打开应用

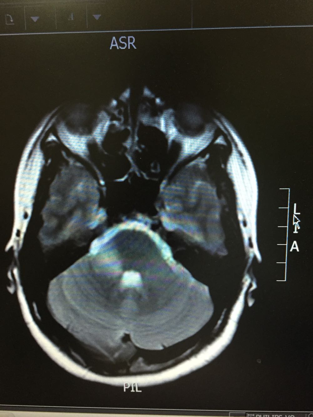
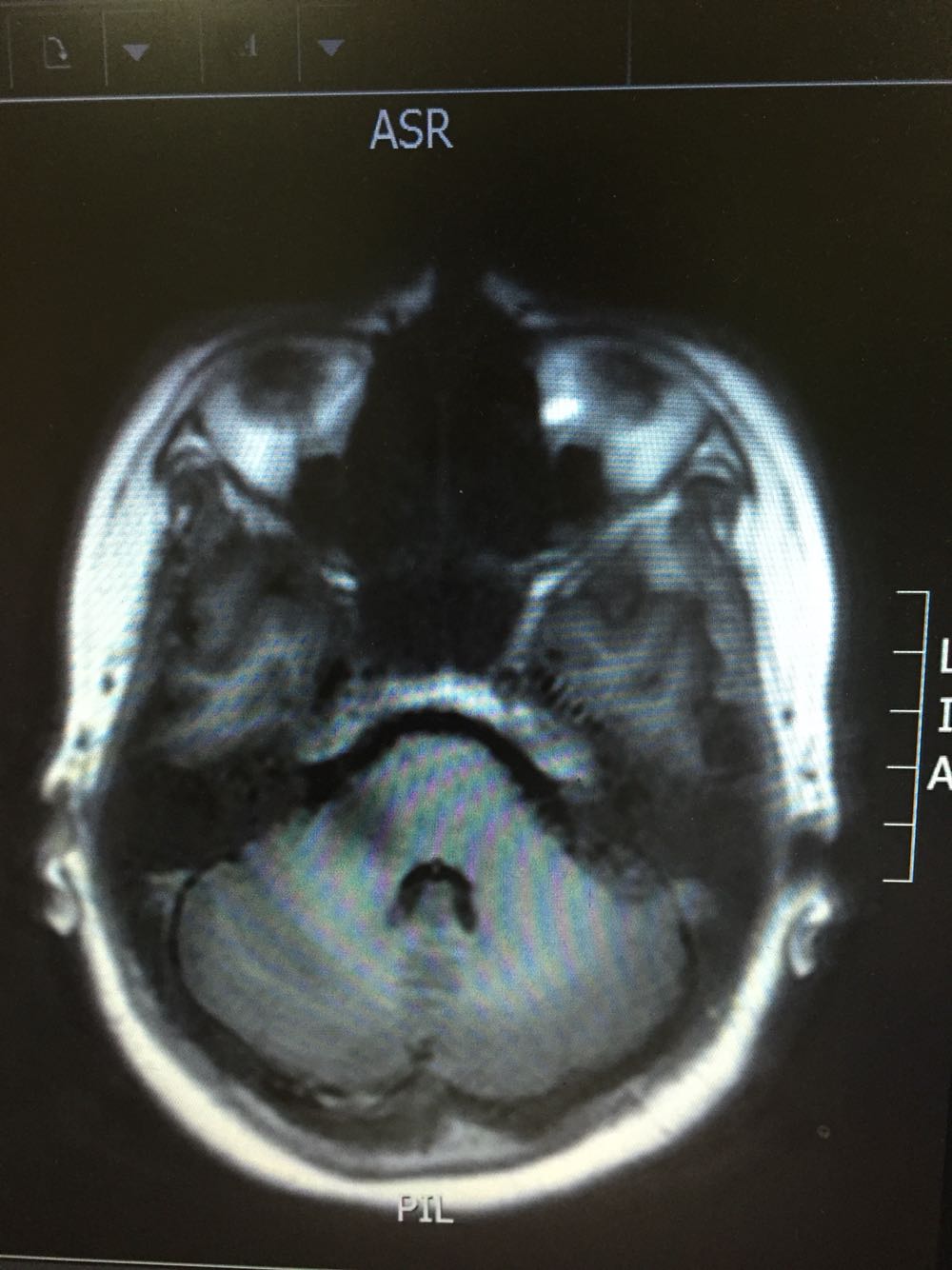
桥脑脱髓鞘病变?

马医师   哈尔滨医科大学附属第四医院
脱髓鞘病

主诉 病史

女,35岁,因“右侧肢体无力伴语笨9日”由门诊收入病房。病例特点:1.既往史:青年女患,既往否认高血压病史,否认糖尿病及冠心病史,否认药物、食物过敏史。2.现病史:该患者于入院前9日始出现右侧肢体无力,伴语笨,伴有恶心、呕吐,不伴有头痛,偶有头晕,不伴有尿便障碍,不伴有抽搐发作,为求进一步诊治而来我院。

查体 辅查

查体:体温:36。5℃,脉搏:70次/分,呼吸:18次/分,血压:121/79mmHg,神志清楚,言语流利,查体合作,双侧瞳孔等大同圆,对光反射存在,双眼活动自如,鼻唇沟对称,伸舌居中,右侧肢体肌力4级,肌张力正常,腱反射对称,双侧感觉对称,右下肢Babinski征(+)、Chaddock征(+)、颈强(-),克氏征(-)。 脑脊液免疫球蛋白A0.003g/L 抗酸杆菌、墨汁染色阴性,余脑脊液化验未见异常。脑脊液外观无色透明

诊断 处理

桥脑脱髓鞘病变可能性大甲强龙冲击治疗

随访 讨论

初始考虑青年脑梗死待磁共振增强回报后考虑能否占位可能脑功能成像及脑脊液结果回报后考虑桥脑脱髓鞘病变可能性大,给予甲强龙冲击治疗,冲击治疗后患者症状逐渐好转,右侧肢体肌力出院时5-级。

发布于 16-10-30 22:52

2 个评论

发送