打开应用

肺动脉高压一例

陈医师   新乡市中心医院
肺动脉高压

主诉 病史

胸闷胸痛2天。 2天前,无明显诱因出现胸闷胸痛,伴出汗,头晕,咳嗽咳痰。在家自服药物,不详,效果差,遂来诊。

查体 辅查

听诊三尖瓣区可闻及收缩期杂音。 心率188次/分,律不齐。

诊断 处理

凝血四项和D二聚体都在正常范围。

随访 讨论

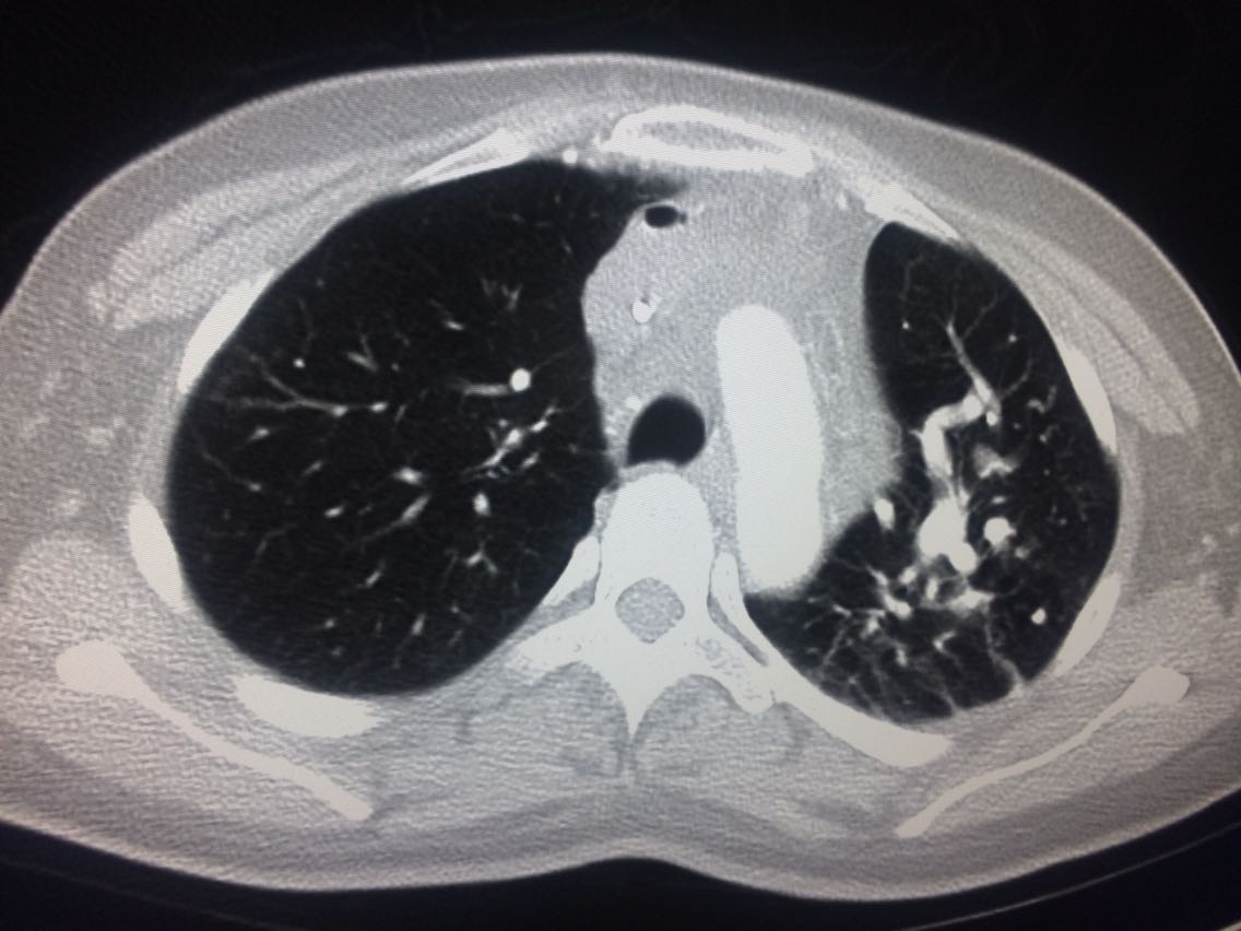
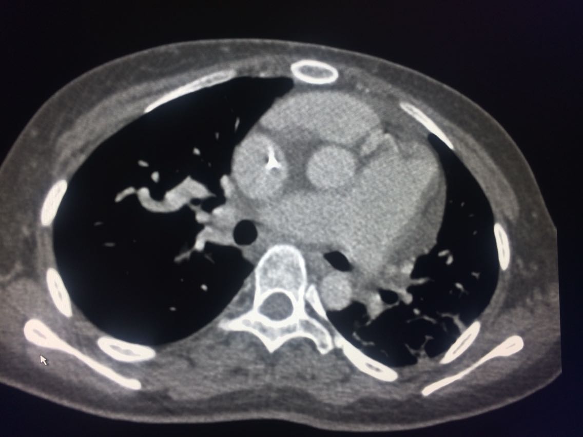
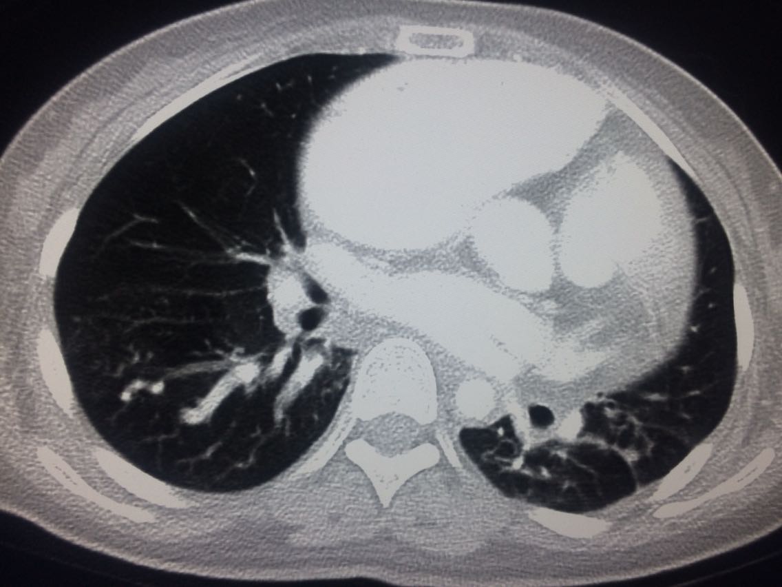
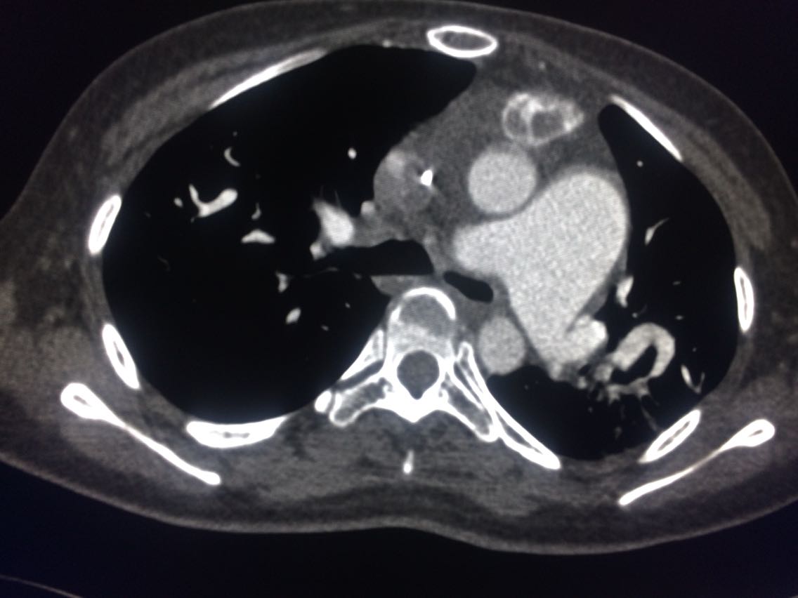
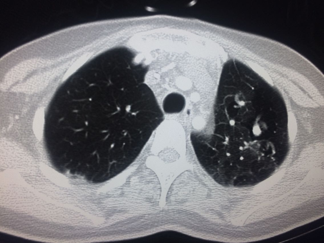
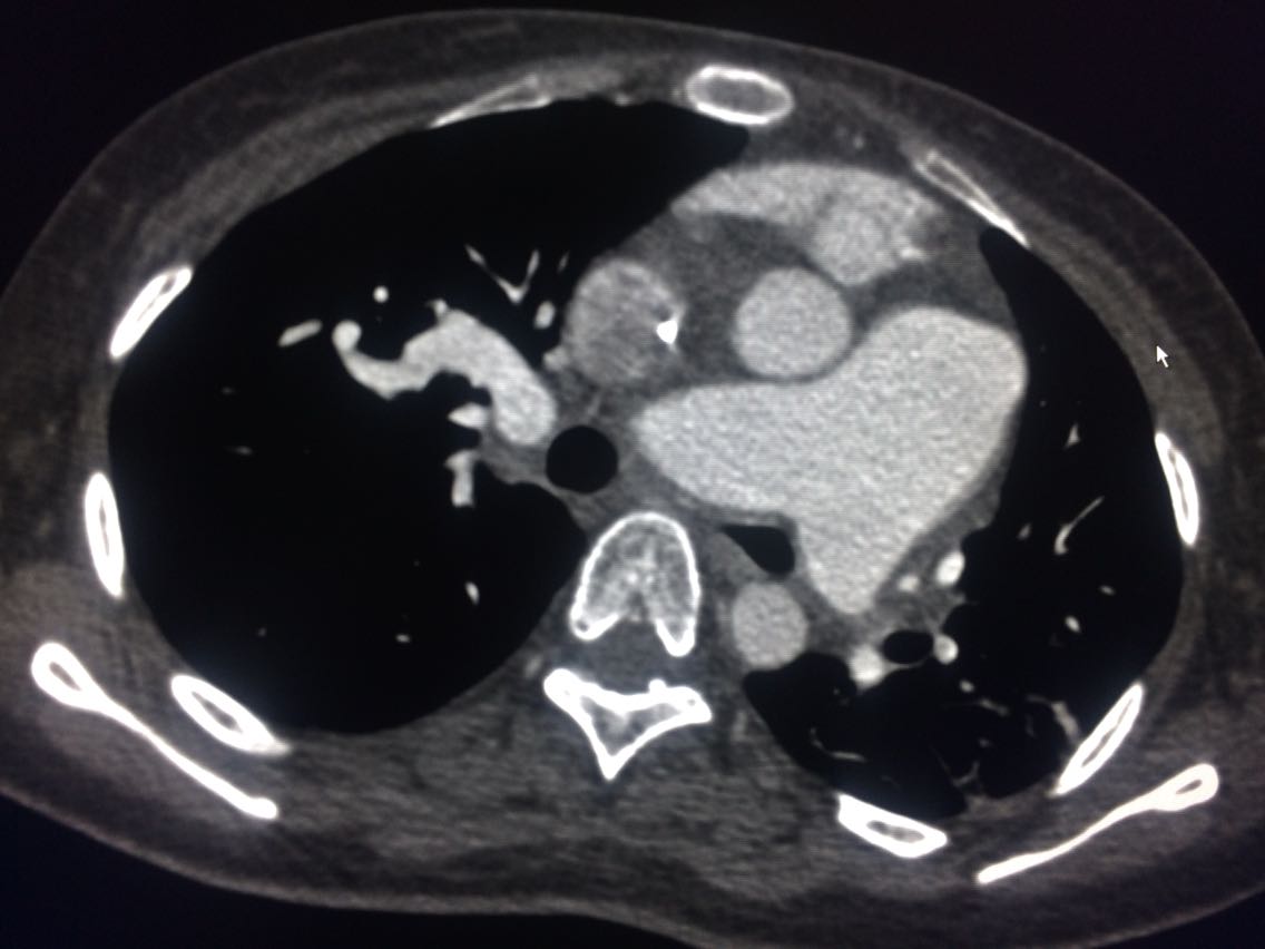
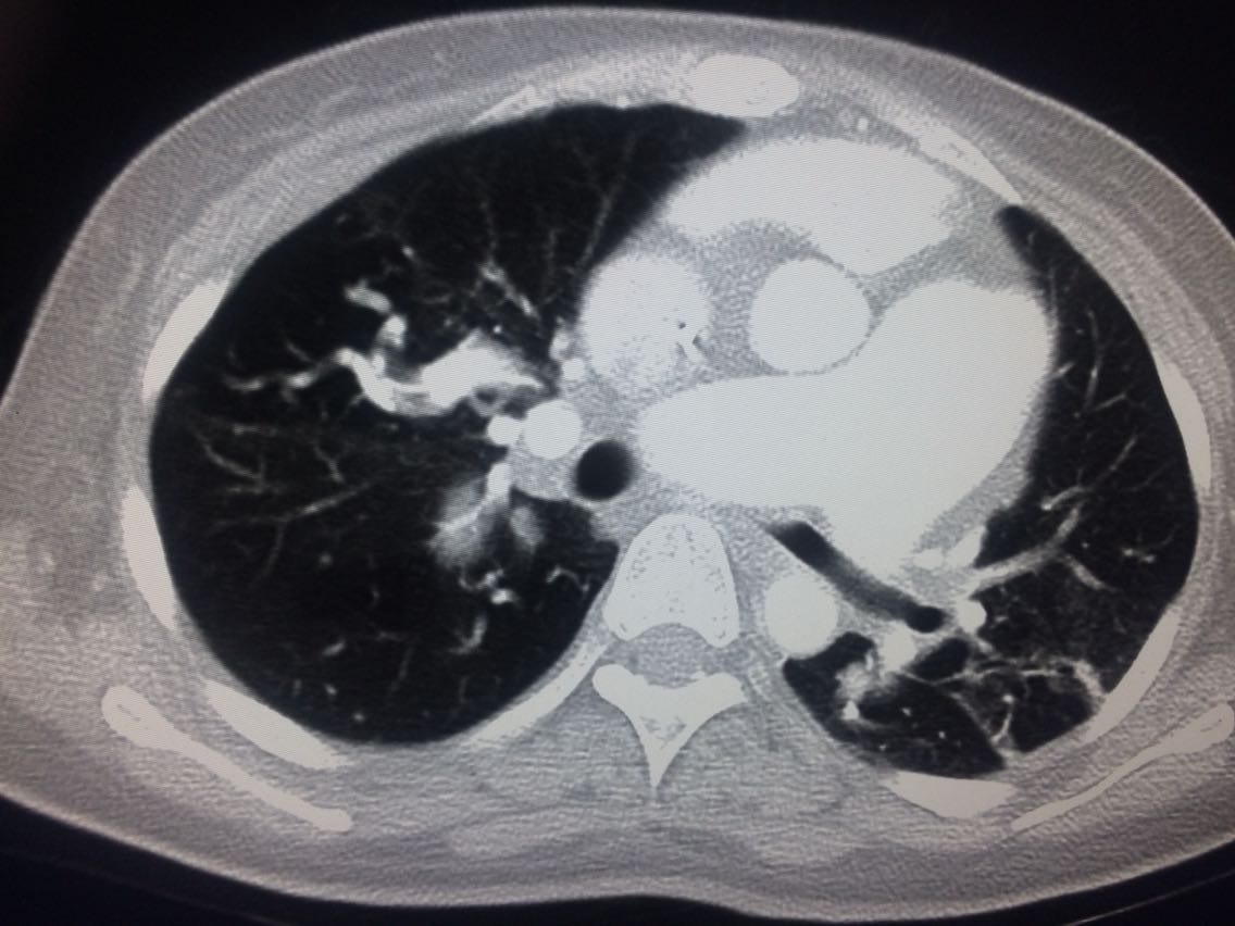
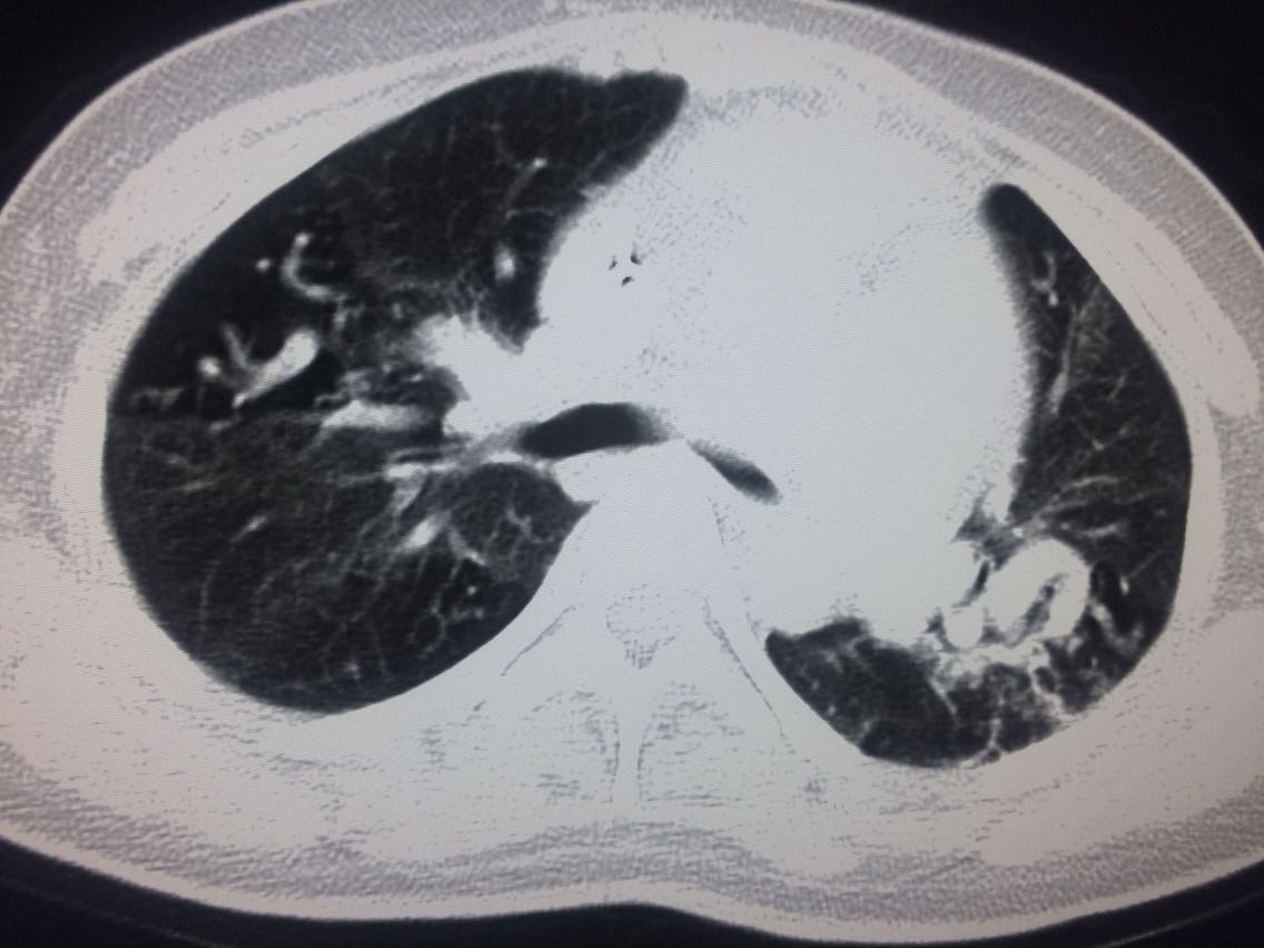
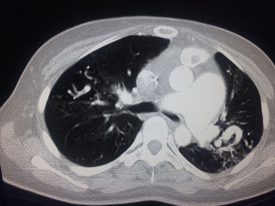
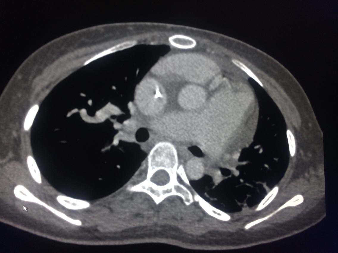
诊断,肺动脉高压。 鉴别诊断,肺动脉栓塞。 影像诊断,肺动脉高压,肺门区出现残根征,肺动脉扩张,肺动脉段膨隆,心影增大。CTA见迂曲增宽的肺动脉。 肺栓塞,影像可见典型充型缺损影,伴随肺纹理的减少。 治疗以对症处理为主,病人病史14年。 讨论诊断和鉴别诊断? 随访,症状好转。

发布于 16-12-21 21:57

7 个评论

发送