打开应用

2017第一个病例

张医师   亳州市谯城区十八里镇卫生院
消化不良 白细胞增高

主诉 病史

患者男,60岁,因左侧腹部痉挛性中等疼痛就诊。疼痛是持续的,活动时加剧,平卧时缓解。患者无厌食症,前日夜晚起即未进食。 患者有过几次黄褐色稀便,但否认任何恶心或呕吐。大便中无血丝,未出现柏油样便。否认近期旅行和野营史,否认近期进食生冷食物。自述感觉发热,出汗,疲劳。无泌尿系统症状,如排尿困难或频率增加。无患者接触史。 患者否认过去曾有过类似经历。虽然3年前进行过钡灌肠检查,他的医学和外科病史无异常。否认吸烟史,饮酒史。就诊前未服用任何处方药或非处方药

查体 辅查

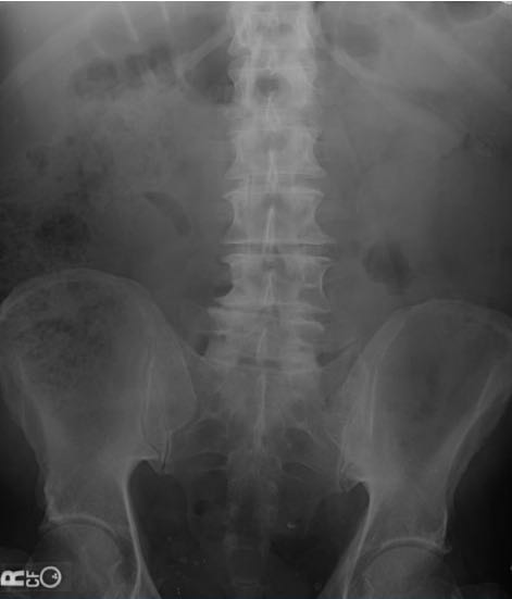
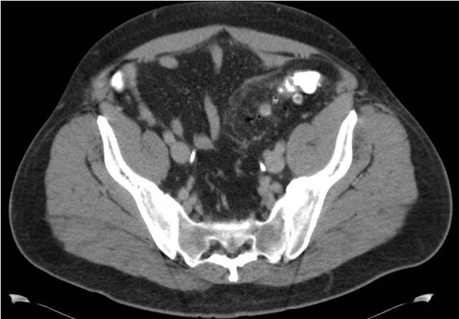
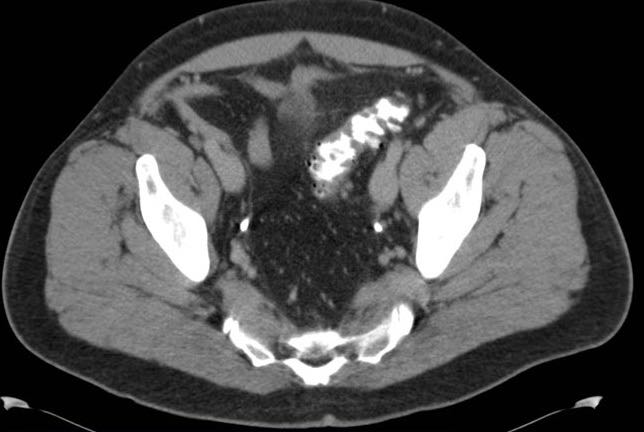
体格检查,体温升高到39.4℃,血压130/76mmHg,脉搏110次/分,呼吸20次/分,非急性窘迫,但有轻微的出汗。口咽清晰,有粘膜干燥。肺部听诊清音,心率正常,无杂音。 腹部检查显示左下象限中度压痛,有腹壁紧张。无反跳痛。无脊肋角压痛,未见腹股沟疝,生殖器检查结果均正常。直肠指诊,左侧直肠穹隆柔软,愈创木脂阴性。其余体检结果无异常。 血清实验室检测仅白细胞升高,为16×103/µL,其中中性粒细胞显著,尿检无异常。标准拍摄腹部平片,未见任何明显异常。后进行腹部和骨盆的CT

诊断 处理

由于全身体征和感染症状,这名患者住院治疗。给予进食,肠道休息,并开始静脉注射甲硝唑和环丙沙星。在接下来的2天里,患者体温恢复,白细胞增高现象解决。饮食过渡为普通饮食,出院带药给予为期10天的阿莫西林/克拉维酸。

随访 讨论

急性憩室炎由继发于粪便梗阻的憩室发炎引起。梗阻通常发生在憩室颈部;凝固的粪便,通常形成粪石,损伤黏憩室颈部哪内外黏膜。 在无并发症的情况下(典型的是患者没有出现腹膜炎及全身症状),炎症过程局限于结肠壁;然而,梗阻,随着憩室腔内高压,可以导致微小穿孔,反过来引起细菌通过结肠壁移位,脓肿形成,弥漫性腹膜炎。

发布于 17-01-01 10:27

3 个评论

发送