打开应用

嵌体修复

焦医师   西安交通大学口腔医院
口腔美学修复

主诉 病史

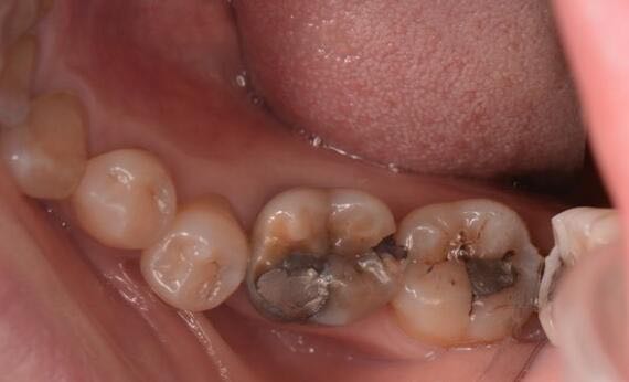
患者女性,自诉左下后牙咀嚼不适一个多月,食物嵌塞,来诊求治

查体 辅查

检查:36远中临合洞,he面银汞充填物,X光见髓腔内有高密度影像,干髓术后,根尖无骨密度减低区

诊断 处理

36牙中龋 36牙嵌体修复

随访 讨论

术后形态恢复好,患者满意。

发布于 17-01-16 21:44

11 个评论

发送