打开应用

左侧腹膜后占位

徐医师   成都市第三人民医院
腹膜后肿瘤

主诉 病史

60岁,老年女性,左侧腰痛1周入院,查体,左侧腰腹部压痛明显。体表未扪及肿大淋巴结。既往无其他病史。10000666751

查体 辅查

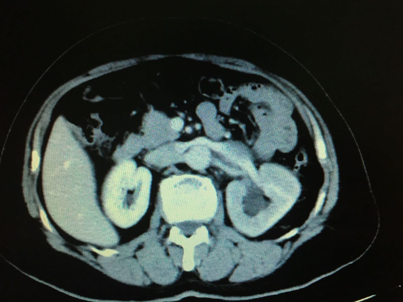
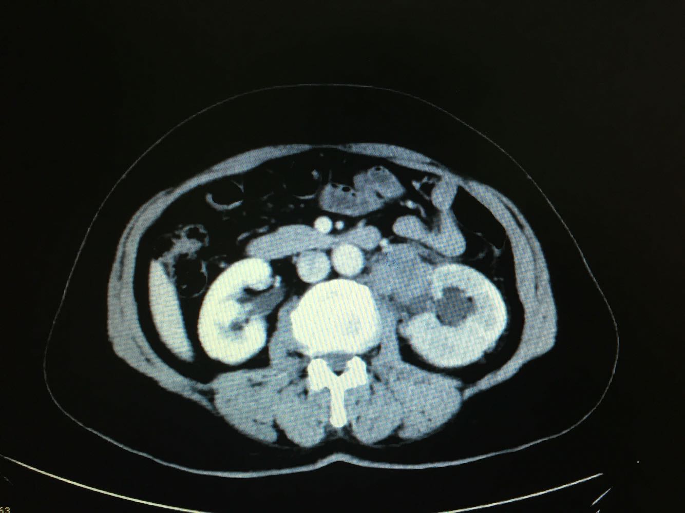
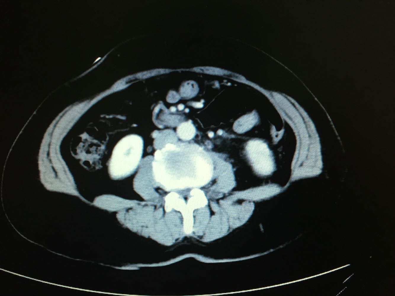
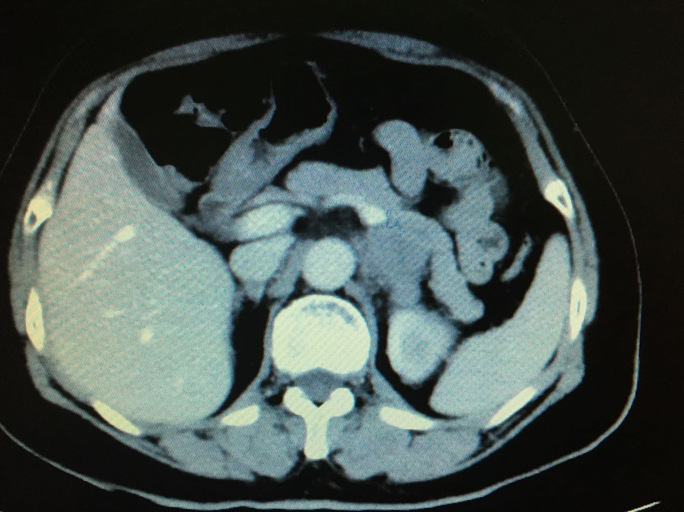
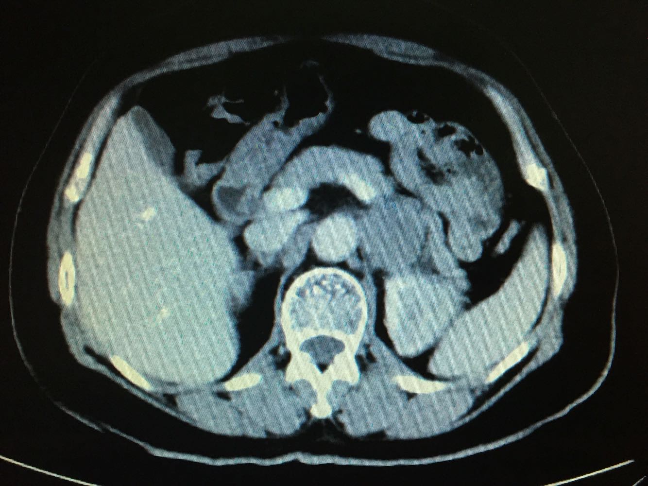
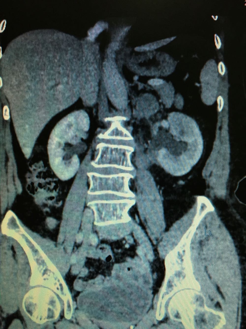
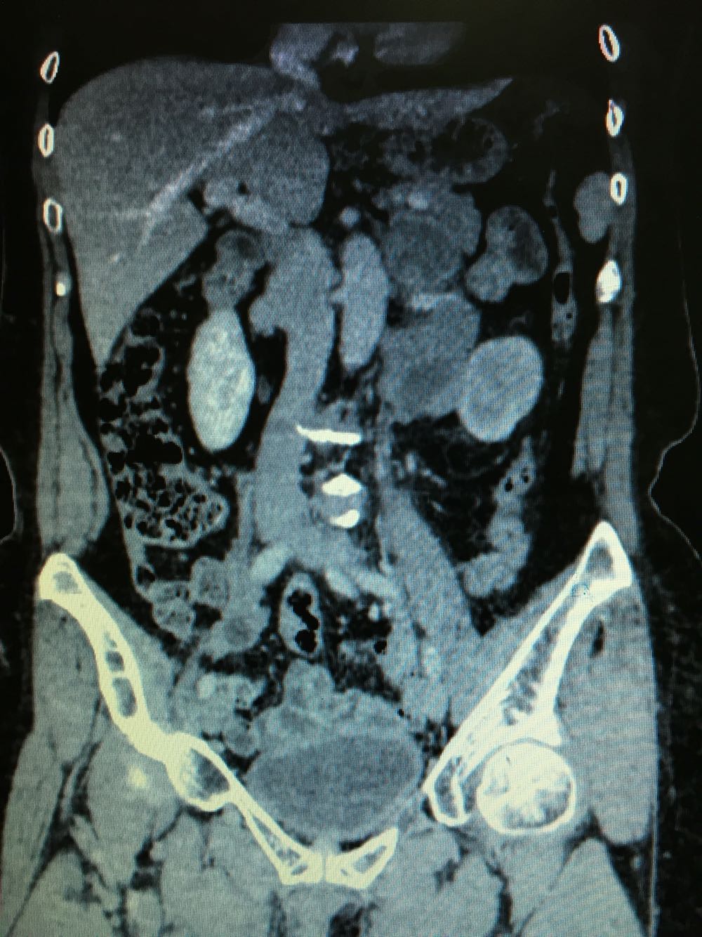
CT提示,左侧肾门处雪人样占位,包裹左肾静脉,左肾积水,与胰腺及左肾关系密切,血常规,肝肾功未见明显异常,GFR左侧27,右侧58。

诊断 处理

诊断,左侧腹膜后占位:淋巴瘤?或者淋巴样增生?,侵犯周围器官组织?

随访 讨论

探讨下一步治疗方案:该肿瘤位置位于肾门,无法穿刺活检,拟行腹腔镜下探查切除。但,肿瘤与周围组织器官关系密切,术中有可能左肾保不住。但,如果是淋巴瘤的话,化疗效果是很好的。术中快速冰冻,根据病例结果制定方案!

发布于 17-03-09 21:57

14 个评论

发送