下载或打开 医联APP 查看完整评论
立即下载
打开APP
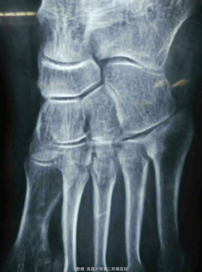
外伤致左足肿痛,活动受限6小时 患者老年女性,因外伤砸中左足,致左足出现明显肿痛,伤后当即出现左足活动受限,患者伤后急诊入我院就诊行左足正斜位片提示左侧跖骨骨折,随后收入住院进一步治疗。
查体:左足肿胀明显,局部皮肤可见明显青紫及张力性水泡,左足背动脉搏动存在,左足各趾感觉无明显异常,肢体末梢血运可 辅查:左足正斜位片提示左第3跖骨骨折。


诊断:左足第3跖骨骨折 治疗:骨折切开复位内固定
患者行消肿镇痛治疗,待软组织条件好转后切开复位内固定,患者跖骨骨折不稳定,手术固定后可早期活动关节。不知各位对于该患者手术指征的把握有何看法