打开应用

渗透树脂治疗正畸后白垩斑一例

李医师   瑞泰口腔医院(成都)

主诉 病史

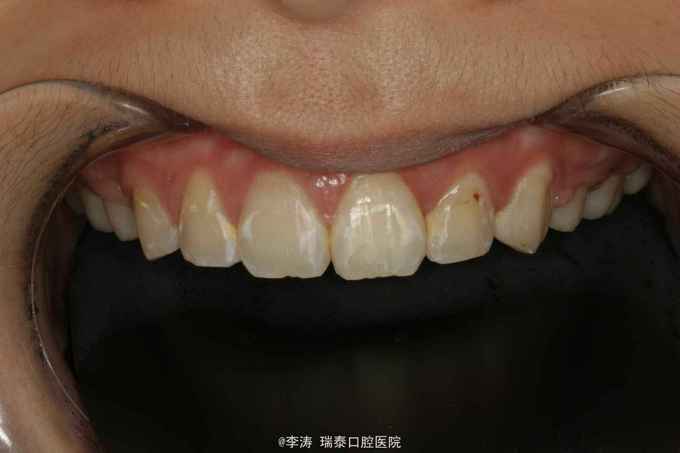
正畸后白垩斑要求治疗

查体 辅查

上前牙3到3白垩斑

诊断 处理

橡皮障下,行icon渗透树脂治疗,原白垩斑基本消失,临接区白垩斑治疗效果不太理想

随访 讨论

临接区效果不太明显的原因可能是酸蚀不到位导致没有形成微孔,渗透树脂无法达到龋损处发挥功能所致。

发布于 16-03-09 08:48

28 个评论

发送