打开应用

支气管扩张伴咯血

王医师   上海市虹口区江湾医院
支气管扩张伴咯血

主诉 病史

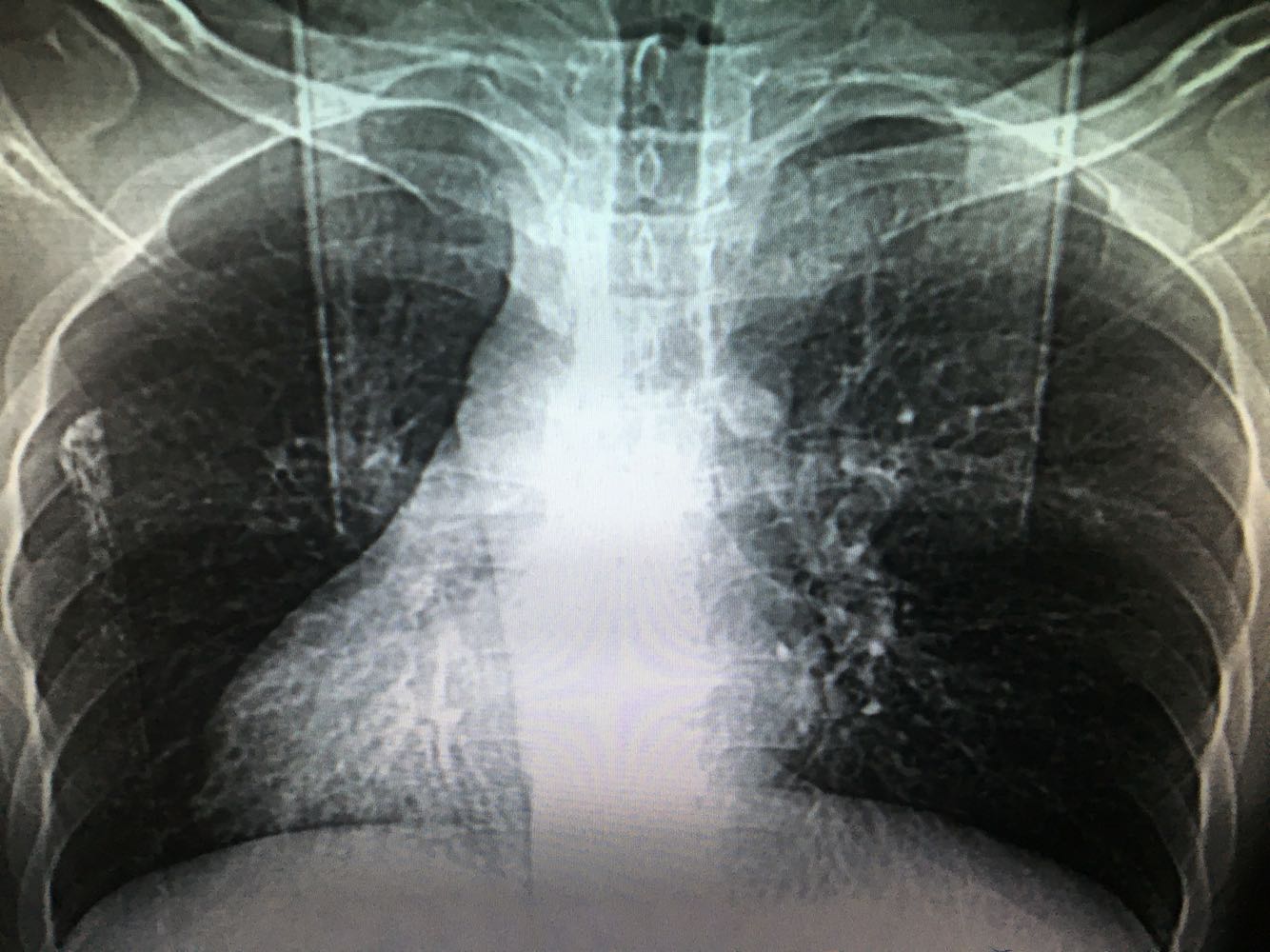
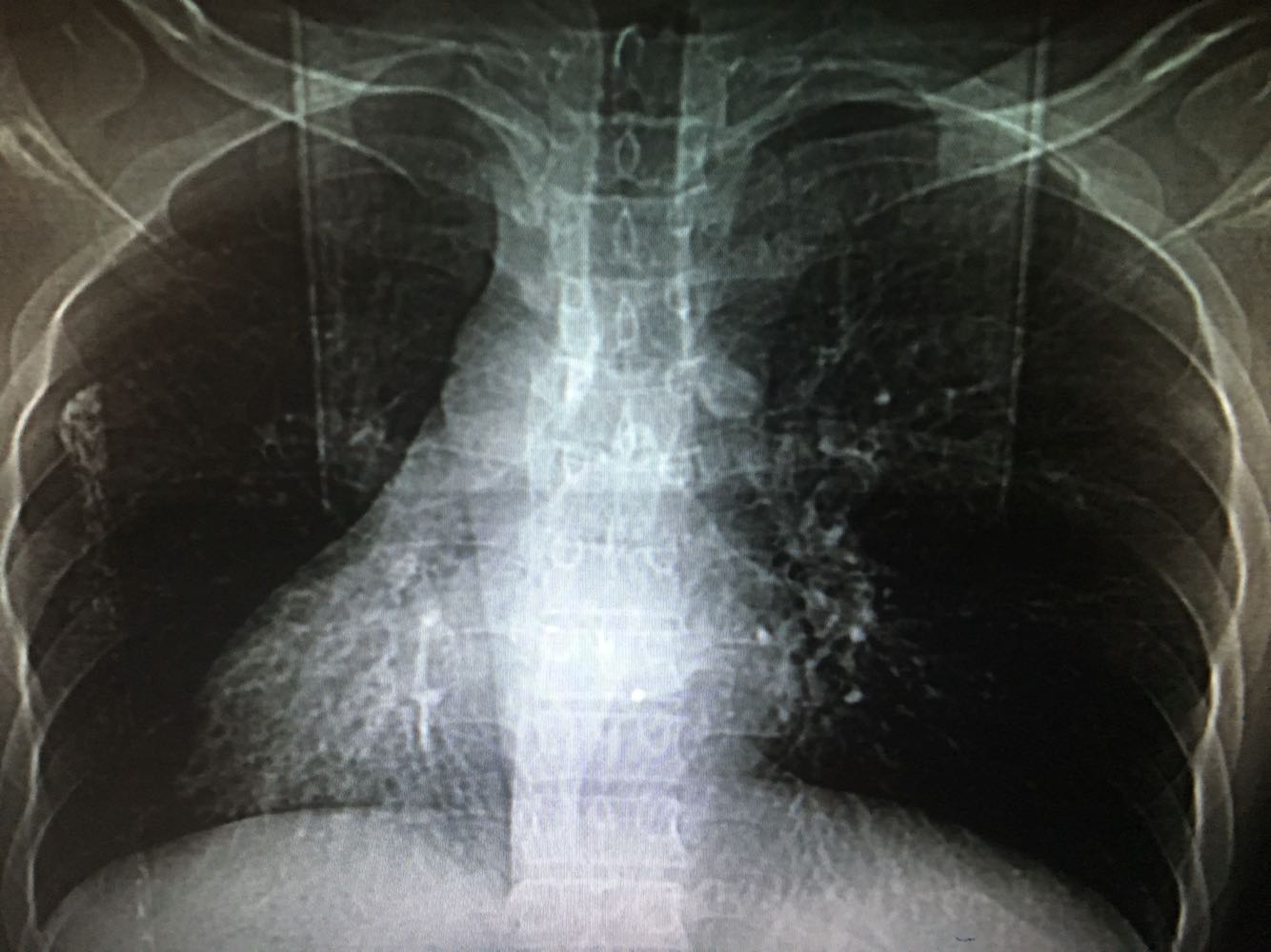
1、患者,男,33岁                                  2、主诉:咯血2天 3、现病史:患者2天前体力后出现咯血,色泽鲜红,量约100ml,无异味及异物,无胸闷气促、无头晕乏力、无腹痛腹泻、无黑曚晕厥等不适,就诊外院,查BP:130/85mmHg,血常规WBC 8.09*10^9/L,N%64.7%,HB147g/L,PLT180*10^9/L。胸部CT:两肺下叶及左肺上叶舌段支气管扩张。未予特殊处理,嘱休息随访,患者回家2小时后再次出现上述症状,呕吐鲜红色血伴血块,遂就诊我院,为求进一步诊疗,收治入院。 4、既往史:既往有支气管扩张、右位心、慢性鼻炎病史,否认高血压、糖尿病,否认乙肝结核等传染病史,否认食物、药物过敏史

查体 辅查

查体:神清,精神可,T36.8℃,BP:130/85mmHg,对答切题,双侧瞳孔等大等圆,直径3mm,对光反射存在,皮肤及巩膜无黄染,无贫血貌,浅表淋巴结未及肿大,颈软,气管居中,双肺呼吸音清,可闻及湿罗音,心率80次/分,律齐,无杂音,腹平软,无压痛,无反跳痛及肌紧张,肝脾肋下未及,未见明显胃肠型蠕动波,肠鸣4次/分,未及明显肿块,肝肾叩击痛(-),移动性浊音阴性,双下肢无水肿,神经系统检查(-)

诊断 处理

诊断:支气管扩张咯血,右位心,慢性鼻炎                                                              治疗:入院后完善检查,予抗感染,保肝,护胃,止血、化痰、补液等对症支持治疗。

随访 讨论

讨论:支扩的治疗包括几部分:①抗生素治疗感染;②治疗引起支扩的合并症如鼻窦炎;③对症治疗如咯血、大量脓痰;④特殊原因,如免疫缺陷、先天性遗传病所致支扩,如原来病因无法纠正,只有用一般胸内科治疗;⑤呼吸训练及理疗,以改善生活质量及劳动能力;⑥手术切除或肺移植。

发布于 17-02-19 07:28

20 个评论

发送