打开应用

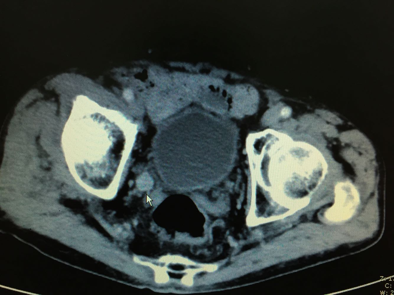
右侧输尿管下段肿瘤

徐医师   成都市第三人民医院
肾盂癌 肾盂癌

主诉 病史

70岁老年男性,无痛全程肉眼血尿1年,右侧腰痛2月。

查体 辅查

右肾区叩痛阳性。 CTU提示右侧输尿管下段肿瘤,右肾积水。 尿脱落细胞提示,查见癌细胞。

诊断 处理

右侧输尿管下段癌,行后腹腔镜下右侧输尿管癌根治性切除术

随访 讨论

输尿管肿瘤在泌尿系肿瘤中,所占比例低,且发病隐蔽,不容易被发现。该患者,反复血尿一年,1年前行CTU 未见异常,尿脱落细胞未见异常,膀胱镜未见输尿管口喷血。曾诊断为前列腺增生伴出血,行前列腺电切后,仍然反复血尿,本次因占位明显被CTU 检出。

发布于 17-03-14 23:02

7 个评论

发送