打开应用

查体发现肾癌

张医师   费县人民医院
乳头状肾细胞癌

主诉 病史

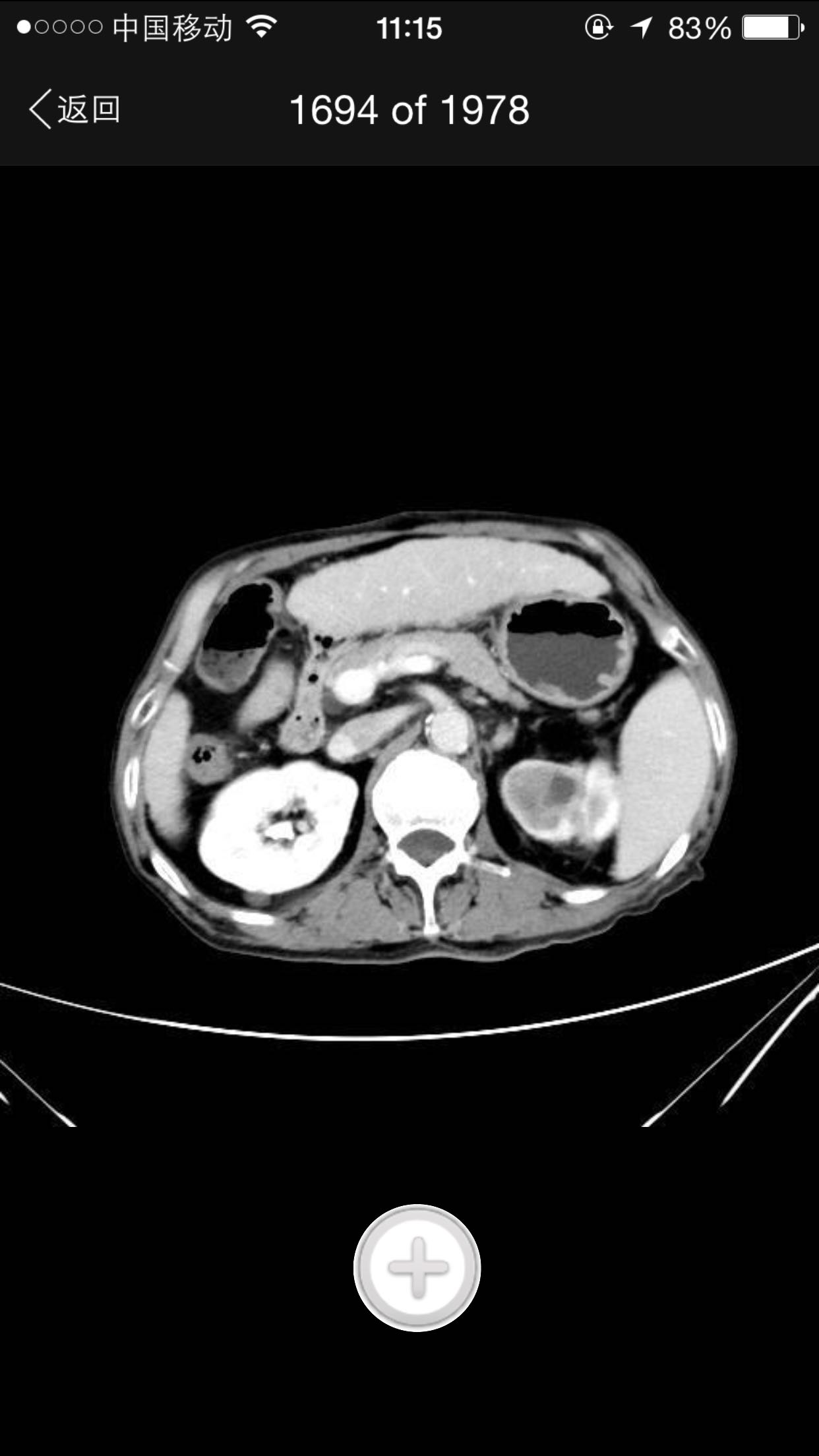
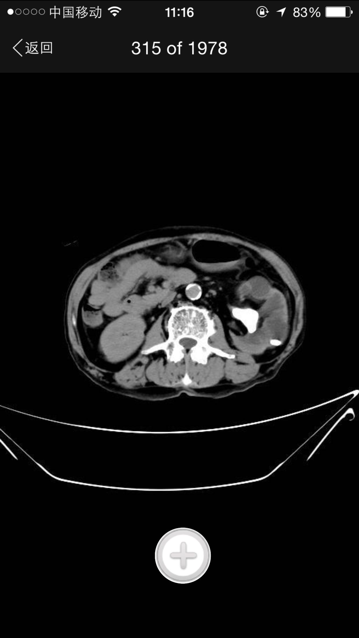
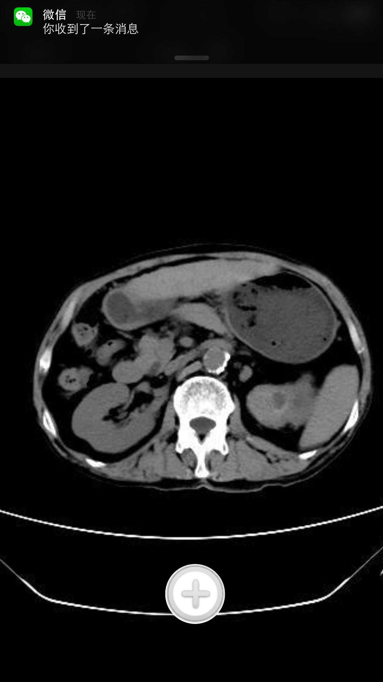
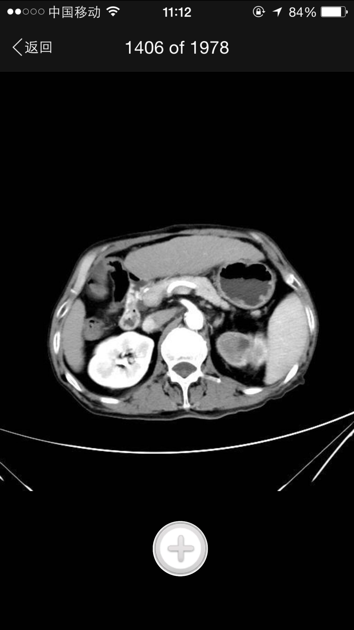
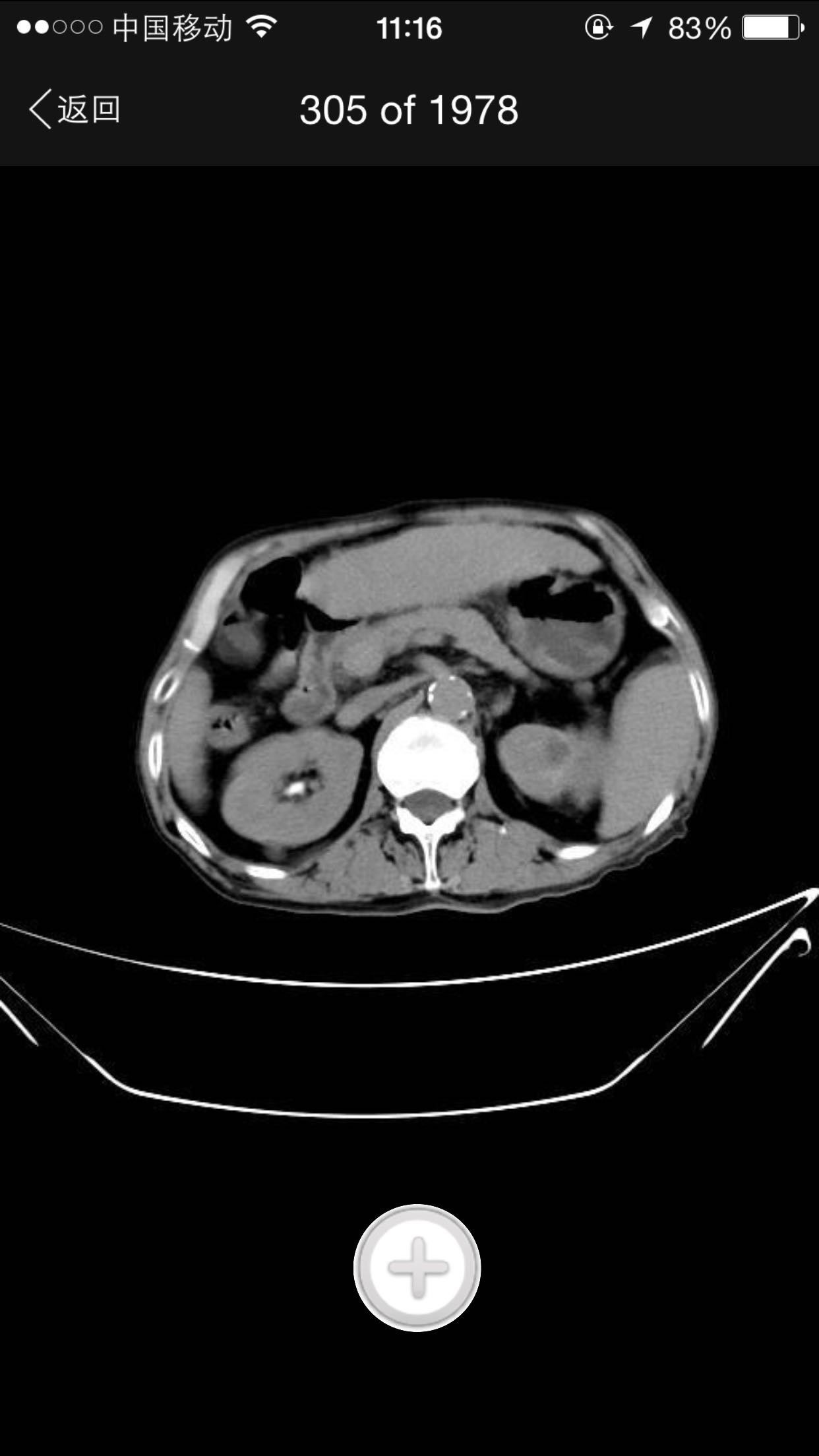
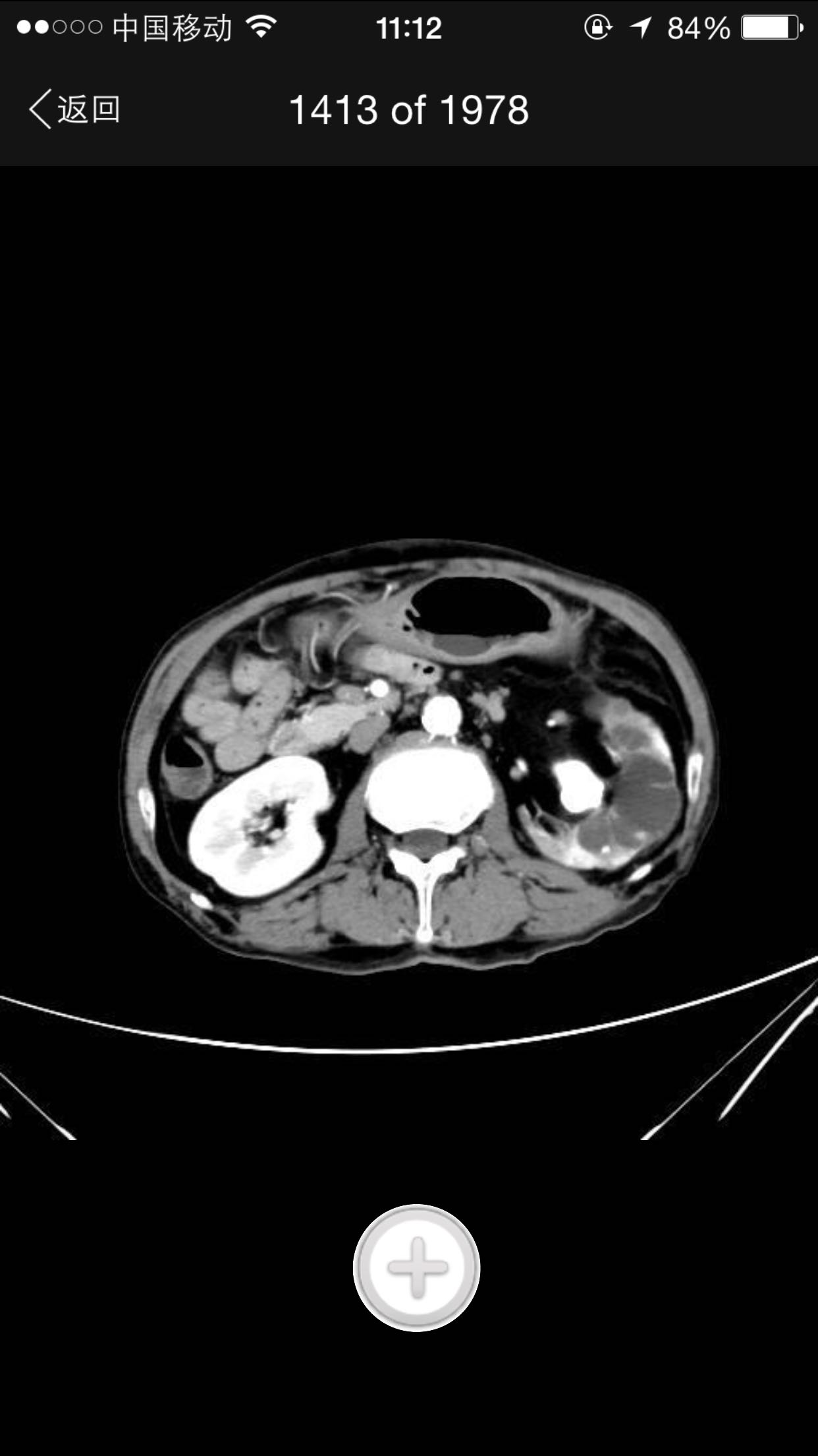
排尿困难,尿潴留入院。诊为前列腺增生症,拟行手术治疗。完善术前检查,泌尿系CT检查发现左肾占位,左肾结石并左肾重度积水,左肾萎缩等。既往患者肺结核病史,服药控制半年余。

查体 辅查

查体:腹平软,无压痛及反跳痛,无肾区叩痛,肛诊前列腺明显增大,中央沟消失,无硬结,无压痛。术前强化CT提示左肾癌。

诊断 处理

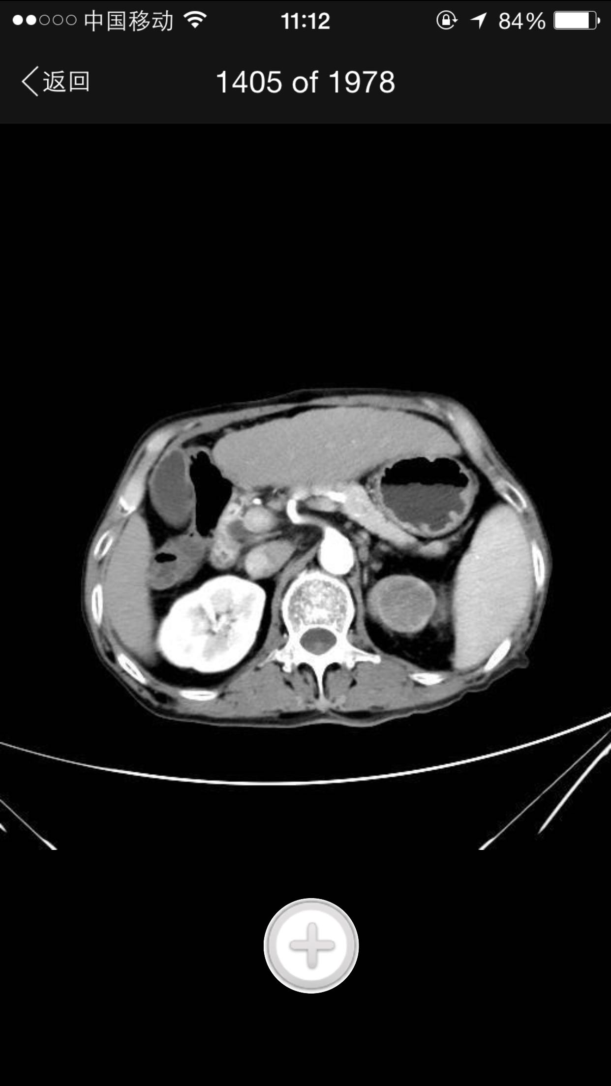
术前诊断:1、左肾癌2、左肾结石3、左肾积水4、左肾萎缩5、前列腺增生6、肺结核 入院后完善检查,拟行TURP,因发现左肾癌,改为先行肾手术。患者左肾癌,同时左肾结石,肾萎缩,决定行根治性肾切除,拟腹腔镜下手术,患者家属不同意,改开放手术,全麻下行根治性左肾切除。术后剖开标本如下图,肿瘤位于肾上极,中间黑色为结石。

术后病理肾乳头状肾细胞癌,侵及肾被膜。

随访 讨论

乳头状肾细胞癌发病率较透明细胞癌低,国内曾有统计为5.8%。

发布于 17-03-22 21:58

2 个评论

发送