打开应用

牙槽突下颌骨骨折

焦医师   西安交通大学口腔医院
口腔外伤

主诉 病史

患者奔跑时不慎跌倒至颌面部外伤1小时 患者1小时前奔跑时,跌倒后面部着地,牙齿受伤,有活动性出血,无头疼、恶心、呕吐。未治疗。

查体 辅查

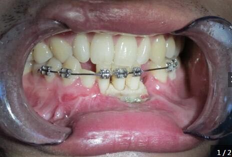
下颌前部可见唇与牙龈的撕裂、肿胀、牙松动,摇动损伤区的牙时,可见邻近数牙及骨折片随之移动,咬合错乱

诊断 处理

下颌骨前部牙槽突骨折,下颌骨骨折 处理:托槽固定下颌牙槽突骨折,坚固固定内固定固定下颌骨骨折

随访 讨论

术后一个月拆除托槽,CT提示下颌骨骨折愈合中

发布于 17-03-09 20:45

32 个评论

发送