下载或打开 医联APP 查看完整评论
立即下载
打开APP
患者男,67岁,因“上腹饱胀、盗汗、纳差半年余”入院。既往儿时曾换“脑膜炎”(具体不详),经治疗后双耳听力下降,发现“高血压”10余年,规律服用“硝苯地平缓释片 1# qd”降压,自述血压控制可。曾行“腹股沟斜疝无张力修补术”。吸烟20余年,20支/天,已戒烟10余年。饮酒20余年,戒酒10余年。
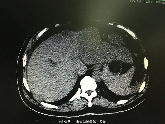
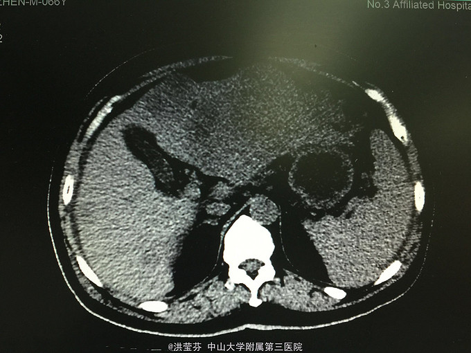
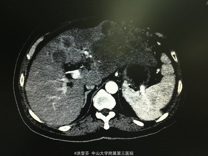
查体:上腹部轻压痛,无反跳痛。 辅助检查:上腹部CT增强提示:肝S2/3/4段恶性肿瘤,肝内多发子灶,肝左静脉及门静脉左、右支受侵;腹腔多发转移瘤;肝门部、腹膜后多发肿大淋巴结;门静脉海绵样变;少量腹水。胸部CT提示:1、双肺多发小结节,结合病史,考虑转移瘤;纵膈、双侧肺门多发肿大淋巴结。2.双肺炎症;左侧胸腔少量积液。CA125 555.1IU/nl,CA199 1093.5IU/nl。







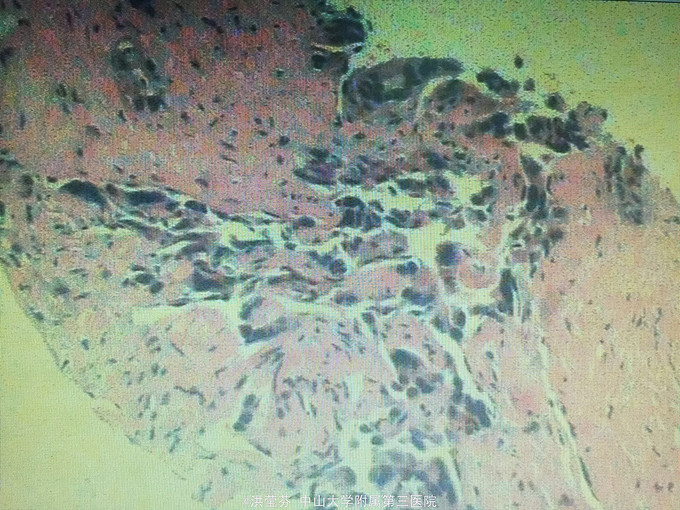
诊断考虑胆管细胞癌可能性大,予完善肝穿刺,活检病理示:符合中分化腺癌,胆管细胞癌可能性大。免疫组化结果示:Hep(-),CK(+),CK19(+),CEA(-),CDX-2(-),DK20(-),Ki 67(约15%),TTF-1(-)。诊断明确肝内胆管细胞癌,IV期,无明显化疗禁忌,予GP方案化疗,辅以护胃、护肝、止吐等治疗。




2程化疗后复查CT评价疗效疾病进展,并腹水明显增多,予加强支持治疗后予改行减量FOLFOX方案化疗,过程顺利。患者精神较差,症状上改善不明显,预后差。 这种情况大家还有什么治疗方案可以推荐的吗?