打开应用

踝部闭合性骨折

杜医师   上海市第六人民医院金山分院
踝骨折

主诉 病史

患者,男,54岁。 主诉:外伤致右踝疼痛伴活动受限2天 现病史:患者于2天前不慎扭伤致右踝疼痛,伴活动受限,否认头晕头痛、恶心呕吐等不适,就近医院就诊,查X片示:右踝骨折,予石膏外固定,现为进一步诊治收治入院,发病以来,神清,精神可,胃纳夜眠可,二便无殊,体重无明显变化。

查体 辅查

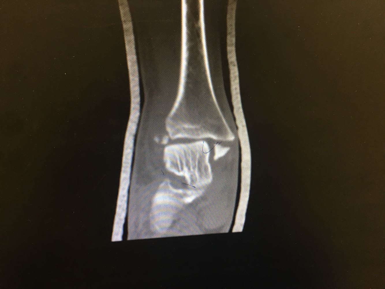
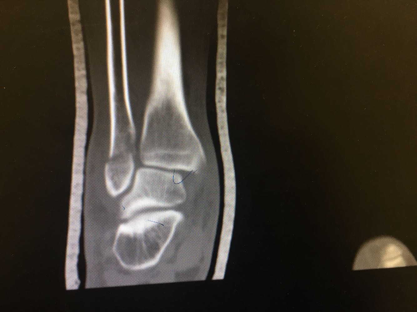
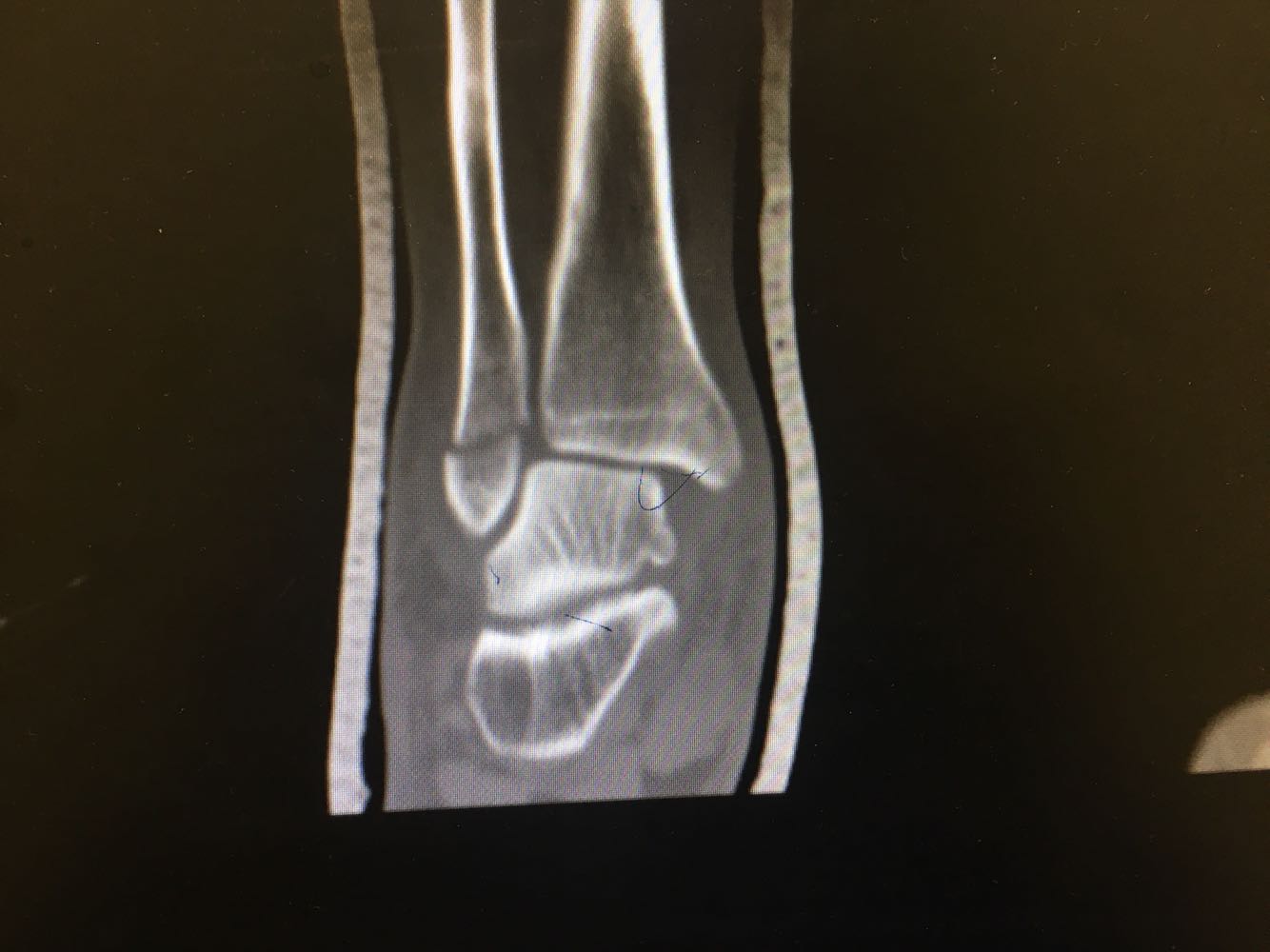
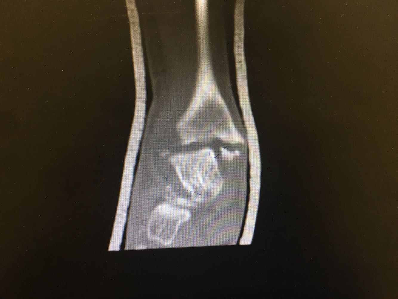
查体:右踝压痛,活动受限,无淤斑淤点,未见皮肤破损,足趾感觉及运动良好。 辅检:右踝部CT

诊断 处理

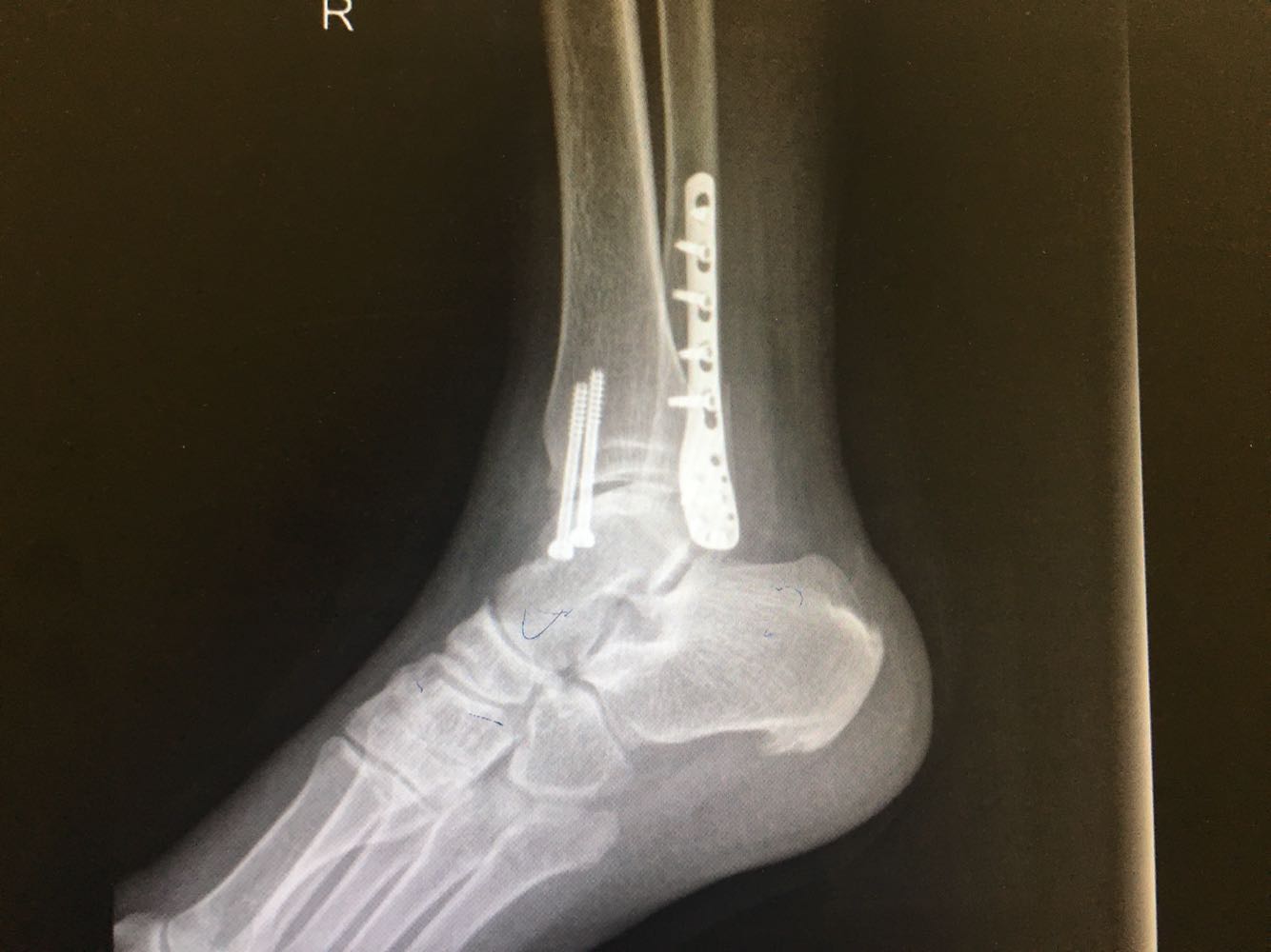
诊断:右侧踝部闭合性骨折 治疗:完善术前检查后行手术内固定

随访 讨论

注意术后随访

发布于 17-02-14 22:09

35 个评论

发送