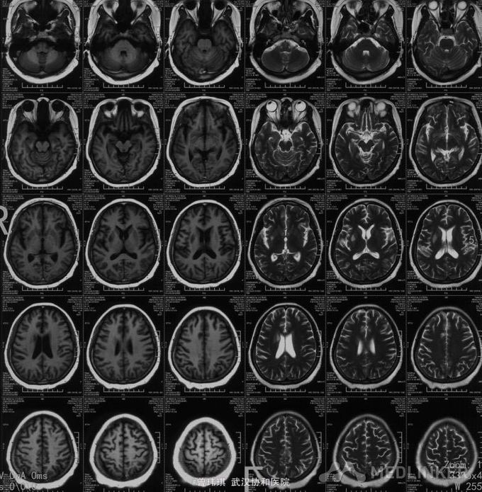
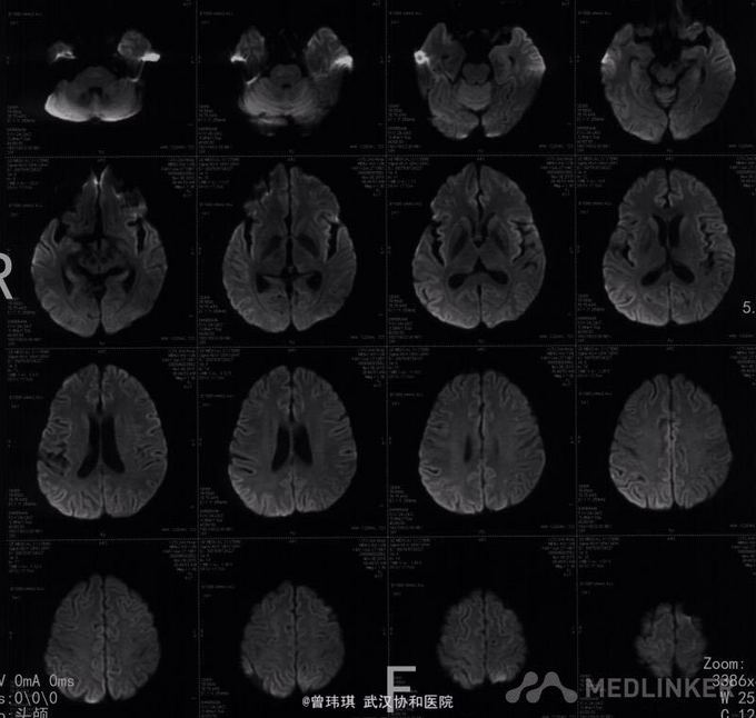
女性患者,48岁。 发热5月,双下肢无力3月,加重7天收入院。 5月前出现发热、最高39C°,伴有头痛及四肢乏力。发热多在每天下午2点及晚8点左右。当地医院,血沉54mm/L,C反应蛋白6.45mg/dl,乳酸脱氢酶 1064IU/L。血培养、尿常规等未见异常。胸部CT示双肺上叶所见考虑炎性改变可能。腹部B超示脾长径长,肝、胆、胰、脾、双肾、子宫大小、膀胱等未见异常。给予对症支持治疗仍有发热。3个月前,患者出现双下肢无力及全身皮疹、四肢肌肉疼痛,给予炉甘石1天后皮疹消失。近1月患者出现复视以及头晕,数分钟后好转,伴反应迟钝、偶有答非所问。行头颅DWI示双侧桥脑稍高密度影,未见增强,考虑炎症。近7天患者出现双下肢无力加重、不能独立行走,伴有双上肢麻木及伴恶心。为求进一步诊治来门诊。既往史无特殊。
入院查体:四肢肌肉、胸骨、椎骨、膝关节压痛。双上肢肌力Ⅳ级、左下肢肌力Ⅱ级、右下肢肌力Ⅲ级;胸2平面以下痛觉减退,双侧肱二头肌、肱三头肌腱反射(++)、膝腱及跟腱反射(+-++)、左侧霍夫曼征阳性、双侧巴彬斯基征阳性。 骨髓穿刺(第一次):骨髓增生稍低,出现浆细胞卫星现象,并有瘤样改变,嗜血细胞增多,骨髓小粒中造血细胞增多。 复查骨髓穿刺(第二次):增生细胞稍低,浆细胞有瘤样改变,网状细胞、异常吞噬细胞明显。 再次复查骨髓(第三次):增生性骨髓,巨核细胞数正常,血小板减少,粒红可见轻度病态造血现象,浆细胞、网状细胞易见。 外院:血清Kappa轻链4.95g/L;免疫球蛋白G1870mg/L(723-1685),免疫球蛋白A 410mg/dl(69-382),免疫球蛋白M 31mg/dl(63-277),KAP 545mg/ml(170-370),LAM 273mg/dl。 肿瘤标志物:NSE 53.88ng/ml,铁蛋白 2476ng/ml。 自身抗体谱、血T-SPOT、G试验、GM试验、肝炎系列、梅毒、艾滋抗体等均未见异常。 PET提示右侧下鼻甲葡萄糖代谢增高,骨髓及脾脏大、葡萄糖代谢增高。 头颅MRI+颈椎+胸椎MRI扫描:1、右侧侧脑室、豆状核及外囊异常信号影,考虑脑梗塞,建议DWI检查;2、颈椎间盘突出(颈4-5、5-6,中央型);颈6椎体骨岛;3、胸3-6椎体水平椎管内异常信号影,建议增强扫描。



先后给予“抗病毒、美罗培南、万古霉素、伏立康唑、复方磺胺甲恶唑、抗结核”等治疗,体温没有明显变化。经多科联合会诊后认为“成人Still病”可能性大。给予糖皮质激素治疗3天后体温恢复正常。 右下鼻甲活检免疫组化结果符合血管内弥漫性大B细胞淋巴瘤,局部区域也可见血管外肿瘤的播散,分子分型倾向非生发中心型,肿瘤细胞强表达:Bcl-2,c-Myc阳性率约30%。免疫组化结果显示:肿瘤细胞Bcl-2(+),CD10(-),CD20(+),CD3(散在+),CD43(散在+),CD56(-),c-Myc(+,30%),MPO(散在+),MUM1(+),Ki-67(+,局部约75+),EBER(杂交)(-)。诊断:血管内大B细胞淋巴瘤。
血管内大B细胞淋巴瘤是NHL的一种罕见类型,因其侵犯器官不同而表现出不同的临床表现,西方国家以中枢神经系统症状和皮肤症状相对常见。该病恶性程度高,致死率高,临床症状不典型,早期诊断难度高,活检结合免疫组化等相关检查可帮助确诊该病。本例治疗上多采用CHOP方案加利妥昔单抗,有部分患者可有缓解,总体预后差 转自唐都医院教学病例