下载或打开 医联APP 查看完整评论
立即下载
打开APP
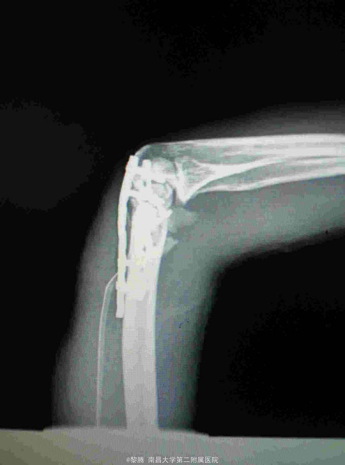
外伤致左肘关节肿痛,活动受限6小时 患者中年女性,因外伤致左肘关节肿胀、疼痛明显,伤后左肘关节当即无法活动,于当地医院摄片提示左肱骨髁间骨折,既往病史无特殊。
查体:左肘关节肿胀明显,局部压痛明显,可及骨擦感,关节活动受限,桡动脉搏动存在,肢体末梢感觉无异常。 辅查:左肘关节CT提示左肱骨髁间粉碎性骨折。



诊断:左肱骨髁间粉碎性骨折 治疗:骨折切开复位内固定+尺神经前置术


随访:患者术后4天出院,左肘关节伸屈活动较前明显好转。术后定期复查。 讨论:患者未予鹰嘴截骨入路亦有较好视野暴露,一般情况粉碎性肱骨髁间骨折,截骨能提供良好暴露,便于操作。患者术中应先找到尺神经并保护,随后进行后续操作。要注意术后功能锻炼,这样才有机会恢复肘关节活动度。