下载或打开 医联APP 查看完整评论
立即下载
打开APP
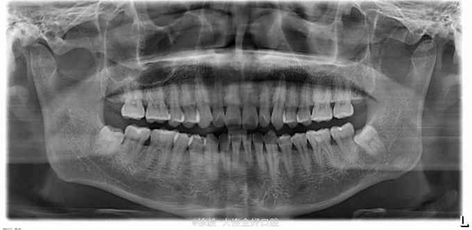
患者男性,40岁,体健。无遗传史。 患者前天就诊洗牙,治疗过程中发现上颌左上34颊侧,67舌侧明显有凸起,手触硬,无波动,无明显疼痛。右侧对应位置也有增生,但是凸起程度小。下颌前牙区舌侧也有黄豆大小凸起。 拍颌面ct和曲断检查,上颌左右45处有明显阴影区,右上45区在映像沙化过程中,骨密度透光变化明显。上颌左右67位置颊侧有致密骨映像,很像骨增生。 患者怀疑有没有恶性倾向,希望会诊一下。



体健,无既往史。
骨增生
各位医生能否会诊一下。