下载或打开 医联APP 查看完整评论
立即下载
打开APP
打开应用
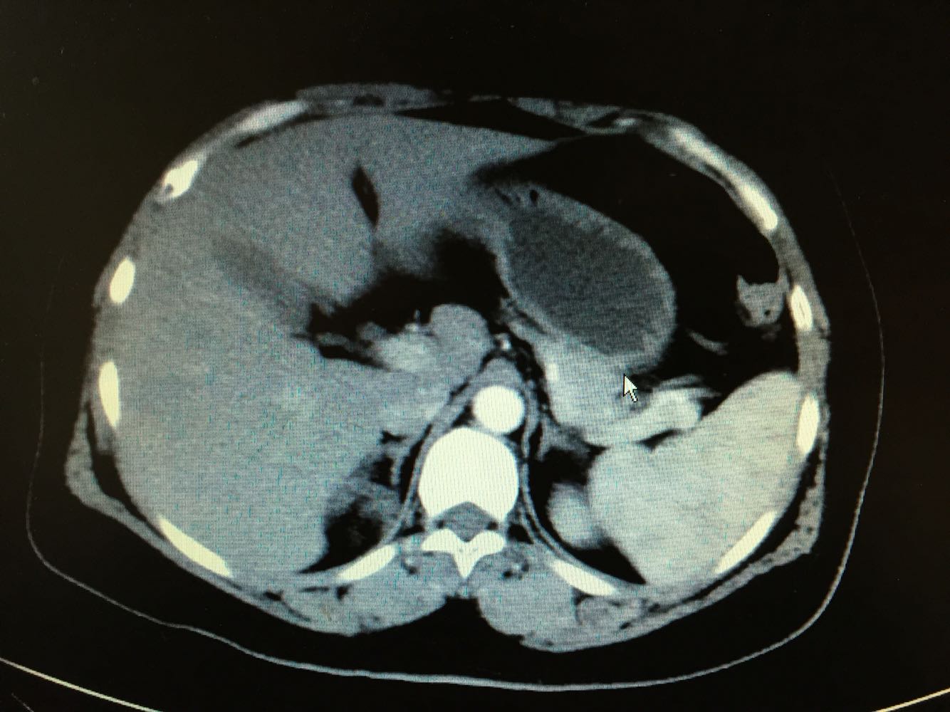
右侧肾上腺髓样脂肪瘤
徐医师
成都市第三人民医院
脂肪瘤
主诉 病史
体检发现右侧肾上腺占位
查体 辅查
CT提示右侧肾上腺占位
诊断 处理
右侧肾上腺髓样脂肪瘤
随访 讨论
行腹腔镜下右侧肾上腺占位切除术。 一般为无功能肾上腺腺瘤。
发布于 16-12-28 23:57
医联推荐你看
肾上腺髓样脂肪瘤
双侧巨大肾上腺髓性脂肪瘤
共
6
个评论
查看更多评论
发送
0