打开应用

一例食管平滑肌瘤的影像表现

陈医师   新乡市中心医院
食管平滑肌瘤

主诉 病史

男,48岁 间断返酸2年。 2年前,患者无诱因出现间断返酸,烧心不适,无吞咽困难,恶心,呕吐,呕血,黑便等。口服奥美拉唑治疗,效果不佳。遂入院。 既往高血压病史7年。

查体 辅查

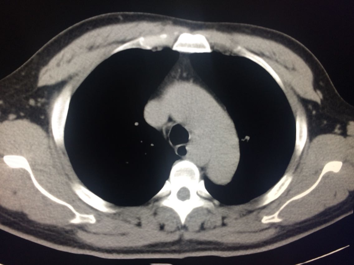
入院后做上消化道造影及CT如图。 门诊胃镜提示距门齿26cm处见食管左壁分叶状粘膜下肿物,表面光滑。

诊断 处理

考虑食管平滑肌瘤。 手术治疗。

随访 讨论

讨论诊断方法及鉴别诊断? 与上一个食管囊肿病例的鉴别诊断?

发布于 17-02-26 22:40

9 个评论

发送