下载或打开 医联APP 查看完整评论
立即下载
打开APP
女,61岁。 主诉:大便困难1年,加重1个月。 现病史:1年前无诱因始大便困难,无腹痛或腹泻,无便血,自己以为“便秘”,间断口服蕃泻叶及肛用开塞露缓解症状;1个月前大便困难加重,用药效果不明显,伴阵发性腹痛,间断大便带血,鲜红或暗红交替出现,恶心,不吐,无发热,排尿正常,体重下降明显。
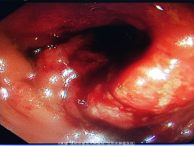
一般状态可,浅表淋巴结不大;腹平坦,未见肠形或蠕动波,左下腹压痛,无肌紧张或反跳痛,可及索条状包块,约8.0*3.5*3.5cm,质硬,边界清楚,活动差,光滑。 辅助检查:结肠镜:进镜20cm见环肠一周肿物,边界不清,表面凸凹不平,质硬,导致肠腔狭窄镜身不能通过。


诊断:直肠癌,一周后病理回报:直肠腺癌。 处理:行左半结肠根治术,术中证实癌肿位于乙直交界处,系膜根部淋巴结已有转移(5/6)

术后1个月开始化疗,化疗进行顺利。 讨论:大肠癌的临床表现有多种,左半结肠主要表现为梗阻、便血及排便习惯改变,但是有梗阻时病情已经比较晚;部分患者尤其是女性,因为习惯性便秘而延误了诊断和治疗,应该引起足够重视。