下载或打开 医联APP 查看完整评论
立即下载
打开APP
打开应用
脑胶质瘤
扶医师
中国科学院大学宁波华美医院
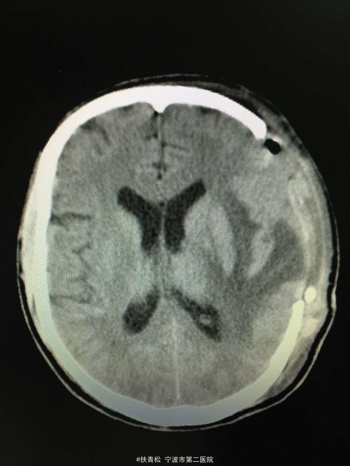
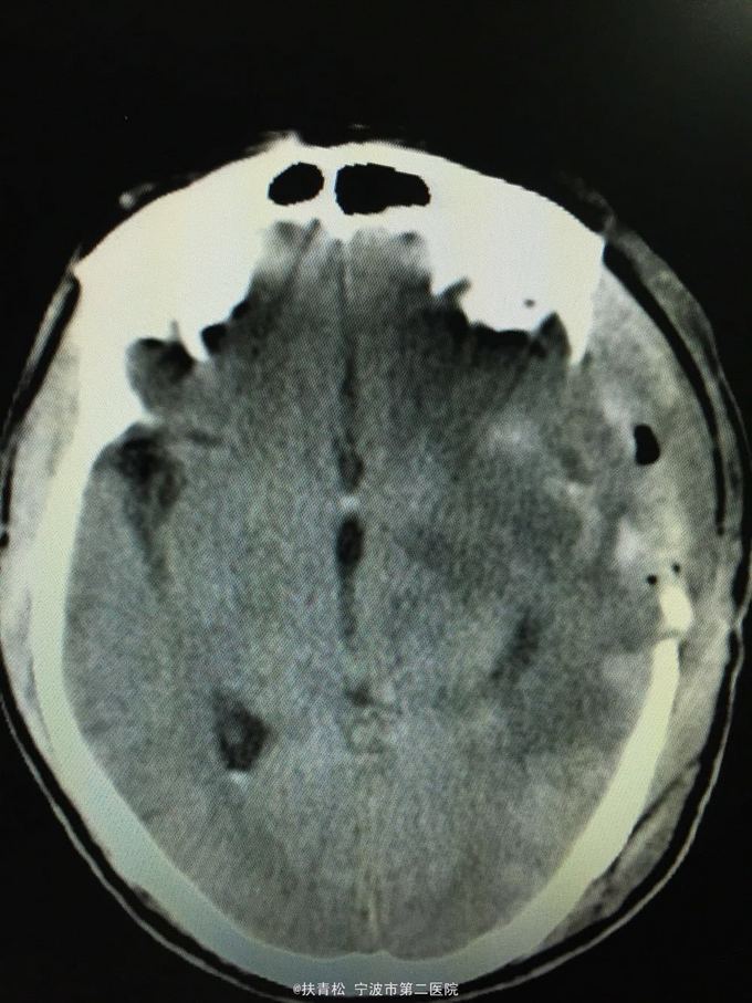
左颞叶胶质瘤
脑胶质瘤
主诉 病史
头痛三月余,复发加重一月
查体 辅查
诊断 处理
行左颞叶胶质瘤切除术
随访 讨论
术后需要注意问题
发布于 16-02-02 17:06
医联推荐你看
桥脑胶质瘤
脑胶质瘤
脑胶质瘤
共
4
个评论
查看更多评论
发送
0