打开应用

右上后牙s形弯曲根管治疗一例

李医师   瑞泰口腔医院(成都)

主诉 病史

右上后牙冷热痛夜间痛两日

查体 辅查

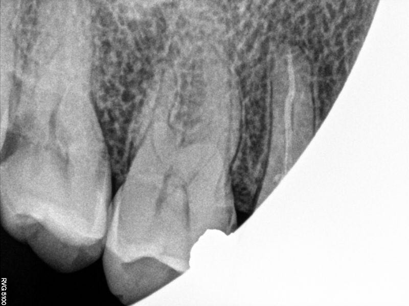
17牙冷++,叩-,松-,远中面探及龋坏及穿髓孔,x线片根尖未见明显暗影

诊断 处理

行17牙根管治疗

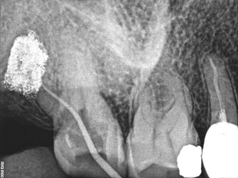
插针片可见远颊根s型弯曲

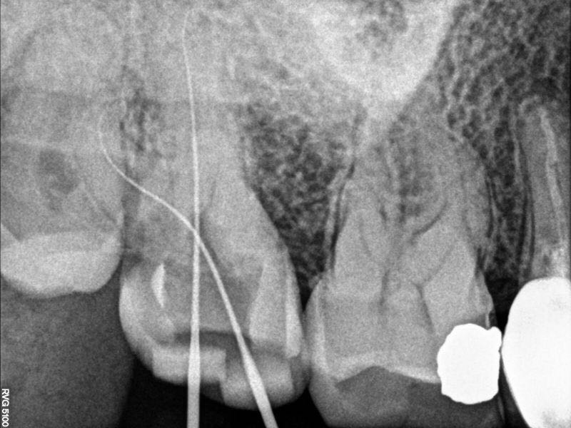
示踪片

根充片

随访 讨论

面对重度弯曲的根管,手用器械有时根本下不去,本病例运用手用锉疏通至10#换pathfile锉,之后用PROTAPER NEXT备根管,镍钛器械最大的优势就是能尽量保证根管形态,不易将弯根拉直及形成台阶,提高工作效率

发布于 16-11-19 09:35

11 个评论

发送