打开应用

髓腔内髓石一例

李医师   瑞泰口腔医院(成都)

主诉 病史

右上后牙自发痛,冷热痛一天

查体 辅查

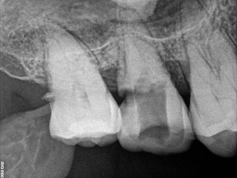
17牙冷++,叩+-,远中探及龋坏,x线片远中大面积龋坏近髓腔,根尖未见明显暗影,髓腔内大面积钙化影像

诊断 处理

行17牙局麻下开髓失活,两周复诊,去封后见髓腔内大块髓石,p5超声去除大块髓石,根管口完全堵塞,继续去除髓石致近中壁侧穿

行近中壁侧穿修补,之后在显微镜下ET20暴露根管口,三根,均行疏通,扩锉根充

随访 讨论

此病例,最大的难点就是髓石堵住根管口,导致根管异常难以进入,显微镜在复杂根管治疗这方面确实非常优秀。另外这个病例会侧穿主要还是太大意了,以为用了超声就万事大吉,慎之慎之

发布于 16-11-18 17:07

9 个评论

发送