打开应用

前牙外伤后根尖囊肿的治疗

焦医师   西安交通大学口腔医院
根尖囊肿

主诉 病史

患者性别:男 患者年龄:15岁 患者病史:前牙外伤数年,曾于外院行根管治疗,效果不佳。 患者症状:患者上前牙疼痛数月。

查体 辅查

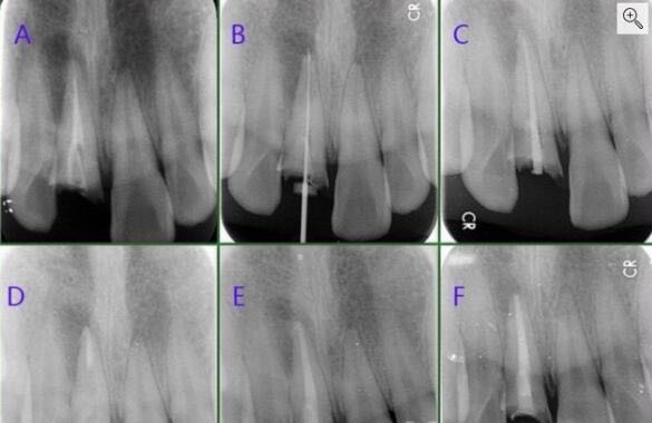
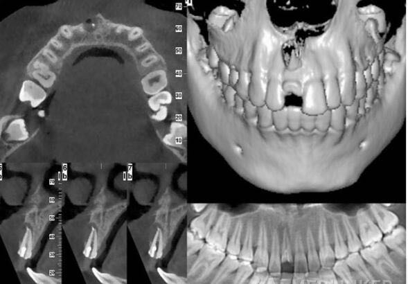
检查及结果:11残根,周围牙龈红肿,探(-),叩(++),冷热诊(-),松(0度) 辅助检查:X线示11根尖暗影较大,根管内见充填物 CT示11根尖唇侧骨板吸收,报告11根尖囊肿

诊断 处理

诊断:11根尖囊肿 治疗方案:11试行根管再治疗+根尖手术 治疗过程:橡皮帐隔湿,显微镜下去除11根管内充填物,镍钛器械预备至F3,根管消毒。试尖发现11根管粗大,MTA充填根管下段4.5mm,6小时后热牙胶充填根管上段后行根尖手术,待患者伤口愈合后,制作临时修复体改善患者美观。嘱定期复查,3个 月后11根尖暗影明显减小,

随访 讨论

嘱患者6个月后继续复查,成年后冠修复

发布于 17-02-10 20:36

17 个评论

发送