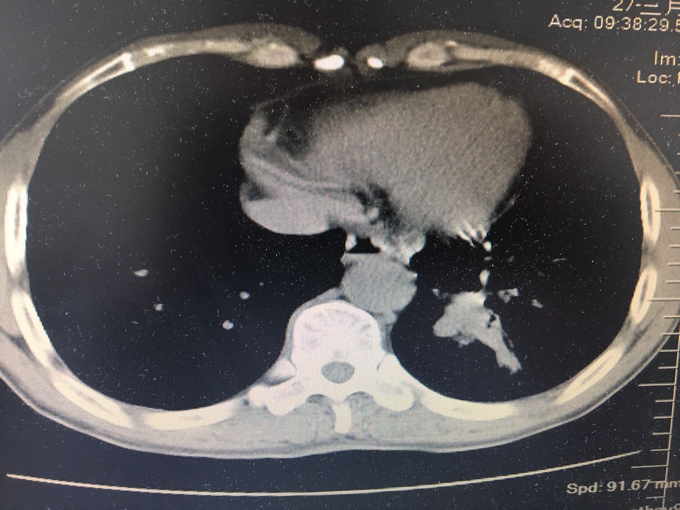
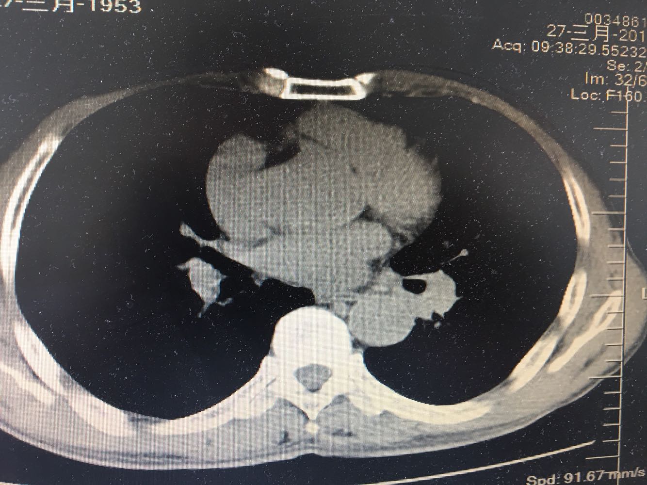
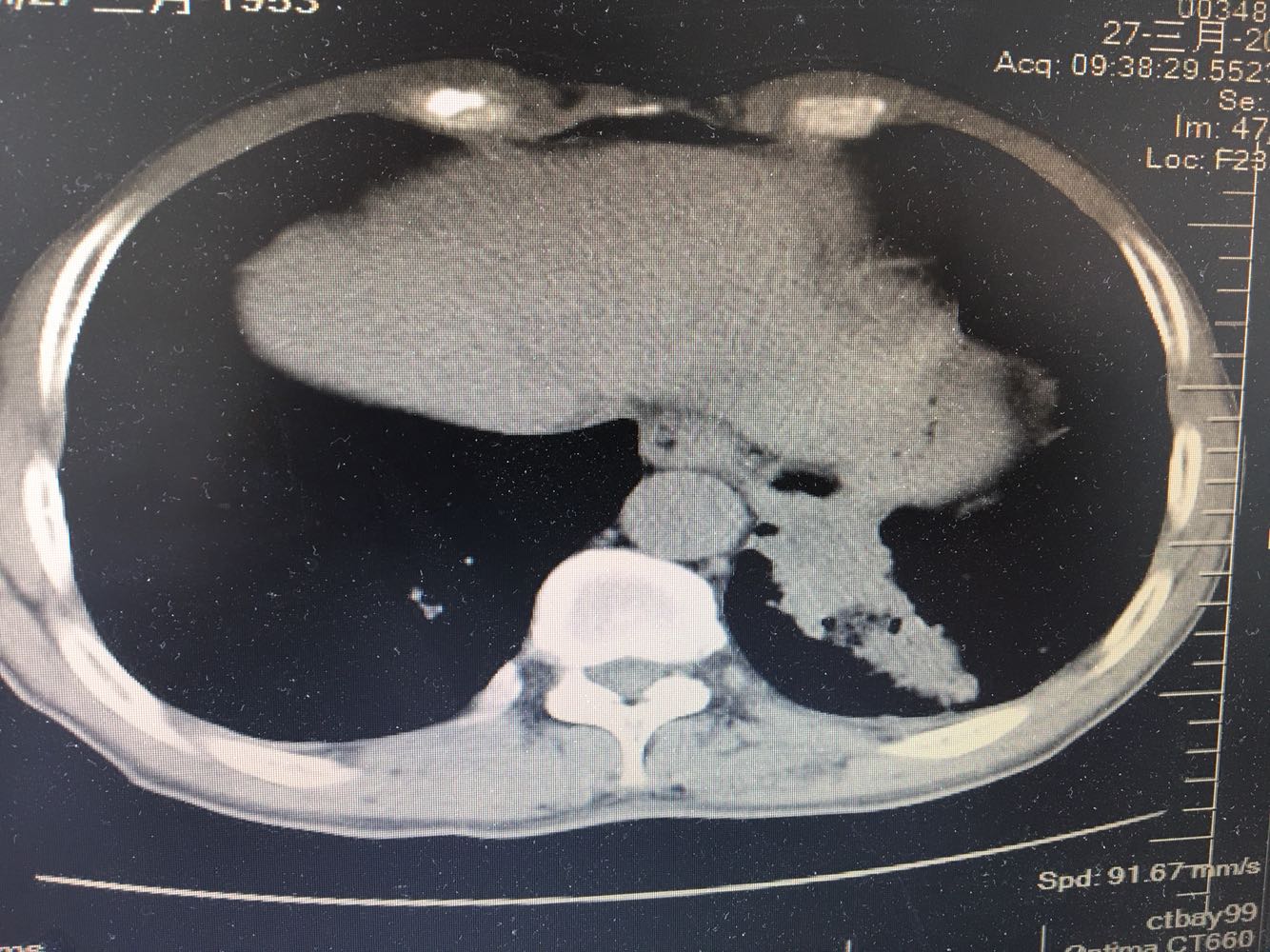
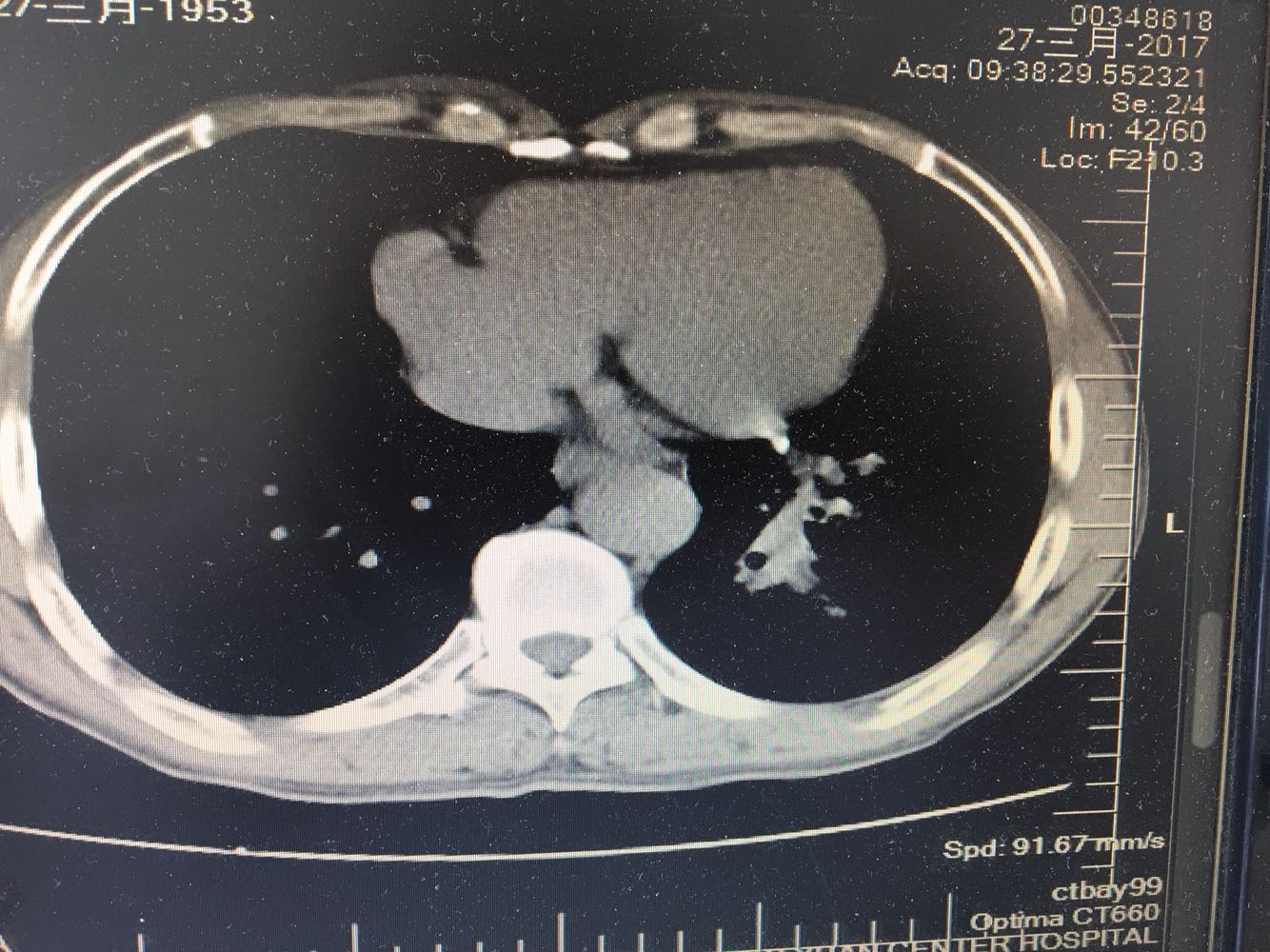
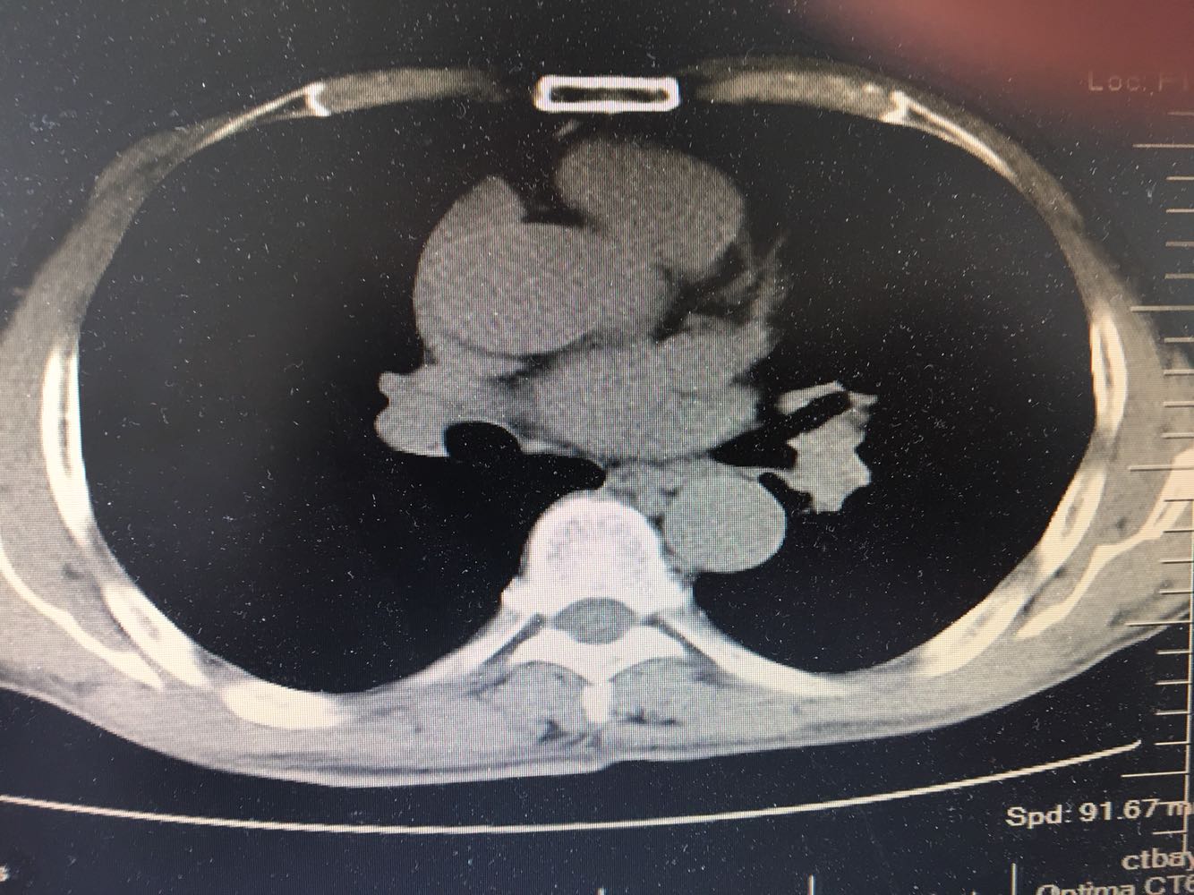
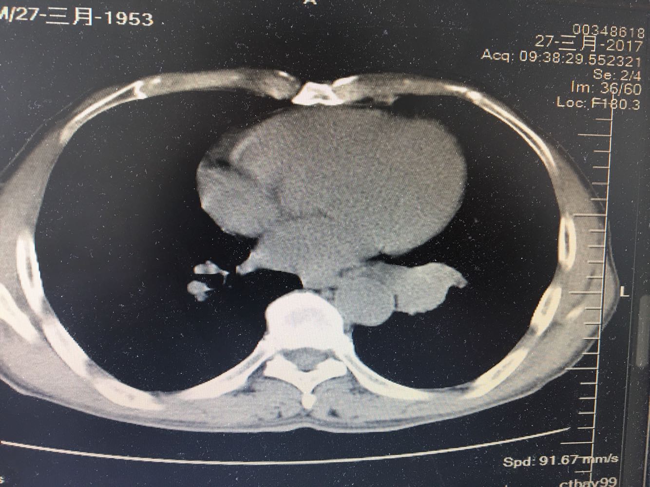
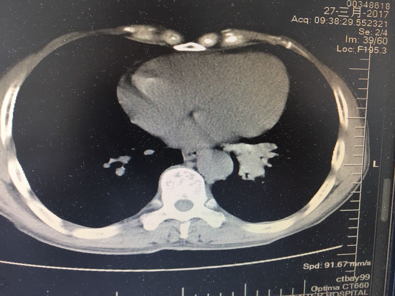
男,63岁,咳嗽1个月入院,患者自述1个月前无诱因咳嗽,阵发性干咳,无痰,时有血丝,无发热,左胸痛,活动后气短,静滴头孢13天无好转,门诊查肺CT后以 肺占位收入我科,病来饮食睡眠可,体重明显下降。既往疝气术后1年,吸烟史30年,每日1包。

查体 辅查

神清言明,双肺呼吸音清,无罗音,服软无压痛,

诊断 处理

左肺癌

随访 讨论

左肺中央型肺癌,是否可以手术,还是化疗,放疗,靶向治疗?

发布于 17-04-02 09:30

21 个评论

发送